審美的咬合再構成
2024年9月5日
歯周補綴ケースにおける審美的咬合再構成症例
Serendipity かわさと歯科
川里 邦夫KAWASATO KUNIO
日本歯科審美学会利益相反開示
演頭発表に関速し、開示すべき利益相反関係にある企業などはありません。
重度歯周炎において、動揺歯の補強のために、歯周補綴の手法が用いられることがある。
今回、クロスアーチスプリントを回避し、審美的で経過良好な症例を経験したので報告する。
I 概要
患者:64歳.女性初診日:2003年12月
職業:主婦
主訴:右下ブリッジの脱離、歯が磨きにくい歯科既往歴:十数年来
歯科治療を受けていない
全身既往歴:なし
特記事項:なし
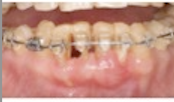
現症:全顎的に水平性/垂直性骨吸収.
特に、上顎左側に多くの垂直
性骨損.37歯に根分岐部病変.下顎4前歯は骨欠損が著明で保存不可
能.4mm以上PPD30%,Bop(+)33%.
多数菌における動揺.病的な歯
牙移動
顎位の偏位を疑う、右側犬歯関係1級、左側犬歯関係II級の
咬合関係.
診断名:広汎型重度慢性歯周炎

初診時(2003年12月)
II 治療方針
①プラークコントロール ②基本治療 ③歯周外科 ④矯正 ⑤保存不可能な歯の抜歯
⑥プロビジョナル ⑦再生療法 ⑧インプラント ⑨補綴 ⑩SPT
Ⅲ 治療経過
歯周基本治療の後に、矯正治療を開始し、挺出後下顎4前歯を抜歯21,22, 23.24.25歯に歯周組織再生療法EMDを行い、
治癒後、矯正治療、矯正後、垂直性骨欠損部15,23.24,25.37,45歯に再生療法。
22歯、抜菌. 27.36,16.46部にインプラントを埋入。
最終補綴処置後、SPT に移行.

L3 45 乘直性骨欠損

21歯とFH平面の角度118°
平均値より約3mm前方

セットアップモデル

下顎4前歯の矯正的坻出

前歯・側方歯の遠心移動

ブラケットは骨頂から

矯正による抜歯

矯正後の再生療法

上顎前歯の連結の判断
垂直性骨欠損に再生療法、水平性骨欠損に矯正的挺出・歯周外科にて治療した.
予知性を高めるため、全額矯正し、合再構成を行った。
また、構造力学的な問題.動揺歯のコントロールのために臼歯部にインプラントを単独使用した。

治療経過
治療成績
矯正治療と再生療法により骨欠損/歯周組織は改善され、インプラントによって動揺歯の負担は軽減された。
また、矯正によって歯軸傾斜が修正され、残存歯の合負担も減少した.
そのため、クロスアーチスプリントを回避でき、単冠/最小本数のブリッジでの補綴設計となった.
その結果、機能回復/審美性改善/残存組織の保全が得られ、治療再介入時も部分的な対応で可能となった.
4mm以上のPPDはなく,Bop(+)もなく、動揺も生理的範囲内で、何の問題も無く12年間経過している。

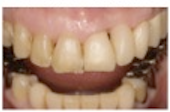
最終補綴物装着時(2007年9月)
IV 考察および結論
矯正治療と再生療法によって、骨欠損を改善し、インプラントによって動揺歯のコントロールを行うことで、
広汎型重度慢性歯周炎の歯周組織の改善と予知性が高められた。
もし、矯正治療を応用していなければ、抜歯の本数が増えたであろう.
また、硬組織軟組織増大のための外科処置も増えていたかもしれない。
そして,インプラントがなければ、矯正と歯周外科後の動揺歯のコントロールは、対応が困難であったと想像される。
重度慢性歯周炎の治療において、矯正とインプラントは有効な審美的治療法であることが示された。

最終補綴物装着12年経過時(2019年1月)

最終補綴物装着12年経過時(2019年1月)
大阪市北区曽根崎新1-4-20桜橋IMビル4F
かわさと歯科・矯正歯科
日本歯周病学会専門医・指導医
院長 川里 邦夫
- 治療名
- 歯周補綴
- 費用
- 4700,000円(税込み)
内:オールセラミック1本/120,000円、インプラント1本/350,000円 矯正治療/750,000円 - 歯周組織再生療法1ブロック/170,000円
- 治療期間
- 3年
- 通院頻度
- 1ヵ月 2~3回
- そのほか患者様情報
- 56歳・女性
初診日 2002. 7.17.(6年経過症例)
治療内容
-
患者様の症状
- 10年前から他の歯科医院にて部分的な入れ歯治療を受けたが、どんどん入れ歯が大きくなって、見た目が良くない・噛めないとのことで再治療を希望された。アングルクラスⅠであった。
-
治療法
- 全顎矯正の後、歯周組織再生療法を行い、上下顎にインプラントを4本し、
- オールセラミックにて既存の被せのやり直しを行なった。
-
治療結果
- 審美的な仕上がりで、患者自身も満足した。6年経過し良好である。
現在は2〜3ヶ月おきのメインテナンス中である。
※治療結果は患者様によって個人差があります。
治療を行う上での 注意点 (リスク・副作用)
オールセラミックには欠け易いといったリスクがあるためナイトガードは必須である。
インプラントの周囲は特に清掃が重要である。
そのほか
ナイトガードは必須である。
