うちの子、大変なんです!
2024年2月3日
うちの子、大変なんです!

受け口 反対咬合
ご近所に住む30代女性の患者さんが、お子さんを連れて来院されました。
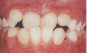
現在幼稚園に通う5歳の女の子は、ちょうど上下顎の前歯が萌出を終えるあたりでした。
うちの子、大変なんです!
しかし、残念なことに、被蓋ば逆転して萌出しており、いわゆる前歯部反対咬合でした。
お母さんは、最初のお子さんということもあって、虫歯に対しては熱心に取り組んでおり、
6歳臼歯を含めて歯には全く問題がありませんでした。

受け口 反対咬合
上下顎の前歯が多少混雑する程度でしたら、幼稚園の周りのお子さんと比べてもそれ程心配するほどでなかったかもしれませんが、
反対咬合は一般の方にも異常の程度が非常にわかりやすい不正だと言えます。
お母さんが来院されて冒頭の言葉を言われるのも無理ないのかもしれません。
『すぐ治療して、すぐにでもよくして欲しいんです』とお母さんは少し悲しそうな声で歯科衛生士に懇願していました。
今すぐよくしたいお母さんの気持ちは重々わかるのですが、側切歯もまだ萌出途上だし、下顎骨の成長のスパートはもう少し後だし、
適切な治療の時期についてどう説明すれば良いでしょうか?

受け口 反対咬合
萌出したばかりの前歯が逆被蓋になってしまった場合、できれば早い時期に正しい被蓋にするのの越したことはありません。
また、この時期にクロスバイトになっているようなケースも同様です。
早期治療によって前歯部の被蓋が改善しても、残念ながら思春期の成長のスパート時に下顎骨が大きくなり、
小学校高学年から中学校にかけて再び被蓋が逆転してしまうことがしばしばあります。
上顎骨は脳頭蓋とともに小学校中学校までにかなり成長するのに比べ、
下顎骨の成長パターンは、身長の増大と密接な関係があり、上顎骨の成長より2年ほど遅いと言われています。
したがって、たとえ早期治療で被蓋が改善していても、第二次性徴期に下顎骨の成長がスパートし、再び逆被蓋になる可能性が高いのです。
一般的に反対咬合の本格的治療は、下顎骨の成長発育がある程度見通しがついてから始めるべきでしょう。
なぜなら永久歯に交換したからといってすぐに固定式の装置をつけても、また下顎骨が成長し、
いつまで経っても被蓋の改善ができずに動的治療期間が長くなってしまう可能性があるからです。
不幸にして下顎骨が必要以上に大きくなってしまい、反対咬合が明らかになり見た目や噛み合わせに問題が出た場合は、
外科矯正で下顎枝を矢状断して、下顎骨自体をセットバックするというように、外科的アプローチを併用することが最近では定着してきました。

受け口 反対咬合
(歯科衛生士のための矯正学 歯科衛生士 Vol.27 No.4/2003 参照)
大阪市北区曽根崎新1-4-20桜橋IMビル4F
かわさと歯科・矯正歯科
日本歯周病学会専門医・指導医
院長 川里 邦夫
