他院のインビザラインで失敗した38歳女性…

「北新地駅」
徒歩1分
「西梅田駅」
徒歩2分
「大阪駅」
徒歩5分

〒530-0002 大阪府大阪市北区曾根崎新地1丁目4−20 桜橋IMビル 4F

06-6344-5535

キービジュアル

他院のインビザラインで失敗した38歳女性 大阪・梅田・北新地

2025年11月15日

他院のインビザラインで失敗した38歳女性 大阪・梅田・北新地

H29.2.

大阪府豊中市

38歳女性

 

Invisalign failure

Invisalign failure

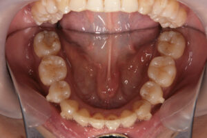
矯正したにも関わらず前歯が噛んでいない

 

Invisalign failure - Gum recession

Invisalign failure – Gum recession

歯肉が赤黒い

診療申込書

                54 年 6月 6日生( 38才)      

ふりがな                                                    NO.

住所     

自宅電話 (   )   ―       携帯電話    ―    ―    E-mail

勤務先                 電話 (    )    ―

 おそれいりますが、次の事に○でかこんで下さい。記入欄は、詳しくお答え下さい。

当院は初めてですか   はい ・ いいえ

ご紹介者があれば    氏名             様

  当医院をお知りになったのは

・ 知人の紹介    ・ 家族が来ていた   ・ 医院の看板    ・ 駅の看板

・ タウンページ   ・ リーフレット    ・ ホームページ   ・ 雑誌

・ 通りがかり    ・ その他 (       歯周病 歯肉移植    )

  来院された理由(主訴)                       

      ・ 歯の痛み ( 噛んだ時 / 冷痛 / 温痛 / 親知らず )    ・ 詰め物がとれた   ・ 歯の色

      ・ 物がはさまる   歯肉が腫れた全体的に赤黒い  ・ 歯肉の出血  ・ 歯石  ・ 口臭    ・ 検診

      ・ インプラント   ・ 入れ歯        歯列矯正    ・ 顎が痛む

  

      ・ 他の歯科で治らないので(      ヶ月前 )

      ・ その他 (  インビザライン失敗 3年ほどやった 今も   )

治療について

今回の治療目的は・・・    ・ 応急処置のみ  ・ 問題のある所は全て治療

説明・・・  ・ 詳しく説明が聞きたい  ・ 希望する場所のみの説明でよい

費用・・・  ・ 保険の範囲で治療したい ・ 必要があれば多少の費用がかかってもよい

時間・期間・・  ・ いつでも良い     ・(    )曜日が都合良い 午前中・午後

・    年   月   日 までに終わってほしい

麻酔・・・      ・ してほしい     ・してほしくない

レントゲン写真・    ・ 必要なら撮ってもよい  ・ 治療上、必要でも撮られたくない                     

交通手段について

徒歩         自転車         バイク                 電車  20

その他、うけたまわっておく事はありますか。

~あなたが本当に必要とする歯科治療を~

 

インビザラインで失敗した38歳女性

インビザラインで失敗した38歳女性

 

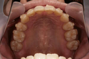
Invisalign failure - Gum recession1

Invisalign failure – Gum recession1

歯肉が退縮している

健康カルテ

 

あなたの、健康状態を正確に教えて下さい

   体とお口は親密に関係しており、下記の質問は重要な資料となります。

 健康状態によっては、処置できない治療(抜歯など)もあります。

 歯科で使用する薬品・飲み薬など、他のお薬と併用されますと大変危険な物もあります。

 

ご家族で何か大きな病気・手術等された方はおられますか ?  はい ・ いいえ

                                                                  )

ご自身で過去にかかった病気・手術等はありますか ?  はい ・ いいえ

            (                                                               )

現在のお身体の状態はいかがですか?(をお付け下さい)

健康である    体調が良くない  

現在( 内科 / 外科 / その他 ) 治療中

投薬( 無 / 有  服用中のお薬名:                     )

かかりつけの病院名(             ) 連絡先(☎            

                   (          )      (           )

現在、治療中 又は 疑いがある病気はありますか?(○をお付け下さい)

はい   ・   いいえ

ウイルス性疾患・・・ 肝炎( A型・B型・C型 ) ・ HIV

心疾患    ・・・ 心筋梗塞 ・ 狭心症

脳疾患    ・・・ 脳梗塞 ・ 脳卒中

アレルギー  ・・・ 薬  (飲めない薬:                                     )

食物(                                         )         

その他    ・・・ 糖尿病(      )・高血圧/上(    )~下(   

                      貧血症・胃腸障害・血友病・紫斑病

血がとまりにくい(歯を抜いたりケガをした時)

ますい注射のアレルギー(じんましんが出る・気分が悪くなる)

~女性の方~ 妊娠中   ヶ月・授乳中(   年   月   日現在)

上記以外で、うけたまわっておく事はありますか?

 

インビザラインで失敗した38歳女性

インビザラインで失敗した38歳女性

 

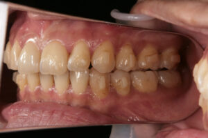
Invisalign failure - Gum recession

Invisalign failure – Gum recession

全体的な汚れが目立つ

 

コミュニケーション

 

Q1.数ある医院の中で当院をお選びになった理由は何ですか?

HP orリーフレットの場合→ どのような医院だと思われましたか?

紹介の場合→ 当院の事をどのようにおっしゃっていましたか?

 

歯周病・矯正を専門とされているので

 

Q2.今まで通院されていた医院での不満や怒り、また決してして欲しくないことは?

 

 

Q3.今、お口の中について、どのようなことでお悩みですか?

⇒(痛みが主訴の場合)「痛み」以外で困っている、悩んでいる、気になっている

ことはありますか?

 

歯肉が削れて歯茎全体が萎んでしまった

移植など必要でしょうか

 

⇒では、あなたにとって、理想のお口の状態とはどのようなものですか?

 

自分の歯で老後も過ごせること

 

Q4.お口を理想の状態に近づける第一歩として、何を望まれますか?(優先順に)

  1. 健康な歯茎  2.

Q5.あなたが当院に望まれることはなんでしょうか?(痛み以外で)

 

歯茎を正常に戻して欲しいです

 

Invisalign failure - Gum recession

Invisalign failure – Gum recession

アタッチメントの下は磨けない

 

Invisalign failure - Gum recession

Invisalign failure – Gum recession

インビザは磨きやすい?

 

大阪市北区曽根崎新1-4-20桜橋IMビル4F

かわさと歯科・矯正歯科

日本歯周病学会専門医・指導医

院長 川里 邦夫

 

歯周病

 

 

 

大人の矯正歯科

インビザライン矯正失敗」というのは、歯列矯正治療の結果が期待どおりにいかなかった場合を指す言葉です。
  失敗と感じるケースにはいくつかのパターンがあり、それぞれ原因や対処法が異なります。

インビザライン治療において歯肉退縮が生じることは稀ですが、可能性はゼロではありません。

歯肉退縮は、歯茎が後退し、歯の根元が露出する状態です。これが起こる原因にはいくつか考えられます。

  1. 過度な歯の動き: インビザラインによる歯の移動が過剰だった場合、歯茎に負担がかかり退縮することがあります。
  2. 歯周病の既往: 既に歯周病のリスクがある場合、治療中に歯肉退縮が進行しやすくなります。
  3. 不適切な口腔ケア: 治療中の口腔衛生管理不足も歯肉退縮の原因となることがあります。
  4. 個人の解剖学的要因: 歯茎の厚さや骨の構造によっても影響を受けることがあります。

もし歯肉退縮が疑われる場合は、早めに歯科医師または矯正専門医に相談することをお勧めします。

適切な診断と治療計画の見直しが必要です。

場合によっては、歯周治療や歯肉の再生治療が検討されることもあります。

何か他に詳しく知りたいことやご質問があれば、お気軽にお知らせください。

 

 

 

 

セカンドオピニオン/個別相談のご案内

当院では、患者さんが抱えていらっしゃるお口のお悩みや疑問・不安などにお応えする機会を設けております。どんなことでも構いませんので、私たちにお話ししていただけたらと思います。
ご興味がある方は下記からお問い合わせください。

保険の制度では、セカンドオピニオンとして保険が適応されていませんので、それぞれの医院によって内容が変わってきます。
※知識を聞くことを無料だと思っている方は、他院の保険制度をご利用ください。
※前医院の恨みつらみ、悪口などを申す機会ではございませんのでご理解ください。

MAIL相談 24時間WEB予約

「北新地駅」徒歩1分
「西梅田駅」徒歩2分
「大阪駅」徒歩5分

06-6344-5535

このページの先頭に戻る