インターナルブリーチ
2026年2月17日
インターナルブリーチ法によって色調改善を図った歯内治療後の変色歯症例
川里 邦夫
Serendipity かわさと歯科
A case report of endodontically discolored teeth by internal bleach
KAWASATO Kunio
Serendipity kawasato dental office
キーワード:endodontically discolored teeth(歯内治療後の変色歯), internal bleach(インターナルブ
リーチ), Opalescence BOOST (オパールエッセンスブースト)
緒言
日常臨床において, 歯の変色を主訴とする症例は多い. 近年は, 白い歯への社会的ニーズ
が, 老若男女を問わず日増しに増加の傾向にある. 歯の変色にはさまざまな原因があるが,
飲食物などの外来物質による外因性, 薬剤あるいは代謝異常によって生じる内因性の両者
に分類されている. 特に歯内治療を受けた歯は, その後の時間経過とともに次第に変色す
ることが多く, ホワイトニング治療によって改善を図ることが頻繁に行われている. ただ
し, 以前からよく行われていて, 最も信頼できる過ホウ酸ナトリウムと過酸化水素水によ
るウォーキングブリーチ法は, 外部性歯根吸収や歯冠破折の危険性も伴っている.
その危険性を避けるため, 本稿では、歯内処置後の変色に対し, 過酸化水素を有効成分と
するオパールエッセンスブースト(ULTRADENT 社)を用いたインターナルブリーチ法を
施した症例について報告する. なお, 口腔内写真を掲載して症例報告を行うことについて
は, 患者本人からの同意を得ている.
症例
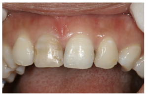
本報告はヘルシンンキ宣言を順守し, 行った. 初診から治療終了時までの顔面写真, 口腔 内写真, エックス線写真等の資料, ならびに各種診察結果, 分析結果, 診断結果, 治療方針, 治療経過等を記した書類を本症例報告に使用することを患者本人に説明し, 論文に掲載す る承諾を得た. 患者:24 歳3 カ月, 女性. 主訴:1 本だけ色の異なる歯があるので, 白くしたい. 既往歴:局所麻酔の異常なし, 全身疾患, 服薬などの, その他の特記事項なし. 現病歴:11 歯は約7 年前に, 一過性の冷水痛を覚え他院を受診した. 齲蝕症との診断によ り, コンポジットレジン修復を受けた. その後問題なく経過していたが, 約4 年前 に自発痛が生じ, その後, 次第に色が変わり気になってきたという. 現症:11 歯は歯冠全体が一様に変色し, 近遠心に3 級コンポジットレジン修復が施されて いたが, 修復物辺縁に褐線が認められた(図1). VITA classical シェードガイド (VITA)による視感比色法ではA3 よりも彩度が高かった(図2). 嗜好品としては, 喫 煙はないがコーヒーを1 日当たり2~3 杯程度飲んでいるという. エックス線検査で は根管充填状態は良好で, 根尖部の異常は認められなかった(図3).
診断名:歯内治療後の変色歯

図1 初診時の口腔内写真
24 歳 女性

図2 視感比色法による
シェードテイキング(A3)

図3 初診時の
エックス線写真
1. インフォームドコンセントの獲得
初めに, 歯内治療後の変色の原因について説明した. 次いで, 前歯の色調改善が可能な治 療方法の説明を行った. すなわち, 歯の漂白, マニキュア法, ラミネートベニア修復, 全部 被覆冠装着などである. おのおのの治療法について長所・短所を含め説明したところ, なる べく歯を削りたくないという本人の希望があり, インターナルブリーチ法を奨めた. そして, 生体や変色原因により漂白効果には個人差があること, 漂白効果が恒久的でな いこと(漂白の後戻り), また漂白後の歯の色が満足のできる状態にならない場合あること (漂白効果の限界)を説明し, 了承を得られたので処置を行った.
2. 治療方針
初診時に引き継き,口腔内写真の撮影, 研究用模型の印象採得, 歯周組織検査, エック ス線撮影を行った. 次回来院時に各検査結果を説明し, 再度の相談により, 口腔清掃指導, PMTC の後にオパールエッセンスブースト(ULTRADENT 社)を用いたインターナルブリー チ法を行い, コンポジットレジン再修復を行うことを治療計画として決定した.
3.処置内容
1)初回~4回目
歯科衛生士とともに口腔清掃指導およびPMTC を開始した. 口腔清掃指導は, 通法のブ
ラッシング指導およびデンタルフロス等の指導を中心に行った. また, 歯面に対しては歯
石除去だけでなく, 歯冠表層のコーヒー由来と考えられるステイン除去に留意した.
2)5回目
今回よりインターナルブリーチ法を開始した. 初めに, 術前処置として歯肉および口唇
へのワセリン塗布を行った後に, 舌側よりアプローチを行い, ダイヤモンドポイント装着
のエアータービンを用いて充填物の除去により歯髄腔開拡を行った. その際には, ペリオ
プローブを併用して, 歯肉縁下約2mmを目安として根管充填材および根管充填用セメント
を除去した. これは, 解剖学的歯頸線までを確実に漂白することを目的としたものである.
その後, 根管内洗浄, ペーパーポイントによる乾燥を行い, 漂白剤の漏出防止のためにレ
ジン添加型グラスアイオノマーセメントによる裏層を行った. この際にはプローブを併用
して, 象牙細管の走行を考慮し, セメントエナメルジャンクションと同等の高さまで象牙
質および根管充填材を裏層するように留意した.
そして裏層材硬化を確認した後に, オパールダム(歯肉保護レジン)を使用し, 唇側と口
蓋側の辺縁歯肉を保護し, 本法における漂白剤であるオパールエッセンスブースト(35%過
酸化水素水とpH 調整材)を混合し, 根管内象牙質壁と唇側歯面に塗布した(図4). 塗布後5
分間静置し, 3分間光照射器を用いて光照射を行い, そのまま2分間静置した. 続いて,付
属のバキュームアダプターとチップを用いてオパールエッセンスブーストを吸引・除去し,
根管内象牙質壁と唇側歯面を洗浄・乾燥させ, 再度同じ手順を繰り返した(最大3回まで).
施術後, 洗浄し歯肉保護レジンを除去し, 非ユージノール系修復材(BASE CEMENT
WHITE, 松風)で暫間充填をし,口蓋側の咬合調整を行い終了した.
3)6~7回目
来院までの不快症状発現の有無などを確認した後に, 暫間充填材除去, 根管洗浄, 新規漂
白剤の再塗布, 再暫間充填を行った. なお, 一度混和したジェルは10日間保管できるため,
その間に再度の漂白を行った.
4)8日目
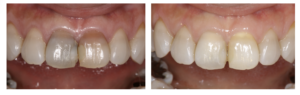
患者自身の色調改善による満足が得られたため, 合計3日で漂白処置を終了し, 漂白後
の処置に移行した. 初めにシェードガイドによる色調確認と口腔内写真撮影を行った. 暫
間充填材除去,, 根管洗浄を行った後に, 最終修復処置に移行した. 歯髄腔開拡を行った口
蓋側コンポジットレジン修復(PREMISE BODY A2, Kerr)を行った. 次いで, 変色および
褐線が認められた近遠心に3 級コンポジットレジン修復を除去し, 再修復物を施した(図5)。
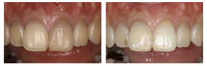
5)漂白終了3年経過後
後戻りは認められず, 患者本人の満足度も高かった.

図4 術中の口腔内写真

図5 術後の口腔内写真
考察
歯内処置後の変色は古来より知られてはいたが, その対応法として最初に次亜塩素酸塩 を用いたのが19 世紀中頃で, その後過ホウ酸ナトリウムの採用を経て, 高濃度過酸化水素 水を用いたウォーキングブリーチ法が確立されたのは1960 年代に入ってからのことである. 以来, 適切な術式を順守すれば確実な結果を得られる漂白法として、周知されるとともに頻 用されている. 過酸化水素は無色・粘性が高い液体からなる酸化剤で, 使用用途は漂白剤、消毒剤, ロケ ットの燃料などに用いられている. 低濃度(2.5~3.5%)過酸化水素水はオキシドールとし て消毒剤に使用される. 過酸化水素は、光・熱・金属イオンに接することにより急激に分解 され, ヒドロキシラジカルあるいはヒドロキシペルオキシラジカル(不対電子)を生じる. この過酸化水素が分解して発生したラジカルは, 極性がきわめて強く不安定な不対電子を もち, 着色分子の不飽和二重結合を切断することにより, より低分子の物質となる. ホワイ トニングの原理は, 歯の着色分子となる有色の物質の二重結合部分を, フリーラジカルが 酸化・分解することで無色の物質にすることである. 高濃度過酸化水素水から発生するフリ ーラジカルが, エナメル質の表層に効果を発揮し, エナメル質におる有機質成分に富んだ エナメル葉やエナメル叢を通して, ホワイトニング材が浸透・拡散を促進させている可能性 も考えられている. その適切な術式に関して, Dietschi は残存組織有機物, 根管充填用セメントなどの完全な 除去を第一に挙げている. そして, 通法の臨床術式として、根管充填物を歯肉縁下 1.5~2.0mm まで除去することを推奨している. 歯内処置あるいは失活歯における変色は, 歯髄腔内の歯髄残余物が原因であり, その不十分な除去がインターナルブリーチ法におけ る後戻りの要因となるとされ, 徹底的な除去が必須となる. 幸い本症例においては, 術後に 明確な後戻りは認められなかったが, これは髄角部の歯髄残余物などの徹底除去に努めた ことが一因として挙げられる. 臨床においては, 象牙細管走行の方向を考慮して, 歯根外部吸収を惹起しうる根管外部へ の薬液漏出を避ける必要が常に存在している. したがって, 従来の高濃度過酸化水素水と 過ホウ酸ナトリウムの混和物でのインターナルブリーチ法ではなく, オパールエッセンス ブースト(ULTRADENT 社)を用いた方法を選択した.
結論
歯内治療後の変色歯に対し, オパールエッセンスブースト(ULTRADENT 社)を用いたイ
ンターナルブリーチ法による漂白を行った結果, 明確な色調改善が得られた. また術後の
経過も良好であった.
オパールエッセンスブースト(ULTRADENT 社)を用いたインターナルブリーチ法を施
した他の別症例についても報告する(図6~11).
本論文において, 他者との利益相反はない.

図6 22 歳女性 術前術後の口腔内写真

図7 27 歳女性 術前術後の口腔内写真

図8 29 歳女性 術前術後の口腔内写真

図9 41 歳男性 術前術後の口腔内写真

図10 41 歳女性 術前術後の口腔内写真

図11 43 歳男性 術前術後の口腔内写真
文献
1)田上順次, 千田 彰, 奈良陽一郎, 他:保存修復21, 第4 版, 永末書店, 京都, 285-294,
2008.
2) Pascal Magne, Urs Belser : Bonded porcelain restorations in the anterior dentition : A
biomimetic approach, Quintessence Publishing Co, Inc, 110-117, 2002.
3)Dwinelle W : Ninth annual meeting of american society of dental surgeons, aricle X.
American J Dent Sci. 1, 57-61, 1850.
4) Prinz H : Recent improvements in tooth bleaching. a clinical syllabus, Dent Cosmos.
66, 558-560, 1924.
5) Nutting EB, Poe GS : A new combination for bleaching teeth, J South Calif Dent
Assoc, 31, 289-291, 1963
6) 辻本恭久:漂白の原理、DE, 143, 9-12, 2002.
7) Bowles WH, Ugwnneri Z : Pulp chamber penetration by hydrogen peroxide following
vital bleaching procedures, J Endod, 13, 375-377, 1987.
8) Dietschi D : Nonvital bleaching : general considerations and report of two failure
cases, Eur J Esthet Dent, 1, 52-61, 2006.
9) Plotino G, Buono L, Grande NM, et al, : Nonvital tooth bleaching : a review of the
literature and clinical procedure, J Endod, 34, 394-407, 2008.
別刷請求先:
〒530-0002 大阪市北区曽根崎新地1-4-20 桜橋IM ビル4F
Serendipity かわさと歯科 川里 邦夫
インターナルブリーチ(内部漂白)は、歯の内部に染みついた色素や変色を改善するための歯科治療法です。
特に、歯の神経治療(根管治療)後に歯が変色した場合に効果的です。
【インターナルブリーチの流れ】
- 歯の神経治療後、歯の内部に漂白剤(通常過酸化水素や過酸化尿素)を注入します。
- 一定期間(数日から数週間)漂白剤を内部に留め、色素を分解・除去します。
- 定期的に漂白剤を交換しながら、歯の色調を改善します。
- 最後に漂白剤を除去し、歯の表面をシーリングして完了です。
【メリット】
- 歯の内部から自然な白さを取り戻せる。
- 外部からの漂白よりも効果が持続しやすい。
【注意点】
- 歯の状態や変色の原因によっては適応できない場合もあります。
- 治療には歯科医師の専門的な処置が必要です。
- 適切なケアを行わないと再変色の可能性もあります。
もしご自身の歯の変色や治療について詳しく知りたい場合は、歯科医院での診断をお勧めします。
何か他にご質問があれば、お気軽にどうぞ!
大阪市北区曽根崎新1-4-20桜橋IMビル4F
かわさと歯科・矯正歯科
院長 川里 邦夫
- 治療名
- インターナルブリーチ
- 費用
- 38000円(税込み)
- 治療期間
- 2週間
- 通院頻度
- 1ヵ月 3回
- そのほか患者様情報
- 26歳・女性
初診日 2022. 3.1.(4年経過症例)
治療内容
-
患者様の症状
- 10年前から変色していた。
-
治療法
- クリーニングの後、インターナルブリーチを行なった。
-
治療結果
- 審美的な仕上がりで、患者自身も満足した。4年経過し良好である。
現在は2〜3ヶ月おきのメインテナンス中である。
※治療結果は患者様によって個人差があります。
治療を行う上での 注意点 (リスク・副作用)
再着色といったリスクがある。ナイトガードは必須である。
そのほか
リタッチは必須である。
