ゴールドの金属床の入れ歯

「北新地駅」
徒歩1分
「西梅田駅」
徒歩2分
「大阪駅」
徒歩5分

〒530-0002 大阪府大阪市北区曾根崎新地1丁目4−20 桜橋IMビル 4F

06-6344-5535

キービジュアル

ゴールドの金属床の入れ歯

2026年1月11日

ゴールドの金属床の入れ歯

H27.4.

大阪市北区

64歳女性

 

ゴールドの金属床の入れ歯

ゴールドの金属床の入れ歯

 

ゴールドの金属床の入れ歯

ゴールドの金属床の入れ歯

 

Gold dentures dentures

Gold dentures dentures

入れ歯の設計がおかしい

 

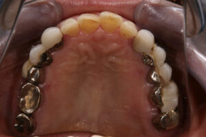
Titanium dentures

Titanium dentures 奥のかぶせの色が合ってない

 

左上が腫れた

左上が腫れた 抜歯 保存不可能

診療申込書

              26年 1月 21日生( 64才)      A

ふりがな                                                    NO.

住所     

自宅電話 (   )   ―       携帯電話    ―    ―    E-mail

勤務先                 電話 (    )    ―

 おそれいりますが、次の事に○でかこんで下さい。記入欄は、詳しくお答え下さい。

当院は初めてですか   はい ・ いいえ

ご紹介者があれば    氏名             様

  当医院をお知りになったのは

・ 知人の紹介    ・ 家族が来ていた   ・ 医院の看板    ・ 駅の看板

・ タウンページ   ・ リーフレット    ・ ホームページ   ・ 雑誌

・ 通りがかり    ・ その他 (        歯周病専門医      )

  来院された理由(主訴)                       

      歯の痛み ( 噛んだ時 / 冷痛 / 温痛 / 親知らず )    ・ 詰め物がとれた   ・ 歯の色

      物がはさまる   歯肉が腫れた  ・ 歯肉の出血  ・ 歯石  ・ 口臭    ・ 検診

      ・ インプラント   ・ 入れ歯        ・ 歯列矯正    ・ 顎が痛む

  

      ・ 他の歯科で治らないので(      ヶ月前 )

      その他 (  左上が腫れている   )

治療について

今回の治療目的は・・・    ・ 応急処置のみ  ・ 問題のある所は全て治療

説明・・・  ・ 詳しく説明が聞きたい  ・ 希望する場所のみの説明でよい

費用・・・  ・ 保険の範囲で治療したい ・ 必要があれば多少の費用がかかってもよい

時間・期間・・  ・ いつでも良い     ・(    )曜日が都合良い 午前中・午後

・    年   月   日 までに終わってほしい

麻酔・・・      ・ してほしい     ・してほしくない

レントゲン写真・    ・ 必要なら撮ってもよい  ・ 治療上、必要でも撮られたくない                     

交通手段について

徒歩         自転車         バイク                 電車  7

その他、うけたまわっておく事はありますか。

 

現在ミラクルデンチャーを入れている

 

ゴールドの金属床の入れ歯

ゴールドの金属床の入れ歯

 

Gold Titanium dentures

Gold Titanium dentures

 

 

健康カルテ

 

あなたの、健康状態を正確に教えて下さい

 体とお口は親密に関係しており、下記の質問は重要な資料となります。

 健康状態によっては、処置できない治療(抜歯など)もあります。

 歯科で使用する薬品・飲み薬など、他のお薬と併用されますと大変危険な物もあります。

 

ご家族で何か大きな病気・手術等された方はおられますか ?  はい ・ いいえ

                                                                  )

ご自身で過去にかかった病気・手術等はありますか ?  はい ・ いいえ

            (      ヘルペス    )

現在のお身体の状態はいかがですか?(をお付け下さい)

健康である    体調が良くない  

現在( 内科 / 外科 / その他 ) 治療中

投薬( 無 /  服用中のお薬名:  高血圧                   )

かかりつけの病院名(             ) 連絡先(☎            

                   (          )      (           )

現在、治療中 又は 疑いがある病気はありますか?(○をお付け下さい)

はい   ・   いいえ

ウイルス性疾患・・・ 肝炎( A型・B型・C型 ) ・ HIV

心疾患    ・・・ 心筋梗塞 ・ 狭心症

脳疾患    ・・・ 脳梗塞 ・ 脳卒中

アレルギー  ・・・ 薬  (飲めない薬:   ピリン系                                  )

食物(                                         )         

その他    ・・・ 糖尿病(      )・高血圧/上( 145   )~下( 90  

                      貧血症・胃腸障害・血友病・紫斑病

血がとまりにくい(歯を抜いたりケガをした時)

ますい注射のアレルギー(じんましんが出る・気分が悪くなる)

~女性の方~ 妊娠中   ヶ月・授乳中(   年   月   日現在)

 

上記以外で、うけたまわっておく事はありますか?

 

日光アレルギー

自己免疫疾患

 

Gold dentures Titanium dentures

Gold dentures Titanium dentures

奥歯は全てセラミックにてやり直し

 

Gold dentures

Gold dentures

構造設計のゴールドデンチャー

 

コミュニケーション

 

Q1.数ある医院の中で当院をお選びになった理由は何ですか?

HP orリーフレットの場合→ どのような医院だと思われましたか?

紹介の場合→ 当院の事をどのようにおっしゃっていましたか?

 

歯周病専門医で治療を受けたい

 

Q2.今まで通院されていた医院での不満や怒り、また決してして欲しくないことは?

 

Q3.今、お口の中について、どのようなことでお悩みですか?

⇒(痛みが主訴の場合)「痛み」以外で困っている、悩んでいる、気になっている

ことはありますか?

 

出血・口臭・歯石

非常に悪い

 

⇒では、あなたにとって、理想のお口の状態とはどのようなものですか?

 

Q4.お口を理想の状態に近づける第一歩として、何を望まれますか?(優先順に)

  1. 症状改善のための治療  2.

Q5.あなたが当院に望まれることはなんでしょうか?(痛み以外で)

 

治療方針と説明

治療期間と費用

 

Gold dentures Titanium

Gold dentures Titanium

自然な色合いの最終補綴

 

 

大阪市北区曽根崎新1-4-20桜橋IMビル4F

かわさと歯科・矯正歯科

日本歯周病学会専門医・指導医

院長 川里 邦夫

入れ歯

歯周病

「ゴールド金属入れ歯」について

 

ゴールド(金属製の金歯や金合金)を使用した入れ歯は、耐久性や適合性に優れているため、歯科医師から高く評価されることがあります。特に、金属は腐食しにくく、長期間にわたり安定した使用が可能です。

 

【ゴールド金属入れ歯の特徴】

  1. 耐久性が高い:金属は摩耗しにくく、長持ちします。
  2. 適合性が良い:金属の性質により、口腔内にぴったりとフィットしやすいです。
  3. 生体親和性:金はアレルギー反応が少なく、口腔内に優しい素材です。
  4. 見た目:金属色のため、自然な歯の見た目にはなりませんが、金属の美しさや高級感を好む方もいます。

【注意点】

  • コストが高めです。
  • 金属アレルギーの方は事前に医師に相談してください。
  • 見た目を気にされる場合は、部分的な補綴やセラミックとの併用も検討されることがあります。

もし具体的な治療や素材選びについてご興味があれば、歯科医師に相談されることをおすすめします。何か他に知りたいことがあれば、お気軽にお尋ねください!

 

 

 

セカンドオピニオン/個別相談のご案内

当院では、患者さんが抱えていらっしゃるお口のお悩みや疑問・不安などにお応えする機会を設けております。どんなことでも構いませんので、私たちにお話ししていただけたらと思います。
ご興味がある方は下記からお問い合わせください。

保険の制度では、セカンドオピニオンとして保険が適応されていませんので、それぞれの医院によって内容が変わってきます。
※知識を聞くことを無料だと思っている方は、他院の保険制度をご利用ください。
※前医院の恨みつらみ、悪口などを申す機会ではございませんのでご理解ください。

MAIL相談 24時間WEB予約

「北新地駅」徒歩1分
「西梅田駅」徒歩2分
「大阪駅」徒歩5分

06-6344-5535

このページの先頭に戻る