ひどい受け口ですが治せますか?
2025年4月28日
ひどい受け口ですが治せますか?

ひどい受け口ですが治せますか?
R7.3.
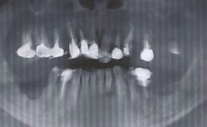
62歳男性
大阪市城東区

Underbite, crumbling teeth, orthodontics

Underbite, crumbling teeth,
診療申込書
| 年 月 日生( 才) O ・ AB
ふりがな NO. 住所 〠 ―
自宅電話 ( ) ― 携帯電話 ― ― E-mail 勤務先 電話 ( ) ― ● おそれいりますが、次の事に○でかこんで下さい。記入欄は、詳しくお答え下さい。
当院は初めてですか はい ・ いいえ ご紹介者があれば 氏名 様 当医院をお知りになったのは ・ 知人の紹介 ・ 家族が来ていた ・ 医院の看板 ・ 駅の看板 ・ タウンページ ・ リーフレット ・ ホームページ ・ 雑誌 ・ 通りがかり ・ その他 ( 歯がボロボロ 受け口 ) 来院された理由(主訴) ・ 歯の痛み ( 噛んだ時 / 冷痛 / 温痛 / 親知らず ) ・ 詰め物がとれた ・ 歯の色
・ 物がはさまる ・ 歯肉が腫れた ・ 歯肉の出血 ・ 歯石 ・ 口臭 ・ 検診
・ インプラント ・ 入れ歯 ・ 歯列矯正 ・ 顎が痛む
・ 他の歯科で治らないので( ヶ月前 )
・ その他 ( 奥歯が少なく固いものが食べにくい ) (○をお付け下さい)
治療について 今回の治療目的は・・・ ・ 応急処置のみ ・ 問題のある所は全て治療
説明・・・ ・ 詳しく説明が聞きたい ・ 希望する場所のみの説明でよい
費用・・・ ・ 保険の範囲で治療したい ・ 必要があれば多少の費用がかかってもよい
時間・期間・・ ・ いつでも良い ・( )曜日が都合良い 午前中・午後 ・ 年 月 日 までに終わってほしい
麻酔・・・ ・ してほしい ・してほしくない
レントゲン写真・ ・ 必要なら撮ってもよい できれば避けたい ・ 治療上、必要でも撮られたくない 交通手段について ・ 徒歩 分 ・ 自転車 分 ・ バイク 分 ・ 車 分 ・ 電車 30分 その他、うけたまわっておく事はありますか。 歯科の業界にm-RNAワクチンが入ってこないか?少し心配しています(麻酔などに)
~あなたが本当に必要とする歯科治療を~ |

ひどい受け口ですが治せますか?

crumbling teeth, orthodontics
咬合高径をあげれば受け口が改善される
ただし、奥歯には補綴が必要になる

Underbite, orthodontics

Underbite, orthodontics
健康カルテ
あなたの、健康状態を正確に教えて下さい。
✽ 体とお口は親密に関係しており、下記の質問は重要な資料となります。
✽ 健康状態によっては、処置できない治療(抜歯など)もあります。
✽ 歯科で使用する薬品・飲み薬など、他のお薬と併用されますと大変危険な物もあります。
ご家族で何か大きな病気・手術等された方はおられますか ? はい ・ いいえ
( 父母とも脳梗塞 )
ご自身で過去にかかった病気・手術等はありますか ? はい ・ いいえ
( 右の精巣を摘出 )
現在のお身体の状態はいかがですか?(○をお付け下さい)
健康である ・ 体調が良くない 血圧は高い?
現在( 内科 / 外科 / その他 ) 治療中
投薬( 無 / 有 服用中のお薬名: )
かかりつけの病院名( ) 連絡先(☎ )
( ) (☎ )
現在、治療中 又は 疑いがある病気はありますか?(○をお付け下さい)
はい ・ いいえ
ウイルス性疾患・・・ 肝炎( A型・B型・C型 ) ・ HIV
心疾患 ・・・ 心筋梗塞 ・ 狭心症
脳疾患 ・・・ 脳梗塞 ・ 脳卒中
アレルギー ・・・ 薬 (飲めない薬: )
食物( )
その他 ・・・ 糖尿病( )・高血圧/上( )~下( )
貧血症・胃腸障害・血友病・紫斑病
血がとまりにくい(歯を抜いたりケガをした時)
ますい注射のアレルギー(じんましんが出る・気分が悪くなる)
~女性の方~ 妊娠中 ヶ月・授乳中( 年 月 日現在)
上記以外で、うけたまわっておく事はありますか?

ひどい受け口ですが治せますか?
コミュニケーション
Q1.数ある医院の中で当院をお選びになった理由は何ですか?
HP orリーフレットの場合→ どのような医院だと思われましたか?
紹介の場合→ 当院の事をどのようにおっしゃっていましたか?
Q2.今まで通院されていた医院での不満や怒り、また決してして欲しくないことは?
Q3.今、お口の中について、どのようなことでお悩みですか?
⇒(痛みが主訴の場合)「痛み」以外で困っている、悩んでいる、気になっている
ことはありますか?
⇒では、あなたにとって、理想のお口の状態とはどのようなものですか?
Q4.お口を理想の状態に近づける第一歩として、何を望まれますか?(優先順に)
- 2.
Q5.あなたが当院に望まれることはなんでしょうか?(痛み以外で)

ひどい受け口ですが治せますか?
生活習慣問診
※ 虫歯や歯周病は生活習慣に影響されます。治療の参考に致しますので以下のお答え下さい。
氏名 記入日 年 月 日
Q1.現在の歯磨き習慣について
① ブラッシング指導を受けたことがありますか? YES ・ NO (約 年前)
② その際、歯石をとりましたか? YES ・ NO
③ いつ歯磨きをしますか? 朝(毎日・時々・磨かない)
昼(毎日・時々・磨かない)
夜(毎日・時々・磨かない)
④ 何かつけて磨きますか? YES ・ NO
⑤ 歯ブラシ以外の用具を使いますか?
YES ・ NO (糸ようじ・歯間ブラシ・電動歯ブラシ・その他 )
⑥ フッ素入りのうがい薬やペーストを使用していますか? YES ・ NO
⑦ 歯科医院にてフッ素塗布をしたことがありますか? YES ・ NO
- 虫歯予防のためにキシリトールガム、キャンディーなどをたべますか?
NO ・ YES →(時々・毎食後)
Q2.食生活について
① 毎日3回食事をしていますか? YES・朝食抜き・2食・3食以上・その他( )
② 週に外食は何回ですか? 朝食( 回)・昼食( 回)・夜食( 回)
③ 好き嫌いはありますか? YES ・ NO
好きなもの( )
嫌いなもの( )
④ 食べ物をよく噛んで食べていますか? YES ・ NO
Q3.間食について
① 1日に間食を何回とりますか? ( 回)
② 間食はどのように食べていますか? 時間を決めて・食べたい時に・その他( )
③ よく飲むものは何ですか? ( )
Q4.次のような癖がありますか?
NO ・ YES ( 歯ぎしり・食いしばり・爪を噛む・唇を噛む )
Q5.喫煙の習慣はありますか?
NO ・ YES → ( 1日の本数 本)
Q6.飲酒の習慣はありますか?
NO ・ YES → ( 時々・毎日 )
Q7.運動する習慣はありますか?
NO ・ YES → ( 毎日・週に 回)
ご協力ありがとうございました。
|
大阪市北区曽根崎新1-4-20桜橋IMビル4F
かわさと歯科・矯正歯科
院長 川里 邦夫
大阪市北区曽根崎新1-4-20桜橋IMビル4F
かわさと歯科・矯正歯科
日本歯周病学会専門医・指導医
日本顎咬合学会指導医
日本歯科審美学会認定医
日本臨床歯科学会(SJCD)認定医
臨床歯周病学会認定医・歯周インプランント認定医
院長 川里 邦夫
