ご存知ですか? 歯周病
2024年3月15日
ご存知ですか? 歯周病
- 虫歯と同じほど良く見られる病気がもうひとつあることを?
- この病気の徴候は気付かれないことが多い為、治療を受ける前にかなり強い損傷を受けている場合があるということを?
- 40歳以降は虫歯よりもこの病気で失われる歯の方が多いということを?
- この病気は予防することもあるいは治療することも可能であるということを?
※この病気について十分に。この病気は非常に良く見られるのでほとんどすべての大人が罹っているということを?
もしご存知なら、ここで読むのを止めてもいいですよ!
この病気とはなんですか?
専門用語でこれは歯周炎と呼ばれています。
そしてそれは、歯を支えている組織の炎症を意味しています。
歯周炎は、歯自体を冒す事はないがその周りの組織を冒す歯周疾患です。
だから健全な歯でもこの病気で脱落することがあります。
歯はどのように顎に支えられているのですか?

歯周組織
歯の支持組織は歯肉、顎骨と歯根膜です。
歯根は歯根膜で顎骨につり下げられています。
歯根膜は歯根の表面と骨の表面に付着しています。
歯肉は顎骨を被い、歯は頚部の周りに硬い「カラー」を形成しています。
歯と歯肉との間には「歯肉溝」と呼ばれる小さな隙間があります。
この病気には他の呼び方がありますか?
歯肉は口の中で見ることが可能である支持組織の一部です。
ここは歯周病が最初に発生する場所です。
「歯肉炎」は歯肉に限局した炎症に対する専門用語です。
歯肉炎が、より深く歯牙支持組織中に進行したときに、骨吸収が起こりその時点からこの病気は歯周炎と呼ばれます。
歯周炎の徴候の一つは歯がぐらぐらと動揺し始めることです。
ご存知ですか? 歯周病
健康な歯肉はどのように見えますか?

健康な歯肉
健康な歯肉は淡いピンク色で硬く‘オレンジの皮’のような表面構造をしています。
健康な歯肉は出血しません。
炎症を起こしている歯肉はどのように見えますか?

炎症のある歯肉
炎症を起こしている歯肉は赤く、しばしば‘かがやいて’います。
炎症は常に乳頭と呼ばれている歯間歯肉部で始まり、そして徐々に広がります。
炎症を起こしている歯肉は特にブラッシング時に簡単に出血をし、そして時々傷つきやすくなります。
歯肉の病気は何が原因で起こるのですか?

歯周組織
図は歯肉辺縁の細菌膜(プラーク)を示しています。
その周りには歯肉の炎症があります。
歯の表面には持続的に形成される細菌膜があります。細菌は唾液の中に存在し、すべての人に見られます。
プラークは歯の表面に形成され、プラークからの毒素が歯肉の中に侵入していきます。
このように歯肉辺縁部付近に残った多量のプラークが炎症を引き起こすのです。
プラークはどのように見えますか?
細菌膜は歯と同じ色なので、見ることは非常に困難です。
しかし、それは柔らかいのでブラッシングで除去できます。
もしプラークが除去されていないなら、石灰化して固くなり始めます。
そして歯石(ターター)が形成されます。
新しく柔らかいプラークはざらざらした歯石上にすぐに形成されます。そしてこれは炎症を進行させる原因となります。
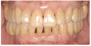
ちょっと次の写真を見てください。

炎症のある歯肉
①上顎前歯の写真です。
この患者さんは歯肉に炎症を起こしています。
プラークが歯頚部の周りに付着しています。

プラークの染め出し
②同じ患者さんにプラークを赤く染めだす錠剤が与えられました。
その結果プラークをより簡単に見ることが出来ます。

歯石
③下顎前歯の裏側の歯石の写真です。
炎症はどのように広がっていくのですか?
歯肉は「腫脹」し、歯から歯肉と歯の間の溝は深くなり、ポケットを形成し始めます。
そして炎症は深く広がっていきます。
歯根膜は損傷を受け、そして骨は消失し始めます(骨吸収)。
この進行は継続し、歯根表面に硬くて黒い歯石を形成します。
治療が開始されないならば、ポケットは深くなり続け、骨吸収も続き、遂には歯はぐらぐらになります。
最後には歯は歯根膜や骨のすべての支持を喪失し、脱落してしまいます。

歯肉の腫脹
歯肉は赤く腫脹しています。
ポケットが形成されています。
プラークと歯石がポケット内の根表面に見られます。
骨頂部は消失しています。

骨吸収
病気は進行し、顕著な骨吸収が認められます。
今歯がぐらぐらしていても、病気はそのままそこに数年間は存在できるかもしれません。

下顎前歯のレントゲン
下顎前歯のX線写真です。
歯周病が進行しているなら、骨を調べることから診断できます。
左側の写真は健康な骨を示しています。
右側はほとんどすべての骨が吸収していることを示しています。
歯周病の診断はどのように行われますか?
歯周炎はほとんど常に慢性疾患であります。
歯周炎に罹っていても、かなりの時間罹っていることがわからりません。
この病気の徴候を自覚することは困難な事が多いです。
※あなたが注意深く観察するときには、常に疑わしい点があるはずです。
- 歯肉が柔らかい。
- 歯肉から出血する。
- 歯肉が退縮して歯が長く見える。
- 歯が移動して、歯間に隙間があるとき。
- 多量の歯石が形成されているとき。
- 歯がぐらぐらしているとき。
- 口に中で変な味がしてり、口臭があるとき。
歯周病には他の原因がありますか?
主な原因はプラークです。
しかし歯周病は、例えばプラークの成長を促進するようなものなどたくさんの要因によって助長されます。
柔らかくどろどろした食べ物はほとんどあるいは全く噛む必要がなく、口腔内でくっつきやすく、
そしてこれらはより容易に細菌がプラークを形成するのを助長しています。
糖分を含んでいる飲食物も同様の影響を与えます。
全身状態が悪かったり、適切な食事が取られていなかったり、又ある種の病気は歯牙支持組織に 影響を与えます。
妊娠も又これらの組織に影響を与えます。
歯周病は遺伝ですか?
いいえ、まったくそうではありません。
しかしながら、ある人びとは他の人びとに比べ病気に対して抵抗力が低いということは良く知られています。
他方ある人びとは病気に対して生来強い抵抗力をもっています。
これらの要因(抵抗力)はこの病気に影響を与えます。
この病気を治すために何をなすべきですか?
はい。
歯科医師や衛生士は常に良い結果を出すために、この病気を予防したり、治療したりすることにたくさんの時間をつかっています。
より早く治療を始めれば始めるほど、より良い結果が得られます。
プラークがこの病気の主因ですから、プラークは規則的に、歯から効果的に除去されなければなりません。
家庭療法はおそらく治療の中でもっとも重要なものです。
口腔内の手入れのやり方のアドバイスが、歯科医師や衛生士からなされます。
家庭療法とは何ですか?
家庭療法とは自宅での適切な口腔清掃を意味します。
プラークを除去するためのもっとも効果的な方法は、ブラッシングです。
歯科医師や衛生士はどのような型、サイズの歯ブラシが使用されるべきか、
また例えばウッドポイントあるいは、フロス等どんな補助具が必要かを薦める事が出来ます。
家庭療法は、患者自身が自分の歯をずっと残したいと願うなら、効果がでるように実行されなければなりません。
もし治療に成功したいなら、歯や歯肉を大切にしたいと 願うことが絶対必要であります。
どのような治療が必要ですか?
歯からすべてのプラークや歯石が取り除かなければなりません。
したがって歯科医師や衛生士により徹底的な除石や研磨を行わなければなりません。
時々、深いポケットを除去したり、また他の目的で、小外科手術を行うことが必要なこともあります。
外科手術は病気を治すわけではないが、しかしそれは治療において、
しばしば絶対必要不可欠なものになることがあるということを覚えておくことは重要なことです。
治療はどのような効果をもたらすのですか?
病気になってから治療をするよりも、病気になることを予防することの方が常に最良の方法であります。
早く治療を始めれば始めるほど、より良い結果をもたらします。
歯肉炎の場合には100%の治癒が可能です。
歯周炎の場合にはそこまではいきません。
なぜなら一度失われた骨は再生できないからです。
しかし、病気がさらに進行するのを止めることは出来ます。
もし手遅れにならないうちに歯周炎が治療されるなら、ぐらぐらになった歯は再びしっかりとして、骨植が良く なります。
治療はどのくらいの期間がかかりますか?
たいてい少なくとも5,6回の通院が必要です。
あなたが歯科医師と協力することは非常に重要です。
治療後はどのように見えますか?

健康な歯肉
歯は清潔で歯肉は健康的です。炎症はなくなっています。
この症例では歯は長くなっています。
なぜならば歯肉の腫れがひいて引き締まっているからです。
患者はもはやポケットは全くありません。
そして歯と歯肉を清潔に保つことが出来ます。
大阪市北区曽根崎新1-4-20桜橋IMビル4F
かわさと歯科・矯正歯科
日本歯周病学会専門医・指導医
院長 川里 邦夫
歯周病菌と感染について。
pg歯周病菌は、歯周病の原因となる細菌の一種です。これらの菌は、歯と歯茎の間にたまる歯垢(プラーク)の中に存在し、適切な口腔ケアが行われないと繁殖します。pg感染が進行すると、歯茎の炎症や出血、歯の動揺、最悪の場合は歯の喪失につながることもあります。pg歯周病菌の感染を防ぐためには、定期的な歯科検診と丁寧な歯磨き、歯石除去などの口腔ケアが重要です。また、免疫力の低下や喫煙も感染リスクを高める要因となるため、生活習慣の見直しも大切です。nnもし具体的な症状や治療法について知りたいことがあれば、お気軽にお尋ねください!
