歯肉のラインを揃えたい
2026年2月19日
歯肉のラインを揃えたい
大阪府枚方市
39歳女性
R1.11.11.

Gum level
治療方針
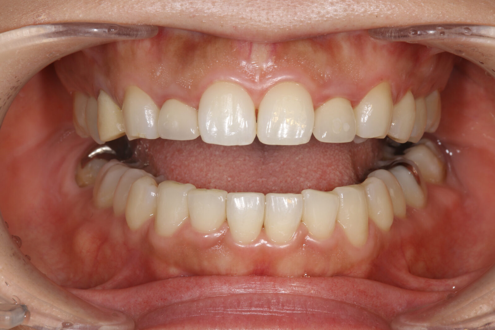
矯正治療を行なったにも関わらず、上顎左右側の側切歯の歯肉ラインが揃っていません。
上顎左右側の側切歯の補綴装置が矯正治療以前のままです。
矯正前に補綴装置のやり直しを前提に矯正を行うべきと考えます。
補綴装置のやり直しなしで歯肉ラインを揃えるには、上顎左右側の側切歯を圧下することになります。
しかし、切端は揃わなくなります。つまり、短い歯になってしまいます。
結局、歯の圧下を行い歯肉ラインを揃えて、補綴のやり直しを行う治療が必要でした。
この患者さんの場合は、余った上顎左右側の側切歯の歯肉を除去することで対応します。
やる必要のなかった歯周外科を行う結果となりました。
診療申込書
女 55年 8月 15日生( 39才) O 型
ふりがな NO.
住所 〠 ―
自宅電話 ( ) ― 携帯電話 ― ― E-mail
勤務先 電話 ( ) ―
● おそれいりますが、次の事に○でかこんで下さい。記入欄は、詳しくお答え下さい。
当院は初めてですか はい ・ いいえ
ご紹介者があれば 氏名 様
当医院をお知りになったのは
・ 知人の紹介 ・ 家族が来ていた ・ 医院の看板 ・ 駅の看板
・ タウンページ ・ リーフレット ・ ホームページ ・ 雑誌
・ 通りがかり ・ その他 ( 詳しく話が聞けそうだったから 大阪 審美 スマフォ ヤフー )
来院された理由(主訴)
・ 歯の痛み ( 噛んだ時 / 冷痛 / 温痛 / 親知らず ) ・ 詰め物がとれた ・ 歯の色
・ 物がはさまる ・ 歯肉が腫れた ・ 歯肉の出血 ・ 歯石 ・ 口臭 ・ 検診
・ インプラント ・ 入れ歯 ・ 歯列矯正 ・ 顎が痛む
・ 他の歯科で治らないので( ヶ月前 )
・ その他 ( 上の前歯の歯肉ラインを揃えたい セカンドオピニオン )
治療について
今回の治療目的は・・・ ・ 応急処置のみ ・ 問題のある所は全て治療
説明・・・ ・ 詳しく説明が聞きたい ・ 希望する場所のみの説明でよい
費用・・・ ・ 保険の範囲で治療したい ・ 必要があれば多少の費用がかかってもよい
時間・期間・・ ・ いつでも良い ・( )曜日が都合良い 午前中・午後
・ 年 月 日 までに終わってほしい
麻酔・・・ ・ してほしい ・してほしくない
レントゲン写真・ ・ 必要なら撮ってもよい ・ 治療上、必要でも撮られたくない
交通手段について
・ 徒歩 分 ・ 自転車 分 ・ バイク 分 ・ 車 分 ・ 電車 30分
その他、うけたまわっておく事はありますか。

歯肉のラインを揃えたい
健康カルテ
あなたの、健康状態を正確に教えて下さい。
✽ 体とお口は親密に関係しており、下記の質問は重要な資料となります。
✽ 健康状態によっては、処置できない治療(抜歯など)もあります。
✽ 歯科で使用する薬品・飲み薬など、他のお薬と併用されますと大変危険な物もあります。
ご家族で何か大きな病気・手術等された方はおられますか ? はい ・ いいえ
( 父 心筋梗塞 )
ご自身で過去にかかった病気・手術等はありますか ? はい ・ いいえ
( 胆嚢摘出術 )
現在のお身体の状態はいかがですか?(○をお付け下さい)
健康である ・ 体調が良くない
現在( 内科 / 外科 / その他 ) 治療中
投薬( 無 / 有 服用中のお薬名: )
かかりつけの病院名( 関西医大 ) 連絡先(☎ )
( ) (☎ )
現在、治療中 又は 疑いがある病気はありますか?(○をお付け下さい)
はい ・ いいえ
ウイルス性疾患・・・ 肝炎( A型・B型・C型 ) ・ HIV
心疾患 ・・・ 心筋梗塞 ・ 狭心症
脳疾患 ・・・ 脳梗塞 ・ 脳卒中
アレルギー ・・・ 薬 (飲めない薬: )
食物( )
その他 ・・・ 糖尿病( )・高血圧/上( )~下( )
貧血症・胃腸障害・血友病・紫斑病
血がとまりにくい(歯を抜いたりケガをした時)
ますい注射のアレルギー(じんましんが出る・気分が悪くなる)
~女性の方~ 妊娠中 ヶ月・授乳中( 年 月 日現在)
上記以外で、うけたまわっておく事はありますか?
歯列矯正後 2018.2.~2019.4.

歯肉のラインを揃えたい
コミュニケーション
Q1.数ある医院の中で当院をお選びになった理由は何ですか?
HP orリーフレットの場合→ どのような医院だと思われましたか?
紹介の場合→ 当院の事をどのようにおっしゃっていましたか?
審美領域を専門にされている
経験が豊富
説明が丁寧
Q2.今まで通院されていた医院での不満や怒り、また決してして欲しくないことは?
治療に対する説明
治療後の状態のシュミレーションを示していただきたいです
Q3.今、お口の中について、どのようなことでお悩みですか?
⇒(痛みが主訴の場合)「痛み」以外で困っている、悩んでいる、気になっている
ことはありますか?
歯列矯正後、現在保定期間中
前歯両2番目のセラミック治療
歯肉ラインの修正
⇒では、あなたにとって、理想のお口の状態とはどのようなものですか?
歯並びの良さはステイタスと考えている
白く整った歯が理想的です
Q4.お口を理想の状態に近づける第一歩として、何を望まれますか?(優先順に)
- セラミックのやりかえ 歯肉ラインの修正 2. ホワイトニング
Q5.あなたが当院に望まれることはなんでしょうか?(痛み以外で)
歯肉ラインの修正が可能かどうか教えていただきたいです

歯肉のラインを揃えたい
-
治療名
-
ラミネートベニア・オールセラミッククラウン
-
- 費用
- 1.265.000円(税込み)
内: オールセラミッククラウン 1本/120,000円 - ラミネートベニア 1本120.000円
- 治療期間
- 半年
- 通院頻度
- 1ヵ月 2~3回
- そのほか患者様情報
- 39歳・女性
初診日 2019.11. ( 6年経過症例 )
治療内容
-
患者様の症状
- 他の歯科医院にて矯正治療を施術されたが、見た目が良くない・歯肉レベルが揃ってないとのことで治療を希望された。知り合いに当医院を勧められ来院した。
-
治療法
- 歯周外科の後、上顎前歯3本のラミネートベニア、4本のオールセラミッククラウンを装着した。
-
治療結果
審美的な仕上がりで、患者自身も満足した。6年経過し良好である。
- 現在は2〜3ヶ月おきのメインテナンス中である。
※治療結果は患者様によって個人差があります。
治療を行う上での 注意点 (リスク・副作用)
セラミックは欠け易いといったリスクがあるためナイトガードは必須である。

歯肉のラインを揃えたい

Periodontal surgery

Gum level Periodontal surgery Ceramic
大阪市北区曽根崎新1-4-20桜橋IMビル4F
かわさと歯科・矯正歯科
日本歯周病学会専門医・指導医
日本顎咬合学会指導医
日本歯科審美学会認定医
日本臨床歯科学会(SJCD)認定医
臨床歯周病学会認定医・歯周インプランント認定医
院長 川里 邦夫
上の前歯の歯肉ラインを整える方法について
歯肉ラインを整える方法にはいくつかの選択肢があります。
具体的な方法は、歯肉の状態や希望する仕上がり、健康状態によって異なりますので、
歯科医師の診断を受けることをお勧めします。
一般的な方法は以下の通りです。
- 歯肉整形(歯肉形成術)
歯肉の余分な部分を切除したり、形を整えたりする手術です。局所麻酔下で行われ、歯肉ラインを均一に整えることができます。 - コンタクトレンズ型の歯肉形成
透明なシリコンや特殊な材料を用いて、歯肉のラインを調整する方法もあります。 - 歯の矯正やホワイトニングと併用
歯の位置や色調を整えることで、歯肉ラインの見た目も改善される場合があります。 - 定期的なメンテナンスと口腔ケア
歯肉の健康を保つために、定期的な歯科検診と適切な口腔ケアも重要です。
これらの方法は、歯科医師の診断と相談の上で最適な治療計画を立てることが必要です。
ご心配な点や具体的な希望があれば、歯科医院で専門的なアドバイスを受けることをお勧めします。
何か他にご質問があれば、お気軽にお知らせください。
