ブルーラジカル歯周病治療

「北新地駅」
徒歩1分
「西梅田駅」
徒歩2分
「大阪駅」
徒歩5分

〒530-0002 大阪府大阪市北区曾根崎新地1丁目4−20 桜橋IMビル 4F

06-6344-5535

キービジュアル

世界初歯周病治療器
ブルーラジカル

これまでの治療に満足できなかった方も、
ぜひ一度ご相談ください。
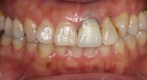
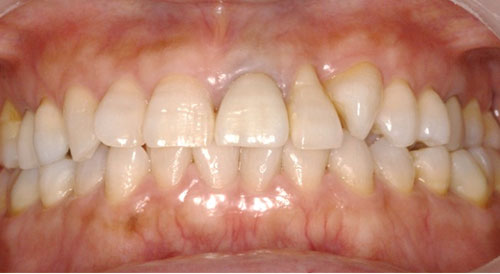
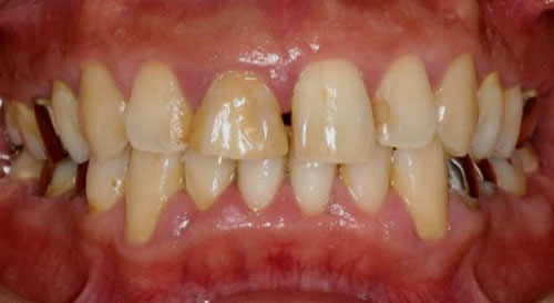
  • 治療前
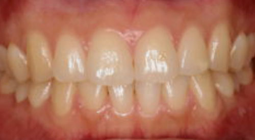
  • 治療後
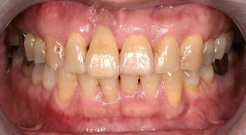
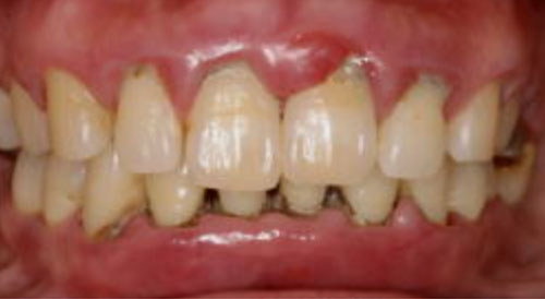
  • 治療前
  • 治療後
  • 治療前
  • 治療後
  • 治療前
  • 治療後

歯周病治療器「ブルーラジカル」を導入

当院では、世界で初めて重度歯周病の治療専用に開発され、国から正式に認可を受けた唯一の治療器ブルーラジカル」を導入しました。

ブルーラジカルは、東北大学を中心とした研究チームが開発した、最先端の医療技術です。

従来の歯周病治療とは異なり、より確実に、より安全に重度歯周病にアプローチできる革新的な治療法として注目されています。

これまでの治療で効果を実感できなかった方や、抜歯を避けたいと考えている方にも、新たな選択肢をご提供できる体制を整えています。

ブルーラジカルとは?

ブルーラジカルは、3%の過酸化水素に青色レーザー光(波長405nm)を照射することで、そこから発生するヒドロキシラジカル(活性酸素)の力によって、歯周病菌を徹底的に破壊します。

この革新的なシステムは、従来のスケーラー(歯石除去器具)に、

・過酸化水素を通す中空構造
・レーザー光を先端まで届けるレンズ機構

を組み込むことで実現しています。

これにより、歯周ポケットの深い部分まで確実に殺菌できる設計になっています。

驚異の殺菌力と高い安全性を両立

ブルーラジカルによる治療では、歯周病菌や虫歯菌をプラーク内部まで99.99%除菌できることが実証されています。

従来の治療では届きにくかったプラークの深部にまで殺菌効果が及ぶため、より確実な除菌が可能です。

さらに、ヒドロキシラジカルは光を当てた部分にのみ発生し、周囲に拡散しない特性を持っているため、健康な組織を傷つける心配がありません

加えて、安全性試験においては、

・口腔粘膜に傷害を与えないこと
・発がんリスクがないこと

が確認されています。

ブルーラジカルはこんな方におすすめです

ブルーラジカルによる治療は、次のようなお悩みをお持ちの方に特に適しています。
  • 他院で治療しても改善しなかった重度歯周病の方
  • インプラント周囲炎や粘膜炎でお悩みの方
  • 外科手術をできるだけ避けたいと考えている方
  • 海外出張や海外赴任を控えていて、しっかり治療を済ませたい方
  • 再発を防ぎ、できる限り長くご自身の歯を守りたい方
これまでの治療に満足できなかった方も、ぜひ一度ご相談ください。

新しい治療法で、未来の歯の健康を守るお手伝いをいたします。

費用

1歯
2.2万円 (税込)
1ブロック(3〜6歯)
6.6万円 (税込)
上顎全て
16.5万円 (税込)
下顎全て
16.5万円 (税込)
上下顎
27.5万円 (税込)

最後に ― あきらめないでください

「もう治らないかもしれない」と、あきらめかけている方へ。

ブルーラジカルは、重度歯周病にも立ち向かうことができる、新しい治療の選択肢です。これまでの治療で限界を感じていた方も、まだ希望はあります。

ただ、ブルーラジカルはあくまでも道具でり、使い方を間違えると治りません。そのため、使用方法は日本歯周病学会専門医・指導医にお任せください。

ぜひ一度、私たちにご相談ください。あなたの大切な歯を守るために、最善を尽くします。

一緒に、未来のお口の健康を取り戻していきましょう。

セカンドオピニオン/個別相談のご案内

当院では、患者さんが抱えていらっしゃるお口のお悩みや疑問・不安などにお応えする機会を設けております。どんなことでも構いませんので、私たちにお話ししていただけたらと思います。
ご興味がある方は下記からお問い合わせください。

保険の制度では、セカンドオピニオンとして保険が適応されていませんので、それぞれの医院によって内容が変わってきます。
※知識を聞くことを無料だと思っている方は、他院の保険制度をご利用ください。
※前医院の恨みつらみ、悪口などを申す機会ではございませんのでご理解ください。

MAIL相談 24時間WEB予約

「北新地駅」徒歩1分
「西梅田駅」徒歩2分
「大阪駅」徒歩5分

06-6344-5535

このページの先頭に戻る