打撲した上の前歯をインプラントにしたい56歳女性
2026年4月29日
打撲した上の前歯をインプラントにしたい56歳女性
H20.11.4
大阪市平野区
56歳女性

打撲した上の前歯をインプラントに
診療申込書
女 27年 5月 29日生( 56才) O
ふりがな NO.
住所 〠 ―
自宅電話 ( ) ― 携帯電話 ― ― E-mail
勤務先 電話 ( ) ―
● おそれいりますが、次の事に○でかこんで下さい。記入欄は、詳しくお答え下さい。
当院は初めてですか はい ・ いいえ
ご紹介者があれば 氏名 様
当医院をお知りになったのは
・ 知人の紹介 ・ 家族が来ていた ・ 医院の看板 ・ 駅の看板
・ タウンページ ・ リーフレット ・ ホームページ ・ 雑誌
・ 通りがかり ・ その他 ( 娘の紹介 )
来院された理由(主訴)
・ 歯の痛み ( 噛んだ時 / 冷痛 / 温痛 / 親知らず ) ・ 詰め物がとれた ・ 歯の色
・ 物がはさまる ・ 歯肉が腫れた ・ 歯肉の出血 ・ 歯石 ・ 口臭 ・ 検診
・ インプラント ・ 入れ歯 ・ 歯列矯正 ・ 顎が痛む
・ 他の歯科で治らないので( ヶ月前 )
・ その他 ( 歯科医院に先週2件回った perio中期と診断された 痛みなし )
治療について
今回の治療目的は・・・ ・ 応急処置のみ ・ 問題のある所は全て治療
説明・・・ ・ 詳しく説明が聞きたい ・ 希望する場所のみの説明でよい
費用・・・ ・ 保険の範囲で治療したい ・ 必要があれば多少の費用がかかってもよい
時間・期間・・ ・ いつでも良い ・( )曜日が都合良い 午前中・午後
・ 年 月 日 までに終わってほしい
麻酔・・・ ・ してほしい ・してほしくない
レントゲン写真・ ・ 必要なら撮ってもよい ・ 治療上、必要でも撮られたくない
交通手段について
・ 徒歩 分 ・ 自転車 分 ・ バイク 分 ・ 車 分 ・ 電車 50分
その他、うけたまわっておく事はありますか。

打撲した上の前歯をインプラントに

Immediate implant placement after tooth extraction delayed implant placement
健康カルテ
あなたの、健康状態を正確に教えて下さい。
✽ 体とお口は親密に関係しており、下記の質問は重要な資料となります。
✽ 健康状態によっては、処置できない治療(抜歯など)もあります。
✽ 歯科で使用する薬品・飲み薬など、他のお薬と併用されますと大変危険な物もあります。
ご家族で何か大きな病気・手術等された方はおられますか ? はい ・ いいえ
( )
ご自身で過去にかかった病気・手術等はありますか ? はい ・ いいえ
( )
現在のお身体の状態はいかがですか?(○をお付け下さい)
健康である ・ 体調が良くない
現在( 内科 / 外科 / その他 ) 治療中
投薬( 無 / 有 服用中のお薬名: )
かかりつけの病院名( ) 連絡先(☎ )
( ) (☎ )
現在、治療中 又は 疑いがある病気はありますか?(○をお付け下さい)
はい ・ いいえ
ウイルス性疾患・・・ 肝炎( A型・B型・C型 ) ・ HIV
心疾患 ・・・ 心筋梗塞 ・ 狭心症
脳疾患 ・・・ 脳梗塞 ・ 脳卒中
アレルギー ・・・ 薬 (飲めない薬: )
食物( )
その他 ・・・ 糖尿病( )・高血圧/上( )~下( )
貧血症・胃腸障害・血友病・紫斑病
血がとまりにくい(歯を抜いたりケガをした時)
ますい注射のアレルギー(じんましんが出る・気分が悪くなる)
~女性の方~ 妊娠中 ヶ月・授乳中( 年 月 日現在)
上記以外で、うけたまわっておく事はありますか?

打撲した上の前歯をインプラントに
コミュニケーション
Q1.数ある医院の中で当院をお選びになった理由は何ですか?
HP orリーフレットの場合→ どのような医院だと思われましたか?
紹介の場合→ 当院の事をどのようにおっしゃっていましたか?
ネットのムービー 実績 設備
インプラントの経歴
Q2.今まで通院されていた医院での不満や怒り、また決してして欲しくないことは?
説明不足 他の医院を回って機械が古いと思った
前と所は昔から行ってた
Q3.今、お口の中について、どのようなことでお悩みですか?
⇒(痛みが主訴の場合)「痛み」以外で困っている、悩んでいる、気になっている
ことはありますか?
上の前歯の差し歯は小学生の頃直した
8〜10年前にやりかえたが、また気になってきた
左下奥歯は別の医院で直したが、変な感じがする
⇒では、あなたにとって、理想のお口の状態とはどのようなものですか?
ネバネバ感、歯が臭い、最近舌まで変な気がする
Q4.お口を理想の状態に近づける第一歩として、何を望まれますか?(優先順に)
- 健康な状態に 2. 前歯は見た目
Q5.あなたが当院に望まれることはなんでしょうか?(痛み以外で)
必要であればインプラント

打撲した上の前歯をインプラントに

Immediate implant placement after tooth extraction; delayed implant placement

打撲した上の前歯をインプラントに

implant

Immediate implant placement after tooth extraction

delayed implant

delayed implant placement
- 治療名
- インプラント
- 費用
- 1,262,100円(税込み)
内:オールセラミック1本/120,000円、インプラント1本/350,000円、 - 治療期間
- 2年
- 通院頻度
- 1ヵ月 2~3回
- そのほか患者様情報
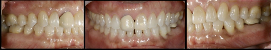
- 56歳・女性
初診日 2008. 11. 8( 15年経過症例 )

打撲した上の前歯をインプラントに
治療内容
-
患者様の症状
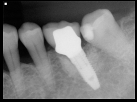
- 8〜10年前から他の歯科医院にて治療を受けたが、見た目が良くない・噛めないとのことで再治療を希望された。アングルクラスⅠであった。右上前歯は小学生ののろ打撲。左下奥歯は歯根破折。
-
治療法
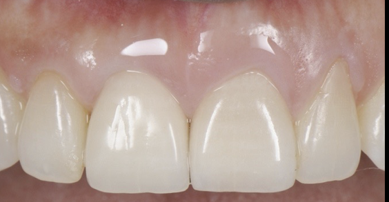
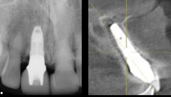
- 上顎右側前歯にインプラントを1本抜歯即時に埋入し、
- オールセラミックにて被せ物を行なった。
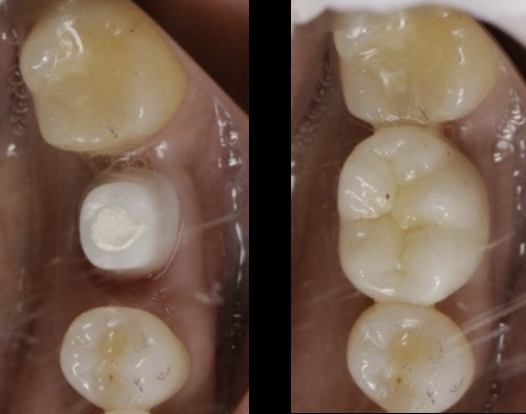
- 下顎左側臼歯に1本のインプラントを待時に埋入し、オールセラミッククランにて被せ物を行なった。
-
治療結果
- 審美的な仕上がりで、患者自身も満足した。15年経過し良好である。
現在は2〜3ヶ月おきのメインテナンス中である。
※治療結果は患者様によって個人差があります。
治療を行う上での 注意点 (リスク・副作用)
オールセラミックには欠け易いといったリスクがあるためナイトガードは必須である。
インプラントの周囲は特に清掃が重要である。
そのほか
ナイトガードは必須である。
大阪市北区曽根崎新1-4-20桜橋IMビル4F
かわさと歯科・矯正歯科
日本歯周病学会専門医・指導医
院長 川里 邦夫
