他院のインビザラインで失敗した23歳女性 大阪・梅田・北新地
2025年12月4日
他院のインビザラインで失敗した23歳女性 大阪・梅田・北新地
現在他院でインビザラインにて矯正治療中
今年で3年目になるが当初2年と言われていたが終わる目処がわからない
別の歯科医院での矯正治療を検討中

Invisalign
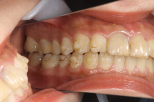
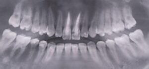
初診時に前歯が噛んでいない
R6.1.
大阪市淀川区
23歳女性
目次
診療申込書
女 12年 3月 2日生( 23才) B
ふりがな NO.
住所 〠 ―
自宅電話 ( ) ― 携帯電話 ― ― E-mail
勤務先 電話 ( ) ―
● おそれいりますが、次の事に○でかこんで下さい。記入欄は、詳しくお答え下さい。
当院は初めてですか はい ・ いいえ
ご紹介者があれば 氏名 様
当医院をお知りになったのは
・ 知人の紹介 ・ 家族が来ていた ・ 医院の看板 ・ 駅の看板
・ タウンページ ・ リーフレット ・ ホームページ ・ 雑誌
・ 通りがかり ・ その他 ( スマホ グーグル 梅田 矯正 )
来院された理由(主訴)
・ 歯の痛み ( 噛んだ時 / 冷痛 / 温痛 / 親知らず ) ・ 詰め物がとれた ・ 歯の色
・ 物がはさまる ・ 歯肉が腫れた ・ 歯肉の出血 ・ 歯石 ・ 口臭 ・ 検診
・ インプラント ・ 入れ歯 ・ 歯列矯正 ・ 顎が痛む
・ 他の歯科で治らないので( ヶ月前 )
・ その他 ( 現在他院でインビザラインにて矯正治療中で今年で3年目になるのですが
当初2年と言われており終わる目処がわからないとの回答をいただいたため
別の歯科医院での矯正治療を検討しています)
治療について
今回の治療目的は・・・ ・ 応急処置のみ ・ 問題のある所は全て治療
説明・・・ ・ 詳しく説明が聞きたい ・ 希望する場所のみの説明でよい
費用・・・ ・ 保険の範囲で治療したい ・ 必要があれば多少の費用がかかってもよい
時間・期間・・ ・ いつでも良い ・( )曜日が都合良い 午前中・午後
・ 年 月 日 までに終わってほしい
麻酔・・・ ・ してほしい ・してほしくない
レントゲン写真・ ・ 必要なら撮ってもよい ・ 治療上、必要でも撮られたくない
交通手段について
・ 徒歩 分 ・ 自転車 分 ・ バイク 分 ・ 車 分 ・ 電車 分
その他、うけたまわっておく事はありますか。

インビザラインで失敗した23歳女性

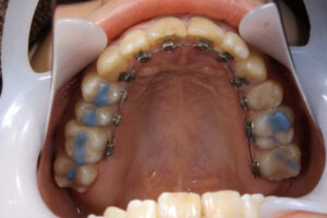
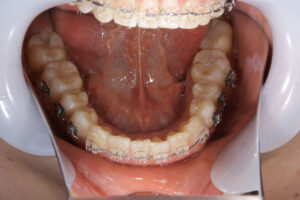
Invisalign wire orthodontics half-lingual
初診時に奥歯が噛んでいない
健康カルテ
あなたの、健康状態を正確に教えて下さい。
✽ 体とお口は親密に関係しており、下記の質問は重要な資料となります。
✽ 健康状態によっては、処置できない治療(抜歯など)もあります。
✽ 歯科で使用する薬品・飲み薬など、他のお薬と併用されますと大変危険な物もあります。
ご家族で何か大きな病気・手術等された方はおられますか ? はい ・ いいえ
( )
ご自身で過去にかかった病気・手術等はありますか ? はい ・ いいえ
( )
現在のお身体の状態はいかがですか?(○をお付け下さい)
健康である ・ 体調が良くない
現在( 内科 / 外科 / その他 ) 治療中
投薬( 無 / 有 服用中のお薬名: )
かかりつけの病院名( ) 連絡先(☎ )
( ) (☎ )
現在、治療中 又は 疑いがある病気はありますか?(○をお付け下さい)
はい ・ いいえ
ウイルス性疾患・・・ 肝炎( A型・B型・C型 ) ・ HIV
心疾患 ・・・ 心筋梗塞 ・ 狭心症
脳疾患 ・・・ 脳梗塞 ・ 脳卒中
アレルギー ・・・ 薬 (飲めない薬: )
食物( )
その他 ・・・ 糖尿病( )・高血圧/上( )~下( )
貧血症・胃腸障害・血友病・紫斑病
血がとまりにくい(歯を抜いたりケガをした時)
ますい注射のアレルギー(じんましんが出る・気分が悪くなる)
~女性の方~ 妊娠中 ヶ月・授乳中( 年 月 日現在)
上記以外で、うけたまわっておく事はありますか?

インビザラインで失敗した23歳女性

half-lingual

Invisalign wire orthodontics
コミュニケーション
Q1.数ある医院の中で当院をお選びになった理由は何ですか?
HP orリーフレットの場合→ どのような医院だと思われましたか?
紹介の場合→ 当院の事をどのようにおっしゃっていましたか?
Q2.今まで通院されていた医院での不満や怒り、また決してして欲しくないことは?
Q3.今、お口の中について、どのようなことでお悩みですか?
⇒(痛みが主訴の場合)「痛み」以外で困っている、悩んでいる、気になっている
ことはありますか?
⇒では、あなたにとって、理想のお口の状態とはどのようなものですか?
Q4.お口を理想の状態に近づける第一歩として、何を望まれますか?(優先順に)
- 2.
Q5.あなたが当院に望まれることはなんでしょうか?(痛み以外で)

wire orthodontics half-lingual
ワイヤー矯正で全体の歯が噛んでいる
大阪市北区曽根崎新1-4-20桜橋IMビル4F
かわさと歯科・矯正歯科
日本歯周病学会専門医・指導医
院長 川里 邦夫
インビザライン矯正 vs ワイヤー矯正:比較表
| 項目 | インビザライン | ワイヤー矯正 |
|---|---|---|
| 見た目 | ほぼ透明で目立たない | 金属またはセラミックの装置が見える |
| 取り外し | 自分で取り外し可能 | 取り外し不可 |
| 痛み | 比較的少ない | 調整後に痛みが出やすい |
| 清掃・衛生 | 装置を外して歯磨きでき、清潔に保ちやすい | 歯磨きが難しく、虫歯・歯周病リスクがやや高い |
| 食事制限 | 基本的に制限なし(外して食事) | 固いもの・粘着質は避ける必要あり |
| 適応範囲 | 軽度〜中等度の不正咬合に強い。難症例には工夫が必要 | ほぼすべての症例に対応可能 |
| 通院頻度 | 約1〜3ヶ月に1回 | 3〜6週間に1回 |
| 治療期間 | ワイヤーと同程度(症例による) | 症例によるが一般的な基準 |
| 費用 | やや高め(目安:80〜110万円前後) | 幅広い(60〜100万円程度が一般的) |
| 患者の協力度 | 装着時間(1日20〜22時間)が必須 | 協力度に左右されにくい |
それぞれのメリット&デメリット
■ インビザラインのメリット
-
目立ちにくい
-
食事や歯磨き時に外せてストレスが少ない
-
金属アレルギーの心配がない
-
痛みが比較的少ない
デメリット
-
装着時間を守れないと治療が進まない
-
複雑な歯の移動(歯のねじれ・大きな移動)は苦手なことも
-
紛失リスクがある
■ ワイヤー矯正のメリット
-
幅広い症例に対応できる(重度の不正咬合も可)
-
治療の予測性が高い
-
患者の協力度に左右されにくい
デメリット
-
見た目が気になる
-
歯磨きがしづらく虫歯リスクが上がる
-
調整後の痛みや口内の傷が出やすい
-
食事の制限がある
どっちがおすすめ?
インビザラインが向いている人
-
なるべく目立たずに矯正したい
-
食事や歯磨きのストレスを減らしたい
-
軽〜中等度の歯並びの改善
-
自分で装置管理(装着時間)を守れる
ワイヤー矯正が向いている人
-
難度の高い歯並び・噛み合わせの問題がある
-
装置をつけっぱなしの方が楽
-
費用を少し抑えたい
-
確実性と治療のコントロール重視
あなたにとって最適なのは?
もしよければ、以下を教えていただければ、より個別に最適な矯正方法を提案できます。
-
歯並びで気になっている部分(例:前歯のガタガタ、出っ歯、受け口 など)
-
年齢
-
装置の見た目の気になり具合
-
治療にかけたい期間や予算
気軽に教えてくださいね!
