ストレスを感じていませんか?
2024年3月5日
ストレスを感じていませんか?
人は心配事があったり、疲労時などストレスを受けた時、個人差はありますが睡眠中に歯ぎしりやくいしばりをすることで無意識にストレスを発散します。この歯ぎしり、くいしばりは音の出るものばかりではありません。上の歯と下の歯を押し付けて、くいしばれば音のしない場合も多いのです。上下の歯を横にずらしながら、こすり合わせている場合や上下の歯を噛むようにカチカチしている場合は音が出る場合が多いようです。習慣性のものとして、重いものを持ち上げる時、歯をくいしばりますよね。スポーツ選手や力仕事をしている人は、日ごろから歯をくいしばる傾向にあります。睡眠中にその癖がでてしまいます。
歯の噛み合わせが悪いと、口の周りの筋肉に無理な力が加わり、歯ぎしり、くいしばりを起こす場合があります。歯ぎしり、くいしばりは起きている時でも、仕事に集中している時や緊張している時に生じますが、睡眠中の歯ぎしり、くいしばりは、大脳皮質の働きが抑制されて噛む力を調整できないため、かなり大きな力が加わります。この時の力は60~120Kgとも言われています。
ストレスを感じていませんか?
Q:一日〔24時間〕のうち、上下の歯の接触する時間はどれくらいでしょう?
A:食べ物を咀嚼するときを含めて、わずか15分程度です。
食べ物を噛む時上下の歯が接触するのは瞬間的で持続的にくっついていることはほとんどありません。噛む為の筋肉がリラックスした状
態では上下の歯の間は1~2mm程度あいているはずです。ほとんどの時間は接触していないのです。それなのに歯ぎしり、くいしばり
などで歯に何十分も持続的な力が加わると、その力を受け止めている組織に無理な力がかかってくることになるわけです。
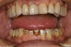
弊害 歯ぎしり、くいしばりがあると・・・
歯が磨り減る。歯にひびが入る。歯がかける。歯のかぶせ物、
詰め物が壊れたり取れたりする。歯の根元がクサビ状に削れる
・・これらは歯の周りの組織〔骨〕がしっかりしている場合、
歯に加わった力が応力として歯の表面に状態として現れます

歯軋り 食いしばり
歯がしみる〔知覚過敏症〕
歯が削れたり、歯の表面のエナメル質がはがれたり、歯の根が露出したりすることにより、外からの刺激が歯の中へ伝わり、歯の中の神経を刺激することにより、しみたり、痛みとして現れてきます。この痛みが続けば歯の神経をとらなくてはならなくなります。
| 歯の周囲骨の吸収〔歯周病の要因〕
歯がゆすられることにより、歯の周囲骨に過大な応力が加わり、骨が溶けたように吸収してきます。 |
歯周病を助長し、歯の動揺が見られる場合があります。
歯の周りの痛み〔歯根膜炎〕
歯と骨の間には歯根膜線維というものを介在しています。これは普段歯と骨をつなぎ、歯に加わる衝撃が骨にダイレクトに加わらないように緩和する役目、物を噛んだ時の感覚を伝える役目があります。しかし、持続的な圧力が加わったりしてその許容範囲を超えた時、歯根膜線維の炎症として、歯の周りに痛みを起こしてきます。
頭痛、顎関節の痛み
心身的にストレスがかかると顔つきが変わります。目も引きつったりします。口元もしまります。
これは顔の周りの筋肉が緊張してこわばった状態です。特に咬筋、側頭筋といった噛む為の筋肉が硬直した時に筋肉の痛みとして現れます。
また、顎関節にまで力が及ぶ場合は顎関節症として痛みを引き起こす場合もあります。
大阪市北区曽根崎新1-4-20桜橋IMビル4F
かわさと歯科・矯正歯科
日本歯周病学会専門医・指導医
院長 川里 邦夫

clenching

Teeth grinding
両方とも、睡眠中や起きている時に起こり、歯や顎に負担をかける可能性があります。
- 上下の歯を強くこすり合わせる行為。
- 睡眠中に発生することが多く、自分では気づきにくい。
- 「ギリギリ」と音を立てることがある。
・上下の歯を強く噛み締める行為。
- 起きている時に、集中している時や、力を必要とするときに起こる。
- 音は出ない。
ストレスや緊張、噛み合わせの問題、生活習慣、 遺伝的要因。
- 歯のすり減り、ヒビ、欠け。
- 顎関節症。
- 頭痛、肩こり。
- エラ張りのような顔の変化。
- マウスピース:歯ぎしりや食いしばりを軽減し、歯を守る。
- 咬筋ボトックス:咬筋の筋肉を緩めて、食いしばりや歯ぎしりの影響を軽減する。
- ストレス解消:リラックスできる時間を作る、深呼吸をするなど。
- 歯科医院を受診:専門家によるアドバイスや治療を受ける。
大阪市北区曽根崎新1-4-20桜橋IMビル4F
かわさと歯科・矯正歯科
日本歯周病学会専門医・指導医
院長 川里 邦夫
大阪市北区曽根崎新1-4-20桜橋IMビル4F
かわさと歯科・矯正歯科
日本歯周病学会専門医・指導医
院長 川里 邦夫
