上の前歯2本のラミネートベニア

「北新地駅」
徒歩1分
「西梅田駅」
徒歩2分
「大阪駅」
徒歩5分

〒530-0002 大阪府大阪市北区曾根崎新地1丁目4−20 桜橋IMビル 4F

06-6344-5535

キービジュアル

上の前歯2本のラミネートベニア

2026年1月4日

上の前歯2本のラミネートベニア

T28.6.

京都府京都市

35歳女性

 

上の前歯2本のラミネートベニア

上の前歯2本のラミネートベニア

 

Laminate veneersfaile

Laminate veneers

 

治療方針

ラミネートベニアにものが詰まるのは、適合が悪いのか接着の問題があるのかのどちらかに大別されます。

今回は他の医院で治療して間もないため、技術的な問題が大きいと考えられます。あまりラミネートベニアに不慣れな医院で治療されたとの事なので、そちらの医院の技術不足が原因と思われます。

基本に則って治療を行えば、早期にものが詰まることはありません。

 

診療申込書

       57年 10月 12日生( 35才)    

ふりがな                                                    NO.

住所     

自宅電話 (   )   ―       携帯電話    ―    ―    E-mail

勤務先                 電話 (    )    ―

 おそれいりますが、次の事に○でかこんで下さい。記入欄は、詳しくお答え下さい。

 

当院は初めてですか   はい ・ いいえ

ご紹介者があれば    氏名             様

  当医院をお知りになったのは

・ 知人の紹介    ・ 家族が来ていた   ・ 医院の看板    ・ 駅の看板

・ タウンページ   ・ リーフレット    ・ ホームページ   ・ 雑誌

・ 通りがかり    ・ その他 (      ラミネートベニア 大阪   )

  

来院された理由(主訴)                       

      ・ 歯の痛み ( 噛んだ時 / 冷痛 / 温痛 / 親知らず )    ・ 詰め物がとれた   ・ 歯の色

      ・ 物がはさまる   ・ 歯肉が腫れた  ・ 歯肉の出血  ・ 歯石  ・ 口臭    ・ 検診

      ・ インプラント   ・ 入れ歯        ・ 歯列矯正    ・ 顎が痛む

  

      他の歯科で治らないので2013.10. 

      ・ その他 ( 他の医院で上の前歯2本ラミネートベニアにしたが食べもが詰まるようになった  )

治療について

今回の治療目的は・・・    ・ 応急処置のみ  ・ 問題のある所は全て治療

説明・・・  ・ 詳しく説明が聞きたい  ・ 希望する場所のみの説明でよい

費用・・・  ・ 保険の範囲で治療したい ・ 必要があれば多少の費用がかかってもよい

時間・期間・・  ・ いつでも良い     ・(  )曜日が都合良い 午前中・午後

・    年   月   日 までに終わってほしい

麻酔・・・      ・ してほしい     ・してほしくない

レントゲン写真・    ・ 必要なら撮ってもよい  ・ 治療上、必要でも撮られたくない                     

交通手段について

徒歩         自転車         バイク                 電車  50

その他、うけたまわっておく事はありますか。

 

上の前歯2本のラミネートベニア

上の前歯2本のラミネートベニア

 

Laminate veneers, ceramic bridges, ceramic anlay

Laminate veneers, ceramic bridges, ceramic anlay

 

健康カルテ

あなたの、健康状態を正確に教えて下さい

 体とお口は親密に関係しており、下記の質問は重要な資料となります。

 健康状態によっては、処置できない治療(抜歯など)もあります。

 歯科で使用する薬品・飲み薬など、他のお薬と併用されますと大変危険な物もあります。

 

ご家族で何か大きな病気・手術等された方はおられますか ?  はい ・ いいえ

                                                                  )

ご自身で過去にかかった病気・手術等はありますか ?  はい ・ いいえ

            (                                                               )

現在のお身体の状態はいかがですか?(をお付け下さい)

健康である    体調が良くない  

現在( 内科 / 外科 / その他 ) 治療中

投薬( 無 / 有  服用中のお薬名:                     )

かかりつけの病院名(             ) 連絡先(☎            

                   (          )      (           )

現在、治療中 又は 疑いがある病気はありますか?(○をお付け下さい)

はい   ・   いいえ

ウイルス性疾患・・・ 肝炎( A型・B型・C型 ) ・ HIV

心疾患    ・・・ 心筋梗塞 ・ 狭心症

脳疾患    ・・・ 脳梗塞 ・ 脳卒中

アレルギー  ・・・ 薬  (飲めない薬:                                     )

食物(                                         )         

その他    ・・・ 糖尿病(      )・高血圧/上(    )~下(   

                      貧血症・胃腸障害・血友病・紫斑病

血がとまりにくい(歯を抜いたりケガをした時)

ますい注射のアレルギー(じんましんが出る・気分が悪くなる)

~女性の方~ 妊娠中   ヶ月・授乳中(   年   月   日現在)

上記以外で、うけたまわっておく事はありますか?

 

コミュニケーション

 

Q1.数ある医院の中で当院をお選びになった理由は何ですか?

HP orリーフレットの場合→ どのような医院だと思われましたか?

紹介の場合→ 当院の事をどのようにおっしゃっていましたか?

 

虫歯治療も重視されている

 

Q2.今まで通院されていた医院での不満や怒り、また決してして欲しくないことは?

 

前回の医院はラミネートベニアに不慣れのように思えた

 

Q3.今、お口の中について、どのようなことでお悩みですか?

⇒(痛みが主訴の場合)「痛み」以外で困っている、悩んでいる、気になっている

ことはありますか?

 

睡眠時に歯軋りをしているらしく

前回の歯科の勧めでマウスピースをして眠っている

 

⇒では、あなたにとって、理想のお口の状態とはどのようなものですか?

 

 

Q4.お口を理想の状態に近づける第一歩として、何を望まれますか?(優先順に)

  1. 健康であること   2.

Q5.あなたが当院に望まれることはなんでしょうか?(痛み以外で)

 

審美的な希望を含め、全体的な治療を希望します

 

上の前歯2本のラミネートベニア

上の前歯2本のラミネートベニア

 

上の前歯2本のラミネートベニア

上の前歯2本のラミネートベニア

 

Laminate veneers

Laminate veneers

 

ceramic bridges, ceramic anlay

ceramic bridges, ceramic anlay

 

治療名

ラミネートベニア・セラミックインレー・アンレー・クラウン

費用
334.800円(税込み)
内: セラミックインレー1本/80,000円、 セラミックアンレー80,000円、
   ラミネートベニア1本120.000円
治療期間
半年
通院頻度
1ヵ月 2~3回
そのほか患者様情報
35歳・女性
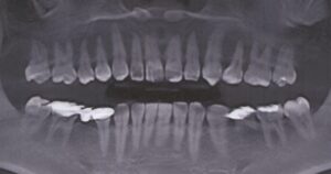
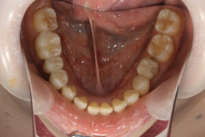
初診日 2016.7.  ( 9年経過症例 )

 

治療内容

患者様の症状
他の歯科医院にてラミネートベニアを施術されたが、ものが詰まる・見た目が良くない・噛めないとのことで治療を希望された。知り合いに当医院を勧められ来院した。
治療法
クリーニングの後、上顎前歯2本のラミネートベニア、右下臼歯部にセラミックブリッジを装着した。
治療結果
   審美的な仕上がりで、患者自身も満足した。9年経過し良好である。
現在は2〜3ヶ月おきのメインテナンス中である。

   ※治療結果は患者様によって個人差があります。

 

治療を行う上での 注意点 (リスク・副作用)

セラミックは欠け易いといったリスクがあるためナイトガードは必須である。

 

 

 

 

 

審美セラミック治療

 

大阪市北区曽根崎新1-4-20桜橋IMビル4F

かわさと歯科・矯正歯科

日本歯周病学会専門医・指導医

院長 川里 邦夫

 

 

「ラミネートベニアのものが詰まる」というのは、

ベニア(貼り付ける壁材や装飾材)に何か詰まりやすい、または詰まってしまうという状況を指しています。

もし具体的にどのような状況か教えていただけると、より適切なアドバイスができるかと思います。

 

例えば、

  • どのような材料や施工方法を使っているのか
  • 何が詰まるのか(ホコリ、汚れ、接着剤の残りなど)
  • どのような問題が発生しているのか(剥がれやすい、汚れが取れないなど)

などの詳細があります。

 

一般的な対策としては、

  1. 施工前の表面清掃:ベニアの表面をきれいにしておくことが重要です。
  2. 適切な接着剤の使用:過剰な接着剤や不適切な種類は詰まりや剥がれの原因となるため、推奨されるものを使用してください。
  3. 定期的なメンテナンス:汚れをこまめに取り除くことも効果的です。

もし具体的な症状や状況を教えていただければ、より詳しいアドバイスを差し上げられます。どうぞお気軽にお知らせください!

 

ラミネートベニアが欠けてしまった場合、いくつかの対処法があります。

まずは、欠けた部分の大きさや位置、症状の程度によって適切な対応が異なります。

 

一般的な対応策としては、

  1. 早めに歯科医師に相談すること:欠けた部分の修復や再製作が必要かどうかを判断してもらいます。
  2. 一時的な保護:欠けた部分が鋭くて口内や舌を傷つける場合は、歯科医師から指示された一時的な保護材を使うこともあります。
  3. 修復方法:小さな欠けの場合は、レジン(樹脂)を用いた修復や、セラミックの補修が行われることがあります。大きな欠けや構造的な問題がある場合は、再製作やクラウン(冠)の装着が検討されることもあります。

いずれにしても、自己判断で修復しようとせず、できるだけ早く歯科医師の診察を受けることをお勧めします。

 

大阪市北区曽根崎新1-4-20桜橋IMビル4F

かわさと歯科・矯正歯科

日本歯周病学会専門医・指導医

日本顎咬合学会指導医

日本歯科審美学会認定医

日本臨床歯科学会(SJCD)認定医

臨床歯周病学会認定医・歯周インプランント認定医

院長 川里 邦夫

 

院長・スタッフ

 

 

 

セカンドオピニオン/個別相談のご案内

当院では、患者さんが抱えていらっしゃるお口のお悩みや疑問・不安などにお応えする機会を設けております。どんなことでも構いませんので、私たちにお話ししていただけたらと思います。
ご興味がある方は下記からお問い合わせください。

保険の制度では、セカンドオピニオンとして保険が適応されていませんので、それぞれの医院によって内容が変わってきます。
※知識を聞くことを無料だと思っている方は、他院の保険制度をご利用ください。
※前医院の恨みつらみ、悪口などを申す機会ではございませんのでご理解ください。

MAIL相談 24時間WEB予約

「北新地駅」徒歩1分
「西梅田駅」徒歩2分
「大阪駅」徒歩5分

06-6344-5535

このページの先頭に戻る