右上にものが詰まる53歳男性 大阪・梅田・北新地
2025年11月27日
右上にものが詰まる53歳男性 大阪・梅田・北新地
R2.3.
兵庫県三田市
53歳男性

Something gets stuck between your teeth
治療方針
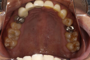
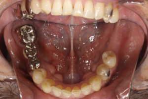
右上奥歯には虫歯があり、そこにものが挟まっていた。
単なる虫歯治療ではあるが、他の歯の詰め物・被せ物も不適合で虫歯になっていた。
そのため、全体の詰め物・被せ物もセラミックに置き換えることとした。
また、左下の欠損部にはインプラントを行うこととした。
その際には、いきなり削るのではなく、術前のクリーニングを行なった。
診療申込書
男 41年 6月 11日生( 53才) B
ふりがな NO.
住所 〠 ―
自宅電話 ( ) ― 携帯電話 ― ― E-mail
勤務先 電話 ( ) ―
● おそれいりますが、次の事に○でかこんで下さい。記入欄は、詳しくお答え下さい。
当院は初めてですか はい ・ いいえ
ご紹介者があれば 氏名 様
当医院をお知りになったのは
・ 知人の紹介 ・ 家族が来ていた ・ 医院の看板 ・ 駅の看板
・ タウンページ ・ リーフレット ・ ホームページ ・ 雑誌
・ 通りがかり ・ その他 ( Eパーク )
来院された理由(主訴)
・ 歯の痛み ( 噛んだ時 / 冷痛 / 温痛 / 親知らず ) ・ 詰め物がとれた ・ 歯の色
・ 物がはさまる (右上) ・ 歯肉が腫れた ・ 歯肉の出血 ・ 歯石 ・ 口臭 ・ 検診
・ インプラント ・ 入れ歯 ・ 歯列矯正 ・ 顎が痛む
・ 他の歯科で治らないので( ヶ月前 )
・ その他 ( ) (○をお付け下さい)
治療について
今回の治療目的は・・・ ・ 応急処置のみ ・ 問題のある所は全て治療
説明・・・ ・ 詳しく説明が聞きたい ・ 希望する場所のみの説明でよい
費用・・・ ・ 保険の範囲で治療したい ・ 必要があれば多少の費用がかかってもよい
時間・期間・・ ・ いつでも良い ・( )曜日が都合良い 午前中・午後
・ 年 月 日 までに終わってほしい
麻酔・・・ ・ してほしい ・してほしくない
レントゲン写真・ ・ 必要なら撮ってもよい ・ 治療上、必要でも撮られたくない
交通手段について
・ 会社より徒歩 20分 ・ 自転車 分 ・ バイク 分 ・ 車 分 ・ 電車 分
その他、うけたまわっておく事はありますか。

右上にものが詰まる53歳男性

Something gets stuck between your teeth
健康カルテ
あなたの、健康状態を正確に教えて下さい。
✽ 体とお口は親密に関係しており、下記の質問は重要な資料となります。
✽ 健康状態によっては、処置できない治療(抜歯など)もあります。
✽ 歯科で使用する薬品・飲み薬など、他のお薬と併用されますと大変危険な物もあります。
ご家族で何か大きな病気・手術等された方はおられますか ? はい ・ いいえ
( )
ご自身で過去にかかった病気・手術等はありますか ? はい ・ いいえ
( )
現在のお身体の状態はいかがですか?(○をお付け下さい)
健康である ・ 体調が良くない
現在( 内科 / 外科 / その他 ) 治療中
投薬( 無 / 有 服用中のお薬名: )
かかりつけの病院名( ) 連絡先(☎ )
( ) (☎ )
現在、治療中 又は 疑いがある病気はありますか?(○をお付け下さい)
はい ・ いいえ
ウイルス性疾患・・・ 肝炎( A型・B型・C型 ) ・ HIV
心疾患 ・・・ 心筋梗塞 ・ 狭心症
脳疾患 ・・・ 脳梗塞 ・ 脳卒中
アレルギー ・・・ 薬 (飲めない薬: )
食物( )
その他 ・・・ 糖尿病( )・高血圧/上( )~下( )
貧血症・胃腸障害・血友病・紫斑病
血がとまりにくい(歯を抜いたりケガをした時)
ますい注射のアレルギー(じんましんが出る・気分が悪くなる)
~女性の方~ 妊娠中 ヶ月・授乳中( 年 月 日現在)
上記以外で、うけたまわっておく事はありますか?

右上にものが詰まる53歳男性
コミュニケーション
Q1.数ある医院の中で当院をお選びになった理由は何ですか?
HP orリーフレットの場合→ どのような医院だと思われましたか?
紹介の場合→ 当院の事をどのようにおっしゃっていましたか?
ネット予約ができてありがたい
Q2.今まで通院されていた医院での不満や怒り、また決してして欲しくないことは?
特になし
Q3.今、お口の中について、どのようなことでお悩みですか?
⇒(痛みが主訴の場合)「痛み」以外で困っている、悩んでいる、気になっている
ことはありますか?
特になし
⇒では、あなたにとって、理想のお口の状態とはどのようなものですか?
美味しくものが食べられる
Q4.お口を理想の状態に近づける第一歩として、何を望まれますか?(優先順に)
- 痛みがない 2. 綺麗
Q5.あなたが当院に望まれることはなんでしょうか?(痛み以外で)
予約の取りやすさ

右上にものが詰まる

Something gets stuck between your teeth
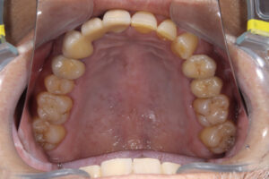
- 治療名
-
セラミックインレー・アンレー・クラウン・インプラント
-
- 費用
- 2.510.200円(税込み)
内: セラミックインレー1本/80,000円、 セラミックアンレー80,000円、 - オールセラミッククラウン1本120.000円. インプラント1本300.000円
- 治療期間
- 1年半
- 通院頻度
- 1ヵ月 2~3回
- そのほか患者様情報
- 53歳・男性
初診日 2020.3. ( 3年経過症例 )
治療内容
-
患者様の症状
- むし歯が気になる・見た目が良くない・噛めないとのことで治療を希望された。他の医院に行こうとしたところ知り合いに当医院を勧められ来院した。
- アングルクラスⅠであった。
-
治療法
- アングルクラスⅠで上下顎臼歯部に不適合な修復・補綴が見られ、
- クリーニングの後、上下顎臼歯部にセラミックインレー・アンレー・インプラントを装着した。
-
治療結果
審美的な仕上がりで、患者自身も満足した。3年経過し良好である。
- 現在は2〜3ヶ月おきのメインテナンス中である。
※治療結果は患者様によって個人差があります。
治療を行う上での 注意点 (リスク・副作用)
セラミックインレー・アンレー・クラウンには欠け易いといったリスクがあるためナイトガードは必須である。
特にインンプラント部は清掃が重要である。

Something gets stuck between your teeth
大阪市北区曽根崎新1-4-20桜橋IMビル4F
かわさと歯科・矯正歯科
日本歯周病学会専門医・指導医
院長 川里 邦夫
奥歯にものが挟まるのは
これは食べかすや歯垢、または歯と歯の間に詰まったものが原因であることが多いです。
以下の対処法をお試しください。
- 丁寧に歯ブラシを使う:歯ブラシやフロスを使って、挟まったものを優しく取り除きます。
- うがいをする:ぬるま湯やマウスウォッシュで口内を洗浄します。
- 歯間ブラシやデンタルフロスの使用:歯と歯の間に詰まったものを取り除くのに効果的です。
もし、何度も同じ場所にものが挟まる、痛みや腫れ、出血がある場合は、
歯科医師に相談されることをおすすめします。早めの診察で原因を特定し、適切な治療を受けることが大切です。
大阪市北区曽根崎新1-4-20桜橋IMビル4F
かわさと歯科・矯正歯科
日本歯周病学会専門医・指導医
日本顎咬合学会指導医
日本歯科審美学会認定医
日本臨床歯科学会(SJCD)認定医
臨床歯周病学会認定医・歯周インプランント認定医
院長 川里 邦夫
