奥の銀歯をセラミックにしたい30代男性
2025年4月25日
奥の銀歯をセラミックにしたい30代男性
R6.2.
大阪市北区堂島
31歳男性

奥の銀歯をセラミックにしたい 30代男性

Ceramic inlay

ceramic onlay
診療申込書
| ● おそれいりますが、次の事に○でかこんで下さい。記入欄は、詳しくお答え下さい。 |
| 当院は初めてですか はい ・ いいえ
ご紹介者があれば 氏名 様 |
当医院をお知りになったのは
・ 知人の紹介 ・ 家族が来ていた ・ 医院の看板 ・ 駅の看板
・ タウンページ ・ リーフレット ・ ホームページ ・ 雑誌
・ 通りがかり ・ その他 ( )
| 来院された理由(主訴)
・ 歯の痛み ( 噛んだ時 / 冷痛 / 温痛 / 親知らず ) ・ 詰め物がとれた ・ 歯の色
・ 物がはさまる ・ 歯肉が腫れた ・ 歯肉の出血 ・ 歯石 ・ 口臭 ・ 検診
・ インプラント ・ 入れ歯 ・ 歯列矯正 ・ 顎が痛む
・ 他の歯科で治らないので( ヶ月前 )
・ その他 ( 転居に伴い定期的なクリーニングを ) (○をお付け下さい)
治療について 今回の治療目的は・・・ ・ 応急処置のみ ・ 問題のある所は全て治療
説明・・・ ・ 詳しく説明が聞きたい ・ 希望する場所のみの説明でよい
費用・・・ ・ 保険の範囲で治療したい ・ 必要があれば多少の費用がかかってもよい
時間・期間・・ ・ いつでも良い ・( )曜日が都合良い 午前中・午後 ・ 年 月 日 までに終わってほしい
麻酔・・・ ・ してほしい ・してほしくない
レントゲン写真・ ・ 必要なら撮ってもよい ・ 治療上、必要でも撮られたくない 交通手段について ・ 徒歩 3分 ・ 自転車 分 ・ バイク 分 ・ 車 分 ・ 電車 分 その他、うけたまわっておく事はありますか。
|
~あなたが本当に必要とする歯科治療を~

奥の銀歯をセラミックにしたい 30代男性
健康カルテ
あなたの、健康状態を正確に教えて下さい。
✽ 体とお口は親密に関係しており、下記の質問は重要な資料となります。
✽ 健康状態によっては、処置できない治療(抜歯など)もあります。
✽ 歯科で使用する薬品・飲み薬など、他のお薬と併用されますと大変危険な物もあります。
ご家族で何か大きな病気・手術等された方はおられますか ? はい ・ いいえ
( )
ご自身で過去にかかった病気・手術等はありますか ? はい ・ いいえ
( )
現在のお身体の状態はいかがですか?(○をお付け下さい)
健康である ・ 体調が良くない
現在( 内科 / 外科 / その他 ) 治療中
投薬( 無 / 有 服用中のお薬名: )
かかりつけの病院名( ) 連絡先(☎ )
( ) (☎ )
現在、治療中 又は 疑いがある病気はありますか?(○をお付け下さい)
はい ・ いいえ
ウイルス性疾患・・・ 肝炎( A型・B型・C型 ) ・ HIV
心疾患 ・・・ 心筋梗塞 ・ 狭心症
脳疾患 ・・・ 脳梗塞 ・ 脳卒中
アレルギー ・・・ 薬 (飲めない薬: )
食物( )
その他 ・・・ 糖尿病( )・高血圧/上( )~下( )
貧血症・胃腸障害・血友病・紫斑病
血がとまりにくい(歯を抜いたりケガをした時)
ますい注射のアレルギー(じんましんが出る・気分が悪くなる)
~女性の方~ 妊娠中 ヶ月・授乳中( 年 月 日現在)
上記以外で、うけたまわっておく事はありますか?

奥の銀歯をセラミックに
コミュニケーション
Q1.数ある医院の中で当院をお選びになった理由は何ですか?
HP orリーフレットの場合→ どのような医院だと思われましたか?
紹介の場合→ 当院の事をどのようにおっしゃっていましたか?
Q2.今まで通院されていた医院での不満や怒り、また決してして欲しくないことは?
ありません
Q3.今、お口の中について、どのようなことでお悩みですか?
⇒(痛みが主訴の場合)「痛み」以外で困っている、悩んでいる、気になっている
ことはありますか?
ありません
⇒では、あなたにとって、理想のお口の状態とはどのようなものですか?
Q4.お口を理想の状態に近づける第一歩として、何を望まれますか?(優先順に)
- 1. 定期的なメインテナンス
- 2.ありません
Q5.あなたが当院に望まれることはなんでしょうか?(痛み以外で)
- 大阪市北区曽根崎新1-4-20桜橋IMビル4Fかわさと歯科・矯正歯科日本歯周病学会専門医・指導医院長 川里 邦夫

Ceramic inlay, ceramic onlay, ceramic

Ceramic inlay, ceramic onlay,
- 治療名
- セラミックインレー・アンレー
-
- 費用
- 880,000円(税込み)
内: セラミックインレー1本/80,000円、 セラミックアンレー80,000円 - 治療期間
- 半年
- 通院頻度
- 1ヵ月 2~3回
- そのほか患者様情報
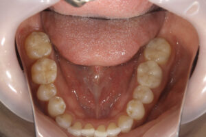
- 31歳・男性
初診日 2025.5. (半年経過症例)
治療内容
-
患者様の症状
- 他の歯科医院にて部分的な治療を受けたが、転居をきっかけに、見た目が良くない・噛めないとのことで再治療を希望された。他の医院に行こうとしたところ知り合いに当医院を勧められ来院した。アングルクラスⅠであった。
-
治療法
- 全顎的に着色が見られ、天然歯の変色が見られた。アングルクラスⅠで上下顎前歯部に叢生が見られ、クリーニングの後、上下顎臼歯部にセラミックインレー・アンレーを装着した。
-
治療結果
- 審美的な仕上がりで、患者自身も満足した。半年経過し良好である。
現在は2〜3ヶ月おきのメインテナンス中である。
※治療結果は患者様によって個人差があります。
治療を行う上での 注意点 (リスク・副作用)
セラミックインレー・アンレーには欠け易いといったリスクがあるためナイトガードは必須である。
特に清掃が重要である。
ご来院ありがとうございます。
Q. かわさと歯科を選ばれた理由をお聞かせ下さい。 (複数可)
(場所、診療時間、医院の雰囲気、価格、キャンペーンがある、その他 通りがかり )
Q. かかりつけ歯科医院はございますか?
( はい いいえ )
Q. なぜセラミックをされようと思いましたか?
( )
Q. セラミックの価格についてどう思いましたか?
( 高い 普通 安い )
- セラミック後、ナイトガードが必要である事はご存知ですか?
( はい いいえ )
- むし歯や歯周病があるとホワイトニングを行えない事はご存知ですか?
( はい いいえ )
- むし歯や歯周病があれば当院での治療を希望されますか?
( はい いいえ )
|
|||
ご協力ありがとうございました。
