他院のインビザラインで失敗した40歳女性 大阪・梅田・北新地
2026年2月21日
他院のインビザラインで失敗した40歳女性 大阪・梅田・北新地
R3.11.
兵庫県西宮市
40歳女性

Invisalign failed orthodontic treatment
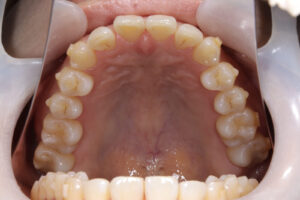
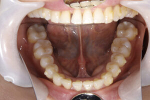
前歯が噛んでいない
治療方針
インビザラインと歯周病の相性はよくありません。
それは、インビザラインの着脱で歯が揺り動かされる事とアタッチメントの下は磨けないからです。
そのため、歯周病を悪化させる方向になってしまいます。
歯周病治療の場合、表側のワイヤー矯正をお勧めします。
それは、まだ歯磨きがやりやすい矯正になるからです。
目次
診療申込書
女 55年12月23 日生( 40才) A
ふりがな NO.
住所 〠 ―
自宅電話 ( ) ― 携帯電話 ― ― E-mail
勤務先 電話 ( ) ―
● おそれいりますが、次の事に○でかこんで下さい。記入欄は、詳しくお答え下さい。
当院は初めてですか はい ・ いいえ
ご紹介者があれば 氏名 様
当医院をお知りになったのは
・ 知人の紹介 ・ 家族が来ていた ・ 医院の看板 ・ 駅の看板
・ タウンページ ・ リーフレット ・ ホームページ ・ 雑誌
・ 通りがかり ・ その他 ( 歯周病 名医 スマホ )
来院された理由(主訴)
・ 歯の痛み ( 噛んだ時 / 冷痛 / 温痛 / 親知らず ) ・ 詰め物がとれた ・ 歯の色
・ 物がはさまる ・ 歯肉が腫れた ・ 歯肉の出血 ・ 歯石 ・ 口臭 ・ 検診
・ インプラント ・ 入れ歯 ・ 歯列矯正 ・ 顎が痛む
・ 他の歯科で治らないので( 1ヶ月前 )
・ その他 ( 1ヶ月前に左下が腫れた )
治療について
今回の治療目的は・・・ ・ 応急処置のみ ・ 問題のある所は全て治療
説明・・・ ・ 詳しく説明が聞きたい ・ 希望する場所のみの説明でよい
費用・・・ ・ 保険の範囲で治療したい ・ 必要があれば多少の費用がかかってもよい
時間・期間・・ ・ いつでも良い ・( )曜日が都合良い 午前中・午後
・ 年 月 日 までに終わってほしい
麻酔・・・ ・ してほしい ・してほしくない
レントゲン写真・ ・ 必要なら撮ってもよい ・ 治療上、必要でも撮られたくない
交通手段について
・ 徒歩 分 ・ 自転車 分 ・ バイク 分 ・ 車 分 ・ 電車 60 分
その他、うけたまわっておく事はありますか。
今インビザラインをしております(海外で始めました)
まだ、器具が16週分残っているので、それも使用して歯周病の治療をしたいです

Invisalign failed
奥歯が噛んでいない

Invisalign correction failure
健康カルテ
あなたの、健康状態を正確に教えて下さい。
✽ 体とお口は親密に関係しており、下記の質問は重要な資料となります。
✽ 健康状態によっては、処置できない治療(抜歯など)もあります。
✽ 歯科で使用する薬品・飲み薬など、他のお薬と併用されますと大変危険な物もあります。
ご家族で何か大きな病気・手術等された方はおられますか ? はい ・ いいえ
( 先天性大血管転位症 )
ご自身で過去にかかった病気・手術等はありますか ? はい ・ いいえ
( )
現在のお身体の状態はいかがですか?(○をお付け下さい)
健康である ・ 体調が良くない
現在( 内科 / 外科 / その他 ) 治療中
投薬( 無 / 有 服用中のお薬名: )
かかりつけの病院名( 国立循環器研究センター ) 連絡先(☎ )
( ) (☎ )
現在、治療中 又は 疑いがある病気はありますか?(○をお付け下さい)
はい ・ いいえ
ウイルス性疾患・・・ 肝炎( A型・B型・C型 ) ・ HIV
心疾患 ・・・ 心筋梗塞 ・ 狭心症
脳疾患 ・・・ 脳梗塞 ・ 脳卒中
アレルギー ・・・ 薬 (飲めない薬: )
食物( )
その他 ・・・ 糖尿病( )・高血圧/上( )~下( )
貧血症・胃腸障害・血友病・紫斑病
血がとまりにくい(歯を抜いたりケガをした時)
ますい注射のアレルギー(じんましんが出る・気分が悪くなる)
~女性の方~ 妊娠中 ヶ月・授乳中( 年 月 日現在)
上記以外で、うけたまわっておく事はありますか?

Invisalign correction failure
コミュニケーション
Q1.数ある医院の中で当院をお選びになった理由は何ですか?
HP orリーフレットの場合→ どのような医院だと思われましたか?
紹介の場合→ 当院の事をどのようにおっしゃっていましたか?
歯周病名医で探して参りました
Q2.今まで通院されていた医院での不満や怒り、また決してして欲しくないことは?
歯周病の治療ができると言いながら予防しかできなかったこと
一回の治療でできることを複数回に分けられたこと
Q3.今、お口の中について、どのようなことでお悩みですか?
⇒(痛みが主訴の場合)「痛み」以外で困っている、悩んでいる、気になっている
ことはありますか?
左下の歯周ポケットを治して欲しいです
⇒では、あなたにとって、理想のお口の状態とはどのようなものですか?
歯並びが良く、誰が見ても綺麗な歯
Q4.お口を理想の状態に近づける第一歩として、何を望まれますか?(優先順に)
- 歯周病 2. 歯並び
Q5.あなたが当院に望まれることはなんでしょうか?(痛み以外で)
歯周病と矯正を一緒に考えてほしいです

Invisalign correction failure

orthodontic treatment
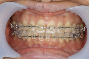
表側矯正での再治療
治療方針
インビザラインと歯周病の相性はよくありません。
それは、インビザラインの着脱で歯が揺り動かされる事とアタッチメントの下は磨けないからです。
そのため、歯周病を悪化させる方向になってしまいます。
歯周病治療の場合、表側のワイヤー矯正をお勧めします。
それは、まだ歯磨きがやりやすい矯正になるからです。
大阪市北区曽根崎新1-4-20桜橋IMビル4F
かわさと歯科・矯正歯科
日本歯周病学会専門医・指導医
院長 川里 邦夫
歯周病と矯正治療について
【歯周病と矯正の関係性】
歯周病は歯を支える歯周組織(歯肉や歯槽骨)が感染や炎症によって損傷を受ける疾患です。
一方、矯正治療は歯並びや咬み合わせを改善するための治療です。
【矯正治療と歯周病の注意点】
- 歯周病の管理が重要:矯正治療を始める前に、歯周病がコントロールされていることが必要です。歯周病が進行していると、矯正装置の装着により歯肉や骨に負担がかかり、症状が悪化する可能性があります。
- 矯正中の口腔ケア:矯正装置(ブラケットやワイヤー)があると、歯磨きが難しくなりやすいため、丁寧な口腔清掃と定期的な歯科検診が不可欠です。これにより、歯周病のリスクを低減できます。
- 治療計画の調整:歯周病の状態に応じて、矯正治療の計画やタイミングを調整する必要があります。場合によっては、歯周病の治療を優先させることもあります。
【まとめ】 歯周病と矯正治療は密接に関係しており、両者の健康状態を考慮しながら進めることが重要です。
歯科医師や矯正専門医と連携し、適切なケアと管理を行うことで、健康的な口腔環境を維持しながら
矯正治療を進めることが可能です。
ご質問やご不安な点があれば、遠慮なくお知らせください。
大阪市北区曽根崎新1-4-20桜橋IMビル4F
かわさと歯科・矯正歯科
日本歯周病学会専門医・指導医
日本顎咬合学会指導医
日本歯科審美学会認定医
日本臨床歯科学会(SJCD)認定医
臨床歯周病学会認定医・歯周インプランント認定医
院長 川里 邦夫
