他院のインビザラインで失敗した33歳男性 大阪・梅田・北新地
2025年12月18日
他院のインビザラインで失敗した33歳男性 大阪・梅田・北新地
R5.3.
33歳男性
大阪府摂津市

他院のインビザラインで失敗した33歳男性

Invisalign orthodontics failed
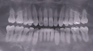
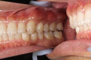
2年前からインビザラインして今月終了したが、上顎全体が前に出ているのと、下顎が後退しているのが気になる。
他に医院ではミニスクリューを勧められた。歯を抜かずに矯正しているため、イーラインが前に出ている。
4番抜歯をしないと治らない。しかも、奥歯が噛んでいない。ワイヤーによる全顎矯正が必要。
目次
診療申込書
男 1年11月 16日生( 33才) B
ふりがな NO.
住所 〠 ―
自宅電話 ( ) ― 携帯電話 ― ― E-mail
勤務先 電話 ( ) ―
● おそれいりますが、次の事に○でかこんで下さい。記入欄は、詳しくお答え下さい。
当院は初めてですか はい ・ いいえ
ご紹介者があれば 氏名 様
当医院をお知りになったのは
・ 知人の紹介 ・ 家族が来ていた ・ 医院の看板 ・ 駅の看板
・ タウンページ ・ リーフレット ・ ホームページ ・ 雑誌
・ 通りがかり ・ その他 ( 大阪 矯正 ツイッター 濁されるのが嫌 )
来院された理由(主訴)
・ 歯の痛み ( 噛んだ時 / 冷痛 / 温痛 / 親知らず ) ・ 詰め物がとれた ・ 歯の色
・ 物がはさまる ・ 歯肉が腫れた ・ 歯肉の出血 ・ 歯石 ・ 口臭 ・ 検診
・ インプラント ・ 入れ歯 ・ 歯列矯正 ・ 顎が痛む
・ 他の歯科で治らないので( 今まで2年間矯正していた )
・ その他 ( 顎が後退しているのは治らないと言われた インビザを勧められた )
治療について
今回の治療目的は・・・ ・ 応急処置のみ ・ 問題のある所は全て治療
説明・・・ ・ 詳しく説明が聞きたい ・ 希望する場所のみの説明でよい
費用・・・ ・ 保険の範囲で治療したい ・ 必要があれば多少の費用がかかってもよい
時間・期間・・ ・ いつでも良い ・( )曜日が都合良い 午前中・午後
・ 年 月 日 までに終わってほしい
麻酔・・・ ・ してほしい ・してほしくない
レントゲン写真・ ・ 必要なら撮ってもよい ・ 治療上、必要でも撮られたくない
交通手段について
・ 徒歩 分 ・ 自転車 分 ・ バイク 分 ・ 車 分 ・ 電車 12 分
その他、うけたまわっておく事はありますか。

他院のインビザラインで失敗した33歳男性

Invisalign orthodontics failed
健康カルテ
あなたの、健康状態を正確に教えて下さい。
✽ 体とお口は親密に関係しており、下記の質問は重要な資料となります。
✽ 健康状態によっては、処置できない治療(抜歯など)もあります。
✽ 歯科で使用する薬品・飲み薬など、他のお薬と併用されますと大変危険な物もあります。
ご家族で何か大きな病気・手術等された方はおられますか ? はい ・ いいえ
( )
ご自身で過去にかかった病気・手術等はありますか ? はい ・ いいえ
( )
現在のお身体の状態はいかがですか?(○をお付け下さい)
健康である ・ 体調が良くない
現在( 内科 / 外科 / その他 ) 治療中
投薬( 無 / 有 服用中のお薬名: )
かかりつけの病院名( ) 連絡先(☎ )
( ) (☎ )
現在、治療中 又は 疑いがある病気はありますか?(○をお付け下さい)
はい ・ いいえ
ウイルス性疾患・・・ 肝炎( A型・B型・C型 ) ・ HIV
心疾患 ・・・ 心筋梗塞 ・ 狭心症
脳疾患 ・・・ 脳梗塞 ・ 脳卒中
アレルギー ・・・ 薬 (飲めない薬: )
食物( )
その他 ・・・ 糖尿病( )・高血圧/上( )~下( )
貧血症・胃腸障害・血友病・紫斑病
血がとまりにくい(歯を抜いたりケガをした時)
ますい注射のアレルギー(じんましんが出る・気分が悪くなる)
~女性の方~ 妊娠中 ヶ月・授乳中( 年 月 日現在)
上記以外で、うけたまわっておく事はありますか?

Invisalign orthodontics
コミュニケーション
Q1.数ある医院の中で当院をお選びになった理由は何ですか?
HP orリーフレットの場合→ どのような医院だと思われましたか?
紹介の場合→ 当院の事をどのようにおっしゃっていましたか?
技術が高そうに感じました
しっかりと説明していただけそう
Q2.今まで通院されていた医院での不満や怒り、また決してして欲しくないことは?
説明不足だと不安になります
Q3.今、お口の中について、どのようなことでお悩みですか?
⇒(痛みが主訴の場合)「痛み」以外で困っている、悩んでいる、気になっている
ことはありますか?
歯並び 前歯の前突感 下顎の後退 ガミースマイル
⇒では、あなたにとって、理想のお口の状態とはどのようなものですか?
イーラインが整う
Q4.お口を理想の状態に近づける第一歩として、何を望まれますか?(優先順に)
- 矯正 2.
Q5.あなたが当院に望まれることはなんでしょうか?(痛み以外で)
しっかりとした説明と治療の流れ
大阪市北区曽根崎新1-4-20桜橋IMビル4F
かわさと歯科・矯正歯科
日本歯周病学会専門医・指導医
院長 川里 邦夫
インビザライン矯正について
出っ歯(上顎前突)の場合、インビザラインは非常に効果的な選択肢の一つです。
透明なマウスピース型の矯正装置で、目立ちにくく、取り外しも可能なため、日常生活や食事の際に便利です。
ただし、治療の適応範囲や具体的な治療計画は、歯科医師の診断によります。
出っ歯の程度や歯の状態によっては、他の矯正方法と併用したり、追加の処置が必要になる場合もあります。
もしご興味があれば、まずは歯科矯正専門医に相談されることをおすすめします。
詳細な診断と治療計画を立ててもらうことで、ご自身に最適な治療方法を選択できます。
何か他にご質問や不安な点があれば、お気軽にお知らせください。
矯正治療を行ったにもかかわらず、出っ歯(上顎前突)が完全に改善されなかった場合、
いくつかの原因や対策が考えられます。
- 治療計画の見直し: 初期の治療計画が十分でなかった可能性があります。再度、矯正専門医に相談し、治療の進行状況や今後の方針について確認しましょう。
- 追加の治療や調整: 一部のケースでは、追加の矯正や調整、または補助的な治療(例:外科的矯正や歯の抜歯後の調整)が必要となる場合があります。
- 歯の位置や骨格の問題: 出っ歯の原因が骨格的なものである場合、歯列矯正だけでは改善が難しいこともあります。その場合、外科的矯正や他の治療法を検討する必要があります。
- 長期的な管理: 矯正治療後はリテーナー(保定装置)を使用して、歯の後戻りを防ぐことが重要です。適切に管理されているかも確認しましょう。
まずは、担当の矯正歯科医に詳細な診断と今後の治療方針について相談されることをお勧めします。
必要に応じてセカンドオピニオンを求めるのも良いでしょう。
何か他にご質問があれば、お気軽にお知らせください。
