インプラントよりもメリットあり!?
「構造設計」義歯
これ以上、「精密な入れ歯」は
存在しません!
- 「痛くない」「噛める」
「外れにくい」入れ歯 - お口のリハビリ「診断用義歯」使用
- 強度まで計算された
「構造設計」の入れ歯
〒530-0002 大阪府大阪市北区曾根崎新地1丁目4−20 桜橋IMビル 4F
06-6344-5535

インプラントよりもメリットあり!?
「構造設計」義歯

















「痛い」「噛めない」「外れてしまう」。
入れ歯でお悩みの方のほとんどは、この3つで悩まれています。
何故でしょうか?
これは、入れ歯の「作り方」に問題があるからです。
あなたが今お使いの入れ歯はどのようにして作られた入れ歯ですか?
「型取りを一回やった」だけで作られた入れ歯ではないでしょうか?
そうした「入れ歯製作」を行っている歯科医院がほとんどですが、それだとどうしても「問題」が起きてしまいます。
当院の入れ歯製作は、他の歯科医院が行っているものとは全く異なります。だから、インプラントよりも噛み心地が良いほどの「入れ歯」が完成するのです。詳しくご説明していきます。
他院と異なるポイントは、2つです。
「通常の歯科医院」と「入れ歯づくりに力を入れている歯科医院」、そして、「当院」では以下のように入れ歯の作り方が異なります。
「噛めない」「痛い」「外れる」等の問題が起きやすい
「噛めない」「痛い」「外れる」等の問題が起きにくい
インプラントを凌ぐほどの
快適な噛み心地の「入れ歯」が完成!
「製作工数」について、どれほどの違いがあるかをグラフ化してみました。当院の入れ歯づくりは、どれくらいこだわって作られているかが一目瞭然だと思います。

次章からは、当院のこだわりである「診断用義歯」と「構造設計」について、詳しくご説明していきます。

「診断用義歯」とは、入れ歯の完成形を作る前に「噛み合わせのズレ」を改善するためのものです。
合わない入れ歯を使い続けたり、歯が抜けたままにしたりしていると、「噛み方」が変わってきます。つまり、本来の適切な噛み合わせから「ズレ」が生じてきます。

この「ズレ」を正すのが「診断用義歯」となります。診断用義歯を一定期間装着していただくことで、会話中や食事中のお口の動きが記録されます。それを本番用の入れ歯に反映させることにより、「ズレ」のない患者さんに「合った」入れ歯が完成します。
通常の入れ歯は、この「ズレ」を無視して型取りをし、入れ歯を制作します。そのため、噛めない、外れる、痛い入れ歯が出来上がるのです。

先ほどご説明した「診断用義歯」を使用している医院は全国でもごくわずかです。
またこれから説明する「構造設計」までも行っている医院は全国でも一握りです。
この2つを行うことで、不都合なく、本当に噛める入れ歯が出来上がります。
では、入れ歯における「構造設計」とは何かをご説明します。

「構造設計」という言葉自体は聞いたことがある方もいると思いますが、建築用語で、建物を建てる際に材料や使用位置などから強度を考え、建物が倒壊しないための設計のことです。
柱や梁はどの太さ・長さのものを何本、どう使うか。壁はどの面に設置すれば倒れない建物ができるか。それぞれ強度を計算し数値化します。
「構造設計の入れ歯」とは、建物と同じで、どの材料をどの強度で形にすれば、“倒れない”入れ歯となるかを計算して設計された入れ歯。
つまり、噛む力が加わった時に力が一部に集中するのを防ぎ、「ひずみ」等が生じない入れ歯のことです。
入れ歯も、建物と同じように様々な素材からできています。それらをどう配置するか「基本設計」を行い、その細部の形状や厚み、素材などを数値化するのが「構造設計」となります。
例えば、雪国で雪に強い家づくり、南国での暑さ対策を施した家づくりでは「選ぶ材料」や「設計」が変わってくるように、歯も患者さんの歯並びや顎の骨の状態をもとに「材料」を選び、どう「配置」するかを決めて作るのが「構造設計の入れ歯」です。










「構造設計」を行って製作した「入れ歯」は、強度があり壊れにくいことがメリットとなります。その他、以下のメリットもあります。
また、残存歯にかかる力や取り外しの際にかかる力までも計算しているため、健康な歯への負担も少なく済みます。
これまで説明してきたように当院の入れ歯治療はこだわるポイントが満載です。普通の歯科技工士では対応できません。
そのため当院の入れ歯製作は、世界的に有名な奥森健史が製作を担当しております。
「構造設計の入れ歯」の場合、すべて奥村が立ち合いのもと、診療しています。初診から治療計画まで歯科医師と一緒に行い、必要に応じて診療室に出向します。




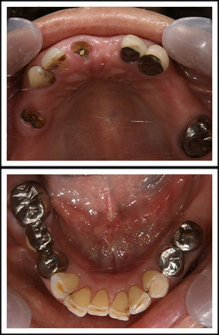
歯を失った際、入れ歯よりもインプラントの方が良いと思われる方が多いでしょう。しかし、どちらが最適かは「お口の状態」によって異なります。
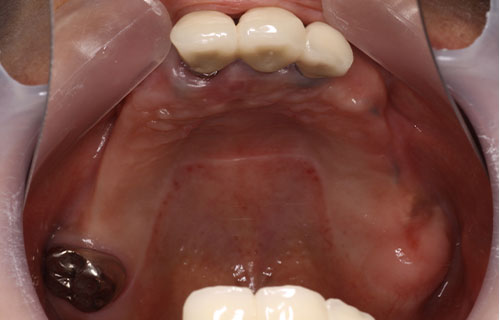
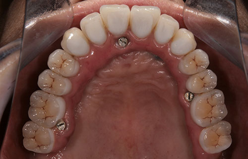
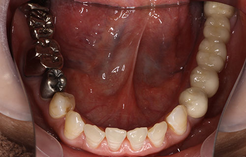
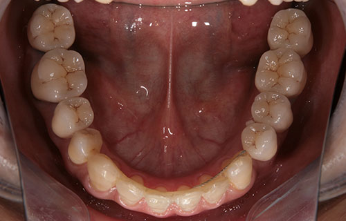
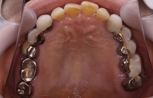
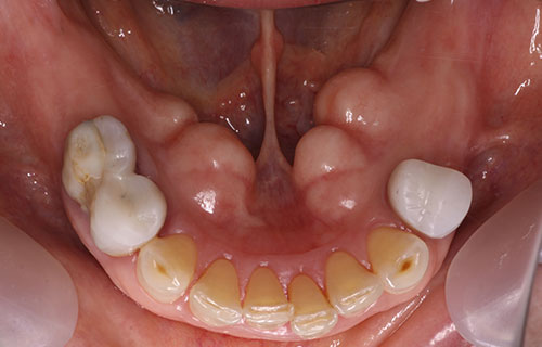
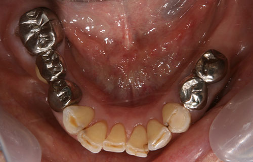
下記の症例写真をご覧ください。


これはインプラント治療よりも、「入れ歯」が有効だと判断した症例です。
74歳という年齢とともに、右上の奥歯がこれからどれくらい使えるか分からない上、インプラントをする場合は患者さんの負担が増す「骨造成」が必要だったためです。
つまり、どんなケースでもインプラントが良いわけではありません。
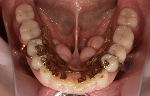
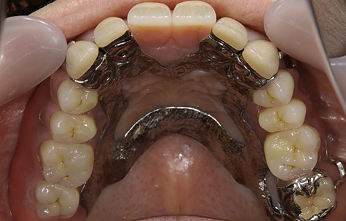
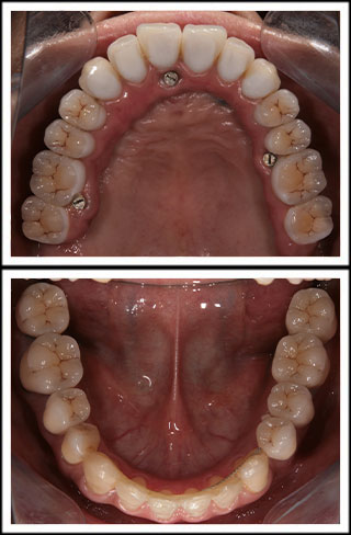
当院では、患者さんの「こうしたい」というご要望に合わせて様々な入れ歯をご用意しております。それぞれ詳しくご紹介いたします。

お口の中に磁石を埋め込み、入れ歯に装着した磁石でくっつけるタイプの入れ歯です。構造上、金属のバネで固定する必要がないため、目立ちにくく、異物感も少ないです。

お口の中に、インプラント治療の土台となる素材を2~4本程度埋め込み、入れ歯と歯茎を固定します。入れ歯自体は、患者さんご自身の手で取り外すことができるため、メンテナンスも非常に簡単です。
また、外科手術も比較的簡単なもので済むため、身体的負担も抑えられます。

コーヌスクローネ義歯は、茶筒の原理を利用した入れ歯と言われることがあります。茶筒は本体と蓋(ふた)の間に生じる摩擦力によって、強く振っても蓋が外れることはありません。
この原理を利用し、顎に入れ歯と同じくらいのサイズの金属土台を置き、そこに入れ歯を被せるのがコーヌスクローネ義歯です。

歯を無くした際の選択肢としては「入れ歯」「ブリッジ」「インプラント」があります。
患者さんによっては、高額だけれどもインプラントが最も良いというイメージをお持ちの方もいます。
実際は、どの治療法が最適かは、患者さんのお口の状態、ご年齢、職業などによって変わります。
例えば、インプラント治療は「メンテナンス」が欠かせませんので、毎日の丁寧なブラッシングと定期的な歯科医院でのメンテナンスが必要となりますが、それがしっかりできない状態の方にはお勧めできません。
お口のケアを怠ると、インプラント周囲炎という歯周病のような状態になってしまい、最終的にはインプラントが抜け落ちてしまうからです。
なので大切なことは、患者さんの状態を総合的に判断し、適切な治療法を提案してくれる歯科医師との出会いです。
当院では総合歯科医院ですので、様々な治療法をご提案できます。また、相談も随時受け付けておりますので、気軽にお問い合わせいただけたらと思います。
当院では、患者さんが抱えていらっしゃるお口のお悩みや疑問・不安などにお応えする機会を設けております。どんなことでも構いませんので、私たちにお話ししていただけたらと思います。
ご興味がある方は下記からお問い合わせください。
保険の制度では、セカンドオピニオンとして保険が適応されていませんので、それぞれの医院によって内容が変わってきます。
※知識を聞くことを無料だと思っている方は、他院の保険制度をご利用ください。
※前医院の恨みつらみ、悪口などを申す機会ではございませんのでご理解ください。
