ブルーラジカルをしたい50代女性
2026年2月23日
ブルーラジカルをしたい50代女性
R7.8.
香川県高松市
56歳女性

ブルーラジカルをしたい50代女性
目次
診療申込書
女 43年 11月 日生( 56才) A
ふりがな NO. 10814
住所 〠 ― 香川県高松市
自宅電話 ( ) ― 携帯電話 ― ― E-mail
勤務先 電話 ( ) ―
- おそれいりますが、次の事に○でかこんで下さい。記入欄は、詳しくお答え下さい。
当院は初めてですか はい ・ いいえ
ご紹介者があれば 氏名 様
当医院をお知りになったのは
・ 知人の紹介 ・ 家族が来ていた ・ 医院の看板 ・ 駅の看板
・ タウンページ ・ リーフレット ・ ホームページ ・ 雑誌
・ 通りがかり ・ その他 ( googleで検索 )
来院された理由(主訴)
・ 歯の痛み ( 噛んだ時 / 冷痛 / 温痛 / 親知らず ) ・ 詰め物がとれた ・ 歯の色
・ 物がはさまる ・ 歯肉が腫れた ・ 歯肉の出血 ・ 歯石 ・ 口臭 ・ 検診
・ インプラント ・ 入れ歯 ・ 歯列矯正 ・ 顎が痛む
・ 他の歯科で治らないので( ヶ月前 )
・ その他 ( 歯がグラグラする 右上左下 ブルーラジカルの説明 )
治療について
今回の治療目的は・・・ ・ 応急処置のみ ・ 問題のある所は全て治療
説明・・・ ・ 詳しく説明が聞きたい ・ 希望する場所のみの説明でよい
費用・・・ ・ 保険の範囲で治療したい ・ 必要があれば多少の費用がかかってもよい
時間・期間・・ ・ いつでも良い ・( )曜日が都合良い 午前中・午後
・ 年 月 日 までに終わってほしい
麻酔・・・ ・ してほしい ・してほしくない
レントゲン写真・ ・ 必要なら撮ってもよい ・ 治療上、必要でも撮られたくない
交通手段について
・ 徒歩 分 ・ 自転車 分 ・ バイク 分 ・ 車 分 ・ 電車 120分
その他、うけたまわっておく事はありますか。
~あなたが本当に必要とする歯科治療を~

ブルーラジカルをしたい50代女性
健康カルテ
あなたの、健康状態を正確に教えて下さい。
✽ 体とお口は親密に関係しており、下記の質問は重要な資料となります。
✽ 健康状態によっては、処置できない治療(抜歯など)もあります。
✽ 歯科で使用する薬品・飲み薬など、他のお薬と併用されますと大変危険な物もあります。
ご家族で何か大きな病気・手術等された方はおられますか ? はい ・ いいえ
( )
ご自身で過去にかかった病気・手術等はありますか ? はい ・ いいえ
( 子宮筋腫 )
現在のお身体の状態はいかがですか?(○をお付け下さい)
健康である ・ 体調が良くない
現在( 内科 / 外科 / その他 ) 治療中
投薬( 無 / 有 服用中のお薬名: )
かかりつけの病院名( ) 連絡先(☎ )
( ) (☎ )
現在、治療中 又は 疑いがある病気はありますか?(○をお付け下さい)
はい ・ いいえ
ウイルス性疾患・・・ 肝炎( A型・B型・C型 ) ・ HIV
心疾患 ・・・ 心筋梗塞 ・ 狭心症
脳疾患 ・・・ 脳梗塞 ・ 脳卒中
アレルギー ・・・ 薬 (飲めない薬: )
食物( )
その他 ・・・ 糖尿病( )・高血圧/上( )~下( )
貧血症・胃腸障害・血友病・紫斑病
血がとまりにくい(歯を抜いたりケガをした時)
ますい注射のアレルギー(じんましんが出る・気分が悪くなる)
~女性の方~ 妊娠中 ヶ月・授乳中( 年 月 日現在)
上記以外で、うけたまわっておく事はありますか?

ブルーラジカルをしたい50代女性
コミュニケーション
Q1.数ある医院の中で当院をお選びになった理由は何ですか?
HP orリーフレットの場合→ どのような医院だと思われましたか?
紹介の場合→ 当院の事をどのようにおっしゃっていましたか?
歯周病を診てもらえると思ってきました
Q2.今まで通院されていた医院での不満や怒り、また決してして欲しくないことは?
Q3.今、お口の中について、どのようなことでお悩みですか?
⇒(痛みが主訴の場合)「痛み」以外で困っている、悩んでいる、気になっている
ことはありますか?
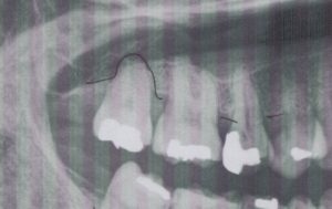
一年前に左下の親知らずを抜いて、クリーニンングに通院していましたが、
1ヶ月前からグラグラしてきて食事がしずらい状態です
食いしばりもあると思います。
⇒では、あなたにとって、理想のお口の状態とはどのようなものですか?
Q4.お口を理想の状態に近づける第一歩として、何を望まれますか?(優先順に)
- 歯を抜きたくないです 2.
Q5.あなたが当院に望まれることはなんでしょうか?(痛み以外で)

ブルーラジカルをしたい50代女性
大阪市北区曽根崎新1-4-20桜橋IMビル4F
かわさと歯科・矯正歯科
日本歯周病学会専門医・指導医
院長 川里 邦夫
「ブルーラジカル(Blue Radical)」について
一般的には歯周病治療の一環として使用される特定の治療法や薬剤の名称としては広く知られていません。ただし、歯周病治療にはさまざまな先端技術や薬剤が用いられており、その中にはレーザー治療や抗菌剤、光線療法などもあります。詳細な情報や具体的な治療内容については、歯科医師に直接ご相談されることをお勧めします。
もし、他に知りたいことや具体的な症状、治療法についての質問があれば、お気軽にお知らせください。
過酸化水素(H₂O₂)とは
一般的に消毒や殺菌に使用される酸化剤の一つです。
以下に、過酸化水素の消毒に関する基本的な情報をお伝えします。
【過酸化水素の消毒用途】
- 傷口の消毒:一般的に3%の濃度の過酸化水素が使用され、傷口の汚れや細菌を除去します。ただし、過度の使用や高濃度は組織を傷つける可能性があるため注意が必要です。
- 医療器具の消毒:高濃度の過酸化水素(例えば6%〜35%)は、医療器具や表面の殺菌に利用されることがあります。
- 環境表面の除菌:家庭や施設の清掃においても、適切な濃度で使用されることがあります。
【注意点】
- 濃度の選択:傷口の消毒には一般的に3%の過酸化水素が推奨されます。高濃度は皮膚や組織にダメージを与える可能性があるため、使用には注意が必要です。
- 使用頻度:頻繁に使用すると組織の回復を妨げることがあるため、適切な間隔での使用を心がけてください。
- 代替策:傷の消毒には、塩化ベンザルコニウムや生理食塩水なども選択肢となります。
【まとめ】
過酸化水素は適切に使用すれば効果的な消毒剤ですが、濃度や使用方法を誤ると逆効果や傷害の原因となるた
め、医師や薬剤師の指示に従うことをお勧めします。
他にご質問や詳しい情報が必要でしたら、お気軽にお問い合わせください!
大阪市北区曽根崎新1-4-20桜橋IMビル4F
かわさと歯科・矯正歯科
日本歯周病学会専門医・指導医
日本顎咬合学会指導医
日本歯科審美学会認定医
日本臨床歯科学会(SJCD)認定医
臨床歯周病学会認定医・歯周インプランント認定医
院長 川里 邦夫
