入れ歯からインプラントにしたい50代女性
2026年4月26日
入れ歯からインプラントにしたい50代女性
H27.11.
54歳女性
大阪市西区

入れ歯からインプラントにしたい50代女性
診療申込書
女 36年 2月 25日生( 54才) B
ふりがな NO.
住所 〠 ―
自宅電話 ( ) ― 携帯電話 ― ― E-mail
勤務先 電話 ( ) ―
● おそれいりますが、次の事に○でかこんで下さい。記入欄は、詳しくお答え下さい。
当院は初めてですか はい ・ いいえ
ご紹介者があれば 氏名 様
当医院をお知りになったのは
・ 知人の紹介 ・ 家族が来ていた ・ 医院の看板 ・ 駅の看板
・ タウンページ ・ リーフレット ・ ホームページ ・ 雑誌
・ 通りがかり ・ その他 ( )
来院された理由(主訴)
・ 歯の痛み ( 噛んだ時 / 冷痛 / 温痛 / 親知らず ) ・ 詰め物がとれた ・ 歯の色
・ 物がはさまる ・ 歯肉が腫れた ・ 歯肉の出血 ・ 歯石 ・ 口臭 ・ 検診
・ インプラント ・ 入れ歯 ・ 歯列矯正 ・ 顎が痛む
・ 他の歯科で治らないので( ヶ月前 )
・ その他 ( インプラントができるのか 昔無理と言われた
入れ歯からインプラントにできるのか 将来的にどうなるのか 費用 )
治療について
今回の治療目的は・・・ ・ 応急処置のみ ・ 問題のある所は全て治療
説明・・・ ・ 詳しく説明が聞きたい ・ 希望する場所のみの説明でよい
費用・・・ ・ 保険の範囲で治療したい ・ 必要があれば多少の費用がかかってもよい
時間・期間・・ ・ いつでも良い ・( )曜日が都合良い 午前中・午後
・ 年 月 日 までに終わってほしい
麻酔・・・ ・ してほしい ・してほしくない
レントゲン写真・ ・ 必要なら撮ってもよい ・ 治療上、必要でも撮られたくない
交通手段について
・ 徒歩 分 ・ 自転車 分 ・ バイク 分 ・ 車 分 ・ 電車 30分
その他、うけたまわっておく事はありますか。
構造設計の入れ歯についても少し教わりたい

入れ歯からインプラントにしたい50代女性

入れ歯からインプラントにしたい50代女性

入れ歯からインプラントにしたい50代女性
健康カルテ
あなたの、健康状態を正確に教えて下さい。
✽ 体とお口は親密に関係しており、下記の質問は重要な資料となります。
✽ 健康状態によっては、処置できない治療(抜歯など)もあります。
✽ 歯科で使用する薬品・飲み薬など、他のお薬と併用されますと大変危険な物もあります。
ご家族で何か大きな病気・手術等された方はおられますか ? はい ・ いいえ
( 大腸がん )
ご自身で過去にかかった病気・手術等はありますか ? はい ・ いいえ
( リュウマチ 卵巣嚢腫 )
現在のお身体の状態はいかがですか?(○をお付け下さい)
健康である ・ 体調が良くない
現在( 内科 / 外科 / その他 ) 治療中
投薬( 無 / 有 服用中のお薬名: )
かかりつけの病院名( ) 連絡先(☎ )
( ) (☎ )
現在、治療中 又は 疑いがある病気はありますか?(○をお付け下さい)
はい ・ いいえ
ウイルス性疾患・・・ 肝炎( A型・B型・C型 ) ・ HIV
心疾患 ・・・ 心筋梗塞 ・ 狭心症
脳疾患 ・・・ 脳梗塞 ・ 脳卒中
アレルギー ・・・ 薬 (飲めない薬: )
食物( )
その他 ・・・ 糖尿病( )・高血圧/上( 130 )~下( 75 )
貧血症・胃腸障害・血友病・紫斑病
血がとまりにくい(歯を抜いたりケガをした時)
ますい注射のアレルギー(じんましんが出る・気分が悪くなる)
~女性の方~ 妊娠中 ヶ月・授乳中( 年 月 日現在)
上記以外で、うけたまわっておく事はありますか?

入れ歯からインプラントにしたい50代女性

入れ歯からインプラントにしたい50代女性
コミュニケーション
Q1.数ある医院の中で当院をお選びになった理由は何ですか?
HP orリーフレットの場合→ どのような医院だと思われましたか?
紹介の場合→ 当院の事をどのようにおっしゃっていましたか?
インプラントについて詳しく知りたかった
また、そのほかの選択肢を教えてもらえそうだったので
Q2.今まで通院されていた医院での不満や怒り、また決してして欲しくないことは?
Q3.今、お口の中について、どのようなことでお悩みですか?
⇒(痛みが主訴の場合)「痛み」以外で困っている、悩んでいる、気になっている
ことはありますか?
入れ歯をしていますが噛み合わせと話しずらい
⇒では、あなたにとって、理想のお口の状態とはどのようなものですか?
上に書いたことがよくなること
Q4.お口を理想の状態に近づける第一歩として、何を望まれますか?(優先順に)
- 2.
Q5.あなたが当院に望まれることはなんでしょうか?(痛み以外で)
一番良い方方法えを教えてください

入れ歯からインプラントにしたい50代女性

入れ歯からインプラントにしたい50代女性


入れ歯からインプラントにしたい50代女性

入れ歯からインプラントにしたい50代女性

入れ歯からインプラントにしたい50代女性
- 治療名
- インプラント
- 費用
- 7,011,360円(税込み)
内:オールセラミック1本/120,000円、インプラント1本/350,000円、矯正720,000円 - 治療期間
- 3年
- 通院頻度
- 1ヵ月 2~3回
- そのほか患者様情報
- 54歳・女性
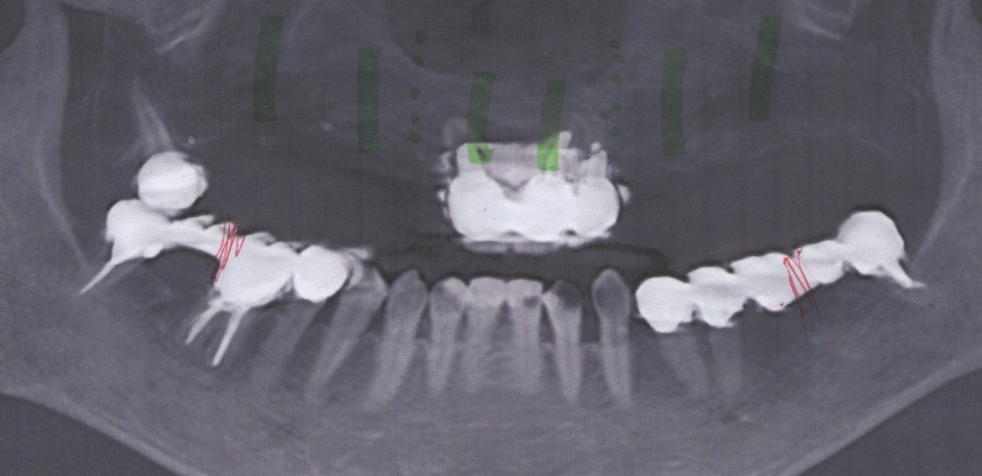
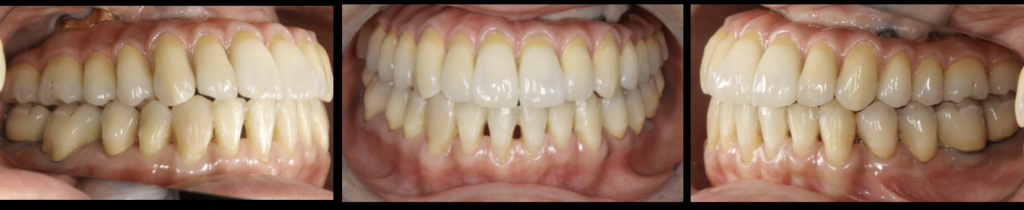
初診日 2016. 11. 12( 9年経過症例 )
治療内容
-
患者様の症状
- 10年前から他の歯科医院にて入れ歯治療を受けたが、見た目が良くない・噛めないと・喋りにくいとのことで再治療を希望された。アングルクラスⅢであった。左右上奥歯がない。
-
治療法
- 上顎左右側にインプラントを8本し、
- 入れ歯+オールセラミックのボーンアンカーブリッジにて被せ物を行なった。
- 下顎臼歯に3本のインプラントを入れ、オールセラミッククランにて被せ物を行なった。
-
治療結果
- 審美的な仕上がりで、患者自身も満足した。9年経過し良好である。
現在は2〜3ヶ月おきのメインテナンス中である。
※治療結果は患者様によって個人差があります。
治療を行う上での 注意点 (リスク・副作用)
オールセラミックには欠け易いといったリスクがあるためナイトガードは必須である。
インプラントの周囲は特に清掃が重要である。
そのほか
ナイトガードは必須である。
大阪市北区曽根崎新1-4-20桜橋IMビル4F
かわさと歯科・矯正歯科
日本歯周病学会専門医・指導医
院長 川里 邦夫
