高齢になっても健康な歯で痛い40代女性
2025年8月7日
高齢になっても健康な歯で痛い40代女性
R6.1.
大阪市福島区
48歳女性

高齢になっても健康な歯で痛い40代女性

Ceramic Invisalign Healthy Teeth
診療申込書
| ● おそれいりますが、次の事に○でかこんで下さい。記入欄は、詳しくお答え下さい。 |
| 当院は初めてですか はい ・ いいえ
ご紹介者があれば 氏名 夫 様 |
当医院をお知りになったのは
・ 知人の紹介 ・ 家族が来ていた ・ 医院の看板 ・ 駅の看板
・ タウンページ ・ リーフレット ・ ホームページ ・ 雑誌
・ 通りがかり ・ その他 ( 右上奥歯付近の違和感、鈍痛 歯ブラシすると )
| 来院された理由(主訴)
・ 歯の痛み ( 噛んだ時 / 冷痛 / 温痛 / 親知らず ) ・ 詰め物がとれた ・ 歯の色
・ 物がはさまる ・ 歯肉が腫れた ・ 歯肉の出血 フロスすると ・ 歯石 ・ 口臭 ・ 検診
・ インプラント ・ 入れ歯 ・ 歯列矯正 ・ 顎が痛む
・ 他の歯科で治らないので( ヶ月前 )
・ その他 ( ) (○をお付け下さい)
治療について 今回の治療目的は・・・ ・ 応急処置のみ ・ 問題のある所は全て治療
説明・・・ ・ 詳しく説明が聞きたい ・ 希望する場所のみの説明でよい
費用・・・ ・ 保険の範囲で治療したい ・ 必要があれば多少の費用がかかってもよい
時間・期間・・ ・ いつでも良い ・( )曜日が都合良い 午前中・午後 ・ 年 月 日 までに終わってほしい
麻酔・・・ ・ してほしい ・してほしくない
レントゲン写真・ ・ 必要なら撮ってもよい ・ 治療上、必要でも撮られたくない 交通手段について ・ 徒歩 15分 ・ 自転車 分 ・ バイク 分 ・ 車 分 ・ 電車 分 その他、うけたまわっておく事はありますか。
|
~あなたが本当に必要とする歯科治療を~

高齢になっても健康な歯で痛い40代女性

Ceramic Invisalign

Ceramic Healthy Teeth
健康カルテ
あなたの、健康状態を正確に教えて下さい。
✽ 体とお口は親密に関係しており、下記の質問は重要な資料となります。
✽ 健康状態によっては、処置できない治療(抜歯など)もあります。
✽ 歯科で使用する薬品・飲み薬など、他のお薬と併用されますと大変危険な物もあります。
ご家族で何か大きな病気・手術等された方はおられますか ? はい ・ いいえ
( )
ご自身で過去にかかった病気・手術等はありますか ? はい ・ いいえ
( )
現在のお身体の状態はいかがですか?(○をお付け下さい)
健康である ・ 体調が良くない
現在( 内科 / 外科 / その他 ) 治療中
投薬( 無 / 有 服用中のお薬名: )
かかりつけの病院名( ) 連絡先(☎ )
( ) (☎ )
現在、治療中 又は 疑いがある病気はありますか?(○をお付け下さい)
はい ・ いいえ
ウイルス性疾患・・・ 肝炎( A型・B型・C型 ) ・ HIV
心疾患 ・・・ 心筋梗塞 ・ 狭心症
脳疾患 ・・・ 脳梗塞 ・ 脳卒中
アレルギー ・・・ 薬 (飲めない薬: )
食物( )
その他 ・・・ 糖尿病( )・高血圧/上( )~下( )
貧血症・胃腸障害・血友病・紫斑病
血がとまりにくい(歯を抜いたりケガをした時)
ますい注射のアレルギー(じんましんが出る・気分が悪くなる)
~女性の方~ 妊娠中 ヶ月・授乳中( 年 月 日現在)
上記以外で、うけたまわっておく事はありますか?

高齢になっても健康な歯で痛い40代女性
コミュニケーション
Q1.数ある医院の中で当院をお選びになった理由は何ですか?
HP orリーフレットの場合→ どのような医院だと思われましたか?
紹介の場合→ 当院の事をどのようにおっしゃっていましたか?
夫の勧め 完璧で確実な処置をしてくださる
Q2.今まで通院されていた医院での不満や怒り、また決してして欲しくないことは?
Q3.今、お口の中について、どのようなことでお悩みですか?
⇒(痛みが主訴の場合)「痛み」以外で困っている、悩んでいる、気になっている
ことはありますか?
健康な口内環境を整えたい
昔に治療した銀歯を全て改善したい
歯並びを整えたい (見た目も含む)
⇒では、あなたにとって、理想のお口の状態とはどのようなものですか?
高齢になっても自分の歯を保てる状態
Q4.お口を理想の状態に近づける第一歩として、何を望まれますか?(優先順に)
- 1. 虫歯や歯肉の治療
- 2.
Q5.あなたが当院に望まれることはなんでしょうか?(痛み以外で)
説明、ケアのアドバイス

高齢になっても健康な歯で痛い40代女性

Ceramic Teeth

Healthy Teeth

Healthy Teeth
-
治療名
-
セラミックインレー・アンレー・クラウン・インビザライン
-
- 費用
- 1.750.650円(税込み)
内: セラミックインレー1本/80,000円、 セラミックアンレー80,000円、 - オールセラミッククラウン1本120.000円 インビザライン 200.000円
- 治療期間
- 1年半
- 通院頻度
- 1ヵ月 2~3回
- そのほか患者様情報
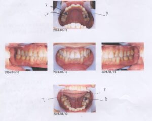
- 48歳・女性
初診日 2023.1. ( 1年経過症例 )
治療内容
-
患者様の症状
- 他の歯科医院にて虫歯治療を繰り返し受け、矯正治療も行ったが、見た目が良くない・噛めないとのことで再治療を希望された。他の医院に行こうとしたところご主人に当医院を勧められ来院した。アングルクラスⅠであった。
- 一生綺麗な歯を保ちたいとの要望。
-
治療法
- アングルクラスⅠで上下臼歯部に不適合な修復・補綴が見られ、上下前歯部に叢生があった。
- クリーニングの後、インビザラインによる矯正治療を行い、
- 上下顎前歯・臼歯部にセラミックインレー・アンレー・クラウンを装着した。
-
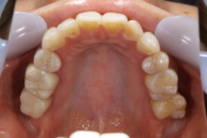
治療結果
- 審美的な仕上がりで、患者自身も満足した。1年経過し良好である。
現在は2〜3ヶ月おきのメインテナンス中である。
※治療結果は患者様によって個人差があります。
治療を行う上での 注意点 (リスク・副作用)
セラミックインレー・アンレー・クラウンには欠け易いといったリスクがあるためナイトガードは必須である。
全体に歯肉炎があるため清掃が重要である。

Invisalign

Invisalign upper

Invisalign lower
大阪市北区曽根崎新1-4-20桜橋IMビル4F
かわさと歯科・矯正歯科
日本歯周病学会専門医・指導医
院長 川里 邦夫
ご来院ありがとうございます。
Q. かわさと歯科を選ばれた理由をお聞かせ下さい。 (複数可)
(場所、診療時間、医院の雰囲気、価格、キャンペーンがある、その他 通りがかり )
Q. かかりつけ歯科医院はございますか?
( はい いいえ )
Q. なぜセラミックをされようと思いましたか?
( 高齢になっても綺麗な歯でいたいから )
Q. セラミックの価格についてどう思いましたか?
( 高い 普通 安い )
- セラミック後、ナイトガードが必要である事はご存知ですか?
(はい いいえ)
- むし歯や歯周病があるとホワイトニングを行えない事はご存知ですか?
( はい いいえ )
- むし歯や歯周病があれば当院での治療を希望されますか?
( はい いいえ )
セラミックは自然な歯の色や光沢を再現できるため、前歯のクラウンやラミネートベニア、差し歯などに使われます。
透明感があり、金属を使わないため、金属アレルギーの心配も少なく、見た目も美しいのが特徴です。
また、耐久性も向上していますので、適切なケアをすれば長持ちします。
ただし、強い力がかかると割れることもあるので、歯ぎしりやくいしばりがある方は注意が必要です。
もし、セラミック治療に興味があれば、どんな種類があるかや費用についても詳しくお伝えできます。
インビザラインについて
インビザラインは、透明なマウスピース型の矯正装置で、歯並びを整えるためのとても人気のある方法です。
この矯正方法の魅力は、何と言っても目立ちにくいこと、透明で取り外しもできるため、食事や歯磨きのときに簡単に外せるのも便利です。
従来のワイヤー矯正に比べて、見た目の気になりにくさや快適さが大きなポイントです。
治療期間や具体的な効果は個人差がありますが、歯の動きに合わせて数週間ごとに新しいマウスピースに交換しながら進めていきます。
定期的な歯科医師のチェックも必要です。
もし、インビザラインの適応範囲や費用、治療の流れについて詳しく知りたい場合は教えてください。
大阪市北区曽根崎新1-4-20桜橋IMビル4F
かわさと歯科・矯正歯科
日本歯周病学会専門医・指導医
日本顎咬合学会指導医
日本歯科審美学会認定医
日本臨床歯科学会(SJCD)認定医
臨床歯周病学会認定医・歯周インプランント認定医
院長 川里 邦夫
