右下ブリッジが噛むと痛い50代女性
2026年2月16日
右下ブリッジが噛むと痛い50代女性
R7.8.
大阪府富田林市
57歳女性

右下ブリッジが噛むと痛い50代女性

右下ブリッジが噛むと痛い50代女性
治療方針
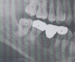
右下567のブリッジは構造力学的に問題が多いです。簡単言うと、噛む力に耐えられません。
上顎であればいいのですが、下顎の場合、骨が撓まない・歯が短いといった理由からです。
そのため、現在では下6が抜歯になれば、インプラントが第一選択肢となります。
また、奥歯を治療する際には、前歯がきちんと噛んでいることが条件となります。
目次
診療申し込み書
|
ふりがな 性別 女 生 年 月 日 43年 2月 日生( 57才) 血 液 型 名前 大正 ・ 昭和・ 平成 O |
|
|
|
|
|
ふりがな NO. 住所 〠 ― 自宅電話 ( ) ― 携帯電話 ― ― E-mail 勤務先 電話 ( ) ― ● おそれいりますが、次の事に○でかこんで下さい。記入欄は、詳しくお答え下さい。 当院は初めてですか はい ・ いいえ ご紹介者があれば 氏名 様 当医院をお知りになったのは ・ 知人の紹介 ・ 家族が来ていた ・ 医院の看板 ・ 駅の看板 ・ タウンページ ・ リーフレット ・ ホームページ ・ 雑誌 ・ 通りがかり ・ その他 ( 大阪市北区歯医者 )
来院された理由(主訴) ・ 歯の痛み ( 噛んだ時 / 冷痛 / 温痛 / 親知らず ) ・ 詰め物がとれた ・ 歯の色 ・ 物がはさまる ・ 歯肉が腫れた ・ 歯肉の出血 ・ 歯石 ・ 口臭 ・ 検診 ・ インプラント ・ 入れ歯 ・ 歯列矯正 ・ 顎が痛む
・ 他の歯科で治らないので( ヶ月前 ) ・ その他 ( 1週間前に右下ブリッジが噛んだら痛かった )
治療について 今回の治療目的は・・・ ・ 応急処置のみ ・ 問題のある所は全て治療 説明・・・ ・ 詳しく説明が聞きたい ・ 希望する場所のみの説明でよい 費用・・・ ・ 保険の範囲で治療したい ・ 必要があれば多少の費用がかかってもよい 時間・期間・・ ・ いつでも良い ・( )曜日が都合良い 午前中・午後 ・ 年 月 日 までに終わってほしい 麻酔・・・ ・ してほしい ・してほしくない レントゲン写真・ ・ 必要なら撮ってもよい ・ 治療上、必要でも撮られたくない 交通手段について ・ 徒歩 分 ・ 自転車 分 ・ バイク 分 ・ 車 分 ・ 電車 60分 その他、うけたまわっておく事はありますか。 ~あなたが本当に必要とする歯科治療を~ |
|

右下ブリッジが噛むと痛い50代女性
健康カルテ
あなたの、健康状態を正確に教えて下さい。
✽ 体とお口は親密に関係しており、下記の質問は重要な資料となります。
✽ 健康状態によっては、処置できない治療(抜歯など)もあります。
✽ 歯科で使用する薬品・飲み薬など、他のお薬と併用されますと大変危険な物もあります。
ご家族で何か大きな病気・手術等された方はおられますか ? はい ・ いいえ
( )
ご自身で過去にかかった病気・手術等はありますか ? はい ・ いいえ
( )
現在のお身体の状態はいかがですか?(○をお付け下さい)
健康である ・ 体調が良くない
現在( 内科 / 外科 / その他 ) 治療中
投薬( 無 / 有 服用中のお薬名: )
かかりつけの病院名( ) 連絡先(☎ )
( ) (☎ )
現在、治療中 又は 疑いがある病気はありますか?(○をお付け下さい)
はい ・ いいえ
ウイルス性疾患・・・ 肝炎( A型・B型・C型 ) ・ HIV
心疾患 ・・・ 心筋梗塞 ・ 狭心症
脳疾患 ・・・ 脳梗塞 ・ 脳卒中
アレルギー ・・・ 薬 (飲めない薬: )
食物( )
その他 ・・・ 糖尿病( )・高血圧/上( )~下( )
貧血症・胃腸障害・血友病・紫斑病
血がとまりにくい(歯を抜いたりケガをした時)
ますい注射のアレルギー(じんましんが出る・気分が悪くなる)
~女性の方~ 妊娠中 ヶ月・授乳中( 年 月 日現在)
上記以外で、うけたまわっておく事はありますか?

右下ブリッジが噛むと痛い50代女性
コミュニケーション
Q1.数ある医院の中で当院をお選びになった理由は何ですか?
HP orリーフレットの場合→ どのような医院だと思われましたか?
紹介の場合→ 当院の事をどのようにおっしゃっていましたか?
綺麗な医院
Q2.今まで通院されていた医院での不満や怒り、また決してして欲しくないことは?
特になし
Q3.今、お口の中について、どのようなことでお悩みですか?
⇒(痛みが主訴の場合)「痛み」以外で困っている、悩んでいる、気になっている
ことはありますか?
⇒では、あなたにとって、理想のお口の状態とはどのようなものですか?
虫歯のない口
Q4.お口を理想の状態に近づける第一歩として、何を望まれますか?(優先順に)
- 2.
Q5.あなたが当院に望まれることはなんでしょうか?(痛み以外で)
正しい診断

右下ブリッジが噛むと痛い50代女性
前歯が噛んでいない
治療方針
右下567のブリッジは構造力学的に問題が多いです。簡単言うと、噛む力に耐えられません。
上顎であればいいのですが、下顎の場合、骨が撓まない・歯が短いといった理由からです。
そのため、現在では下6が抜歯になれば、インプラントが第一選択肢となります。
また、奥歯を治療する際には、前歯がきちんと噛んでいることが条件となります。
大阪市北区曽根崎新1-4-20桜橋IMビル4F
かわさと歯科・矯正歯科
日本歯周病学会専門医・指導医
院長 川里 邦夫
ブリッジについて詳しくご説明いたします。
歯のブリッジ(連結冠)は、失った歯の代わりに隣接する健康な歯を支えにして、人工の歯(ポンティック)を橋のように連結して固定する治療法です。主に以下のような特徴があります。
【メリット】
- 失った歯の機能回復(咀嚼や発音の改善)
- 見た目の自然さ
- 比較的短期間で治療完了
【デメリット】
- 支えとなる歯を削る必要がある
- 支えの歯に負担がかかるため、健康な歯の状態によっては適さない場合もある
- 長期的には支えの歯やブリッジ自体の耐久性に注意が必要
【適応例】
- 1本または複数本の歯を失った場合
- 支えとなる歯が健康で十分な強度がある場合
【治療の流れ】
- 診査・検査(X線や口腔内写真)
- 支えとなる歯の準備(削る作業)
- 型取りと仮歯の装着
- 製作と調整
- 固定(接着)
もし具体的な治療計画やリスクについてご質問があれば、お気軽にお知らせください。
あなたの口腔内の状態に合わせた最適なアドバイスをさせていただきます。
大阪市北区曽根崎新1-4-20桜橋IMビル4F
かわさと歯科・矯正歯科
日本歯周病学会専門医・指導医
日本顎咬合学会指導医
日本歯科審美学会認定医
日本臨床歯科学会(SJCD)認定医
臨床歯周病学会認定医・歯周インプランント認定医
院長 川里 邦夫
