前歯の治療 オールセラミッククラウン・セ…

「北新地駅」
徒歩1分
「西梅田駅」
徒歩2分
「大阪駅」
徒歩5分

〒530-0002 大阪府大阪市北区曾根崎新地1丁目4−20 桜橋IMビル 4F

06-6344-5535

キービジュアル

前歯の治療 オールセラミッククラウン・セラモメタルクラウン

2025年12月2日

前歯の治療 オールセラミッククラウン・セラもメタルクラウン

 

『あなたにとっての最高の治療』と『保険制度範囲内での最良の治療』には

大きな差があることを知って下さい。

 

 

今の保険制度のもとでは、「応急処置」的な治療をするのが精一杯というのが現状です。しかし、私たちは「すべての患者さんに対して十分に時間をかけ、最良の材料を使い、最高の技術で、完璧な治療をしてあげたい」という気持ちを常に持っています。ご紹介する『オールセラミッククラウン/セラモメタルクラウン』もその完璧な治療方法のひとつです。自由診療では経済的な負担も多少増えますが、

一時しのぎではない本当の美しさと確かさが得られます。

 

保険治療の場合 

  • 〔レジン〕と呼ばれるプラスティック素材の使用しか認められていません。

最初は色が合っていても1~2年すると

変色し、強度も低く擦り減ってくるため

再治療の恐れがあります。

吸水性があるため、着色しやすいです。

 

自費治療の場合

  • 天然の歯に合わせて金属の上に陶を焼き付ける歯材〔セラモメタルクラウン〕を使用します。

主に、欠損歯列・動揺歯に使用します。

  • 陶材を使用しているため違和感もなく、強度性もあり、歯の変色もなく美しい歯を維持できます。
  • 歯の色、歯の形をひとりひとりに合わせて陶材(セラミック)を使用し、オリジナルを作ることができます。

 

  • 上記のセラモメタルクラウンから金属を一切使用しない陶材のみの歯材〔オールセラミッククラウン〕

を使用します。

主に、単冠として使用します。(1歯欠損であれば可)

  • 金属を使わない為、金属が溶け出しません。
  • 光を通過させる為、明るい仕上がりになります。

健康な歯との見分けがつかないほど自然に仕上がります。

費用 1歯 ¥132,000-(税込)

 

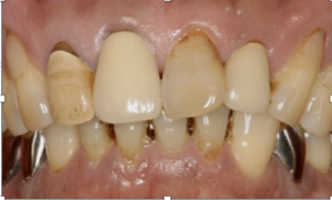
術前                 術後

どちらが被せ物かわかりますか??? 

 トップセラミスト西村好美 作

 

 

歯は均一な白色ではなく、部分部分で色調、透明感が違います。

この色や形を誰でも作れる訳ではありません。

特に腕のいい、一流の歯科技工士にしか作れません。

歯科の世界では、そういう歯科技工士をトップセラミストと呼んでいます。

ただ、残念ながら日本には数人しかいません。

 

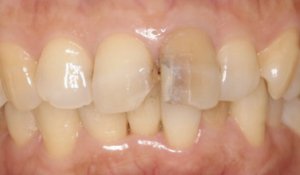
ここまで拡大することは、普通の方ではありませんが、写真を撮られる機会の多い方、芸能関係の方、コンテストに出られる方などは、あるかもしれません。

 

歯の実際の大きさは、縦10.5mm、横8.6mmです。

 

通常の自費治療は12万円(消費税別)ですが、究極を求めるとトップセラミストが作製するため5割増しの18万円(消費税別)になります。

 

どこまで、お望みですか。

 

 

12万と18万の違い

 

12万円が悪いわけではありません。

日常生活に支障がでるとか、他人からすぐわかるとか、そんなレベルではありません。

質はかなり高いです。18万は究極というだけです。

野球に例えるなら、12万が日本のプロ野球、18万はアメリカ大リーグ。

あなたはどこで野球をしますか?  どこまでお望みですか?

 

 

審美セラミック治療

 

大阪市北区曽根崎新1-4-20桜橋IMビル4F

かわさと歯科・矯正歯科

日本歯周病学会専門医・指導医

院長 川里 邦夫

 

 

 

前歯の治療には 保険診療自費診療(自由診療) の2種類があり、

それぞれ仕上がり・材料・費用に大きな違いがあります。分かりやすくまとめます。


🦷 前歯治療:保険と自費の違い

【1】保険診療(健康保険が使える)

✔ メリット

  • 費用が安い(3割負担で数千〜1万円程度)

  • 必要最低限の機能回復が目的のため、全国どこでも同じ基準

✔ デメリット

  • 素材に制限がある

    • 前歯は「硬質レジン前装冠(プラスチック+金属)」が基本

    • 見える部分は白いが、透明感が弱く、経年で 変色しやすい

  • 審美性はそれほど高くない

  • 耐久性は中程度(経年で割れ・変色・摩耗が起きやすい)

  • 金属アレルギーの可能性もゼロではない


【2】自費診療(自由診療)

✔ メリット

  • 圧倒的に自然でキレイな見た目(審美性が高い)

  • 変色しにくい・長持ちする

  • 素材の選択肢が豊富

    • オールセラミック

    • ジルコニア

    • e-max

    • ラミネートベニアなど

  • 金属を使わずに治療できる(アレルギーなし)

✔ デメリット

  • 費用が高い(1本 6万〜15万円以上)

  • 保険適用がないため、医院によって価格差が大きい

  • 審美性重視のため、場合によっては削る量が増えることも


🧾 費用の目安(一般的な範囲)

治療法 素材 保険/自費 費用の目安
保険の前装冠 硬質レジン前装冠 保険 数千〜1万円前後
オールセラミック 透明感が最も自然 自費 8〜15万円
ジルコニア 強度が高く白い 自費 6〜12万円
ラミネートベニア 歯を少しだけ削る貼り付け方式 自費 8〜15万円

※医院により異なります。


🪞 どう選ぶべき?

✔ 見た目重視 → 自費

特に前歯は目立つため、自然な仕上がりを求める人はセラミックが人気。

✔ 費用を抑えたい → 保険

仕上がりはほどほどで問題ない場合に。

✔ 折衷案

「とりあえず保険で治して、後で自費に変更する」ことも可能。


必要なら…

あなたの状況に合わせて、

  • 見た目の希望

  • 費用の予算

  • 歯の状態(虫歯・差し歯・欠けなど)
    を聞いて、どの治療が最適かより詳しく提案もできます。

大阪市北区曽根崎新1-4-20桜橋IMビル4F

かわさと歯科・矯正歯科

日本歯周病学会専門医・指導医

日本顎咬合学会指導医

日本歯科審美学会認定医

日本臨床歯科学会(SJCD)認定医

臨床歯周病学会認定医・歯周インプランント認定医

院長 川里 邦夫

 

院長・スタッフ

 

セカンドオピニオン/個別相談のご案内

当院では、患者さんが抱えていらっしゃるお口のお悩みや疑問・不安などにお応えする機会を設けております。どんなことでも構いませんので、私たちにお話ししていただけたらと思います。
ご興味がある方は下記からお問い合わせください。

保険の制度では、セカンドオピニオンとして保険が適応されていませんので、それぞれの医院によって内容が変わってきます。
※知識を聞くことを無料だと思っている方は、他院の保険制度をご利用ください。
※前医院の恨みつらみ、悪口などを申す機会ではございませんのでご理解ください。

MAIL相談 24時間WEB予約

「北新地駅」徒歩1分
「西梅田駅」徒歩2分
「大阪駅」徒歩5分

06-6344-5535

このページの先頭に戻る