他院のインビザラインで失敗した45歳女性 大阪・梅田・北新地
2025年12月3日
他院のインビザラインで失敗した45歳女性 大阪・梅田・北新地
R3.3.
大阪府吹田市
45歳女性

Invisalign correction failure
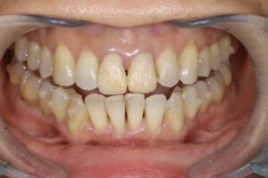
全く噛んでない
目次
診療申込書
女 52年 2月 17日生( 45才) AB
ふりがな NO.
住所 〠 ―
自宅電話 ( ) ― 携帯電話 ― ― E-mail
勤務先 電話 ( ) ―
● おそれいりますが、次の事に○でかこんで下さい。記入欄は、詳しくお答え下さい。
当院は初めてですか はい ・ いいえ
ご紹介者があれば 氏名 様
当医院をお知りになったのは
・ 知人の紹介 ・ 家族が来ていた ・ 医院の看板 ・ 駅の看板
・ タウンページ ・ リーフレット ・ ホームページ ・ 雑誌
・ 通りがかり ・ その他 ( インビザライン失敗 矯正失敗 )
来院された理由(主訴)
・ 歯の痛み ( 噛んだ時 / 冷痛 / 温痛 / 親知らず ) ・ 詰め物がとれた ・ 歯の色
・ 物がはさまる ・ 歯肉が腫れた ・ 歯肉の出血 ・ 歯石 ・ 口臭 ・ 検診
・ インプラント ・ 入れ歯 ・ 歯列矯正 ・ 顎が痛む
・ 他の歯科で治らないので( 2020.10.から ヶ月前 )
・ その他 ( 全体を治したい 上前歯の詰め物 歯茎が出ている ディープクリーニング )
治療について
今回の治療目的は・・・ ・ 応急処置のみ ・ 問題のある所は全て治療
説明・・・ ・ 詳しく説明が聞きたい ・ 希望する場所のみの説明でよい
費用・・・ ・ 保険の範囲で治療したい ・ 必要があれば多少の費用がかかってもよい
時間・期間・・ ・ いつでも良い ・( )曜日が都合良い 午前中・午後
・ 年 月 日 までに終わってほしい
麻酔・・・ ・ してほしい ・してほしくない
レントゲン写真・ ・ 必要なら撮ってもよい ・ 治療上、必要でも撮られたくない
交通手段について
・ 徒歩 分 ・ 自転車 分 ・ バイク 分 ・ 車 分 ・ 電車 40 分
その他、うけたまわっておく事はありますか。

インビザラインで失敗した45歳女性
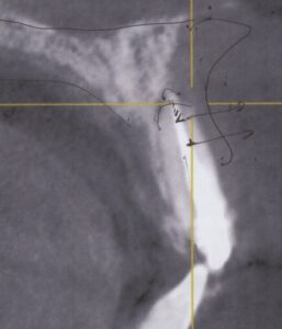
骨から歯が飛び出ている
健康カルテ
あなたの、健康状態を正確に教えて下さい。
✽ 体とお口は親密に関係しており、下記の質問は重要な資料となります。
✽ 健康状態によっては、処置できない治療(抜歯など)もあります。
✽ 歯科で使用する薬品・飲み薬など、他のお薬と併用されますと大変危険な物もあります。
ご家族で何か大きな病気・手術等された方はおられますか ? はい ・ いいえ
( )
ご自身で過去にかかった病気・手術等はありますか ? はい ・ いいえ
( )
現在のお身体の状態はいかがですか?(○をお付け下さい)
健康である ・ 体調が良くない
現在( 内科 / 外科 / その他 ) 治療中
投薬( 無 / 有 服用中のお薬名: )
かかりつけの病院名( ) 連絡先(☎ )
( ) (☎ )
現在、治療中 又は 疑いがある病気はありますか?(○をお付け下さい)
はい ・ いいえ
ウイルス性疾患・・・ 肝炎( A型・B型・C型 ) ・ HIV
心疾患 ・・・ 心筋梗塞 ・ 狭心症
脳疾患 ・・・ 脳梗塞 ・ 脳卒中
アレルギー ・・・ 薬 (飲めない薬: )
食物( )
その他 ・・・ 糖尿病( )・高血圧/上( )~下( )
貧血症・胃腸障害・血友病・紫斑病
血がとまりにくい(歯を抜いたりケガをした時)
ますい注射のアレルギー(じんましんが出る・気分が悪くなる)
~女性の方~ 妊娠中 ヶ月・授乳中( 年 月 日現在)
上記以外で、うけたまわっておく事はありますか?

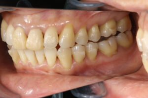
インビザラインで失敗した45歳女性

Invisalign correction failure
奥歯が噛んでいない
コミュニケーション
Q1.数ある医院の中で当院をお選びになった理由は何ですか?
HP orリーフレットの場合→ どのような医院だと思われましたか?
紹介の場合→ 当院の事をどのようにおっしゃっていましたか?
全体を治療してくれる
Q2.今まで通院されていた医院での不満や怒り、また決してして欲しくないことは?
気軽にできると言われていてインビザライン矯正をやってしまった
その他の治療はしない
何も言わずに削る
Q3.今、お口の中について、どのようなことでお悩みですか?
⇒(痛みが主訴の場合)「痛み」以外で困っている、悩んでいる、気になっている
ことはありますか?
インビザラインがおかしい
とにかく怖くなってしまっている
⇒では、あなたにとって、理想のお口の状態とはどのようなものですか?
奥歯で噛める
痛みがない
Q4.お口を理想の状態に近づける第一歩として、何を望まれますか?(優先順に)
- 死ぬまで自分の歯でいたい 2.
Q5.あなたが当院に望まれることはなんでしょうか?(痛み以外で)
全体の治療
メインテナンス
ディープクリーニング

インビザラインで失敗した45歳女性

Invisalign correction failure
奥歯が噛んでいない
大阪市北区曽根崎新1-4-20桜橋IMビル4F
かわさと歯科・矯正歯科
日本歯周病学会専門医・指導医
院長 川里 邦夫
「インビザライン矯正失敗」というのは、歯列矯正治療の結果が期待どおりにいかなかった場合を指す言葉です。
失敗と感じるケースにはいくつかのパターンがあり、それぞれ原因や対処法が異なります。
以下で整理して説明します。
🦷 よくある「失敗」と感じるケース
-
歯が思ったように動かない
-
マウスピースを指示通りに装着しても、予定通り歯が動かない。
-
予定のアライナー数を終えても、歯並びが理想形にならない。
-
-
噛み合わせが悪くなった
-
歯の見た目は良くなったが、噛み合わせがずれて違和感がある。
-
食事のときに噛みにくくなる、顎が疲れる、痛むなど。
-
-
歯が後戻りしてしまう
-
矯正後の保定(リテーナー)を怠ることで、歯が元の位置に戻る。
-
-
見た目が不自然
-
歯の形や歯茎のラインが合わず、「整っているけど美しく見えない」ことも。
-
-
虫歯や歯周病の悪化
-
アライナー装着中の清掃が不十分で、口腔環境が悪化。
-
⚙️ 主な原因
-
アライナーの装着時間不足(1日20〜22時間が理想)
-
初期診断やシミュレーションの精度不足
-
歯根の動きや骨の状態の個人差を見誤った
-
担当医の経験不足(インビザラインは医師の計画力が重要)
-
治療途中の調整や追加アライナー対応の遅れ
🩺 対応・リカバリー方法
-
担当医に再評価を依頼
-
スキャンや再シミュレーションで「再矯正(リファインメント)」を行うのが一般的。
-
-
他院でセカンドオピニオン
-
インビザライン専門や矯正認定医に相談すると客観的な意見をもらえる。
-
-
部分的なワイヤー矯正で修正
-
アライナーでは難しい微調整をワイヤーで補正することも可能。
-
-
リテーナーや再矯正での後戻り防止
-
状況に応じて再治療が必要になる場合もある。
-
💬 もし今お困りなら…
よければ、
-
どんな結果になってしまったのか(歯並び・噛み合わせなど)
-
治療期間・アライナー枚数
-
担当医の対応(再矯正提案があったか)
などを教えてもらえれば、**具体的にどう動けばよいか(再矯正 or 転院など)**を一緒に考えられます。
