左上のインプラント希望50歳女性
2025年9月28日
左上のインプラント希望50歳女性
H14.2.
滋賀県大津市
50歳女性

左上のインプラント希望50歳女性

左上のインプラント希望50歳女性
診療申込書
| ふりがな 性別 生 年 月 日 血 液 型
名前 大正 ・ 昭和・ 平成 A |
|
| 女 年 月 日生( 50才)
ふりがな NO. 住所 〠 ― 自宅電話 ( ) ― 携帯電話 ― ― E-mail 勤務先 電話 ( ) ― ● おそれいりますが、次の事に○でかこんで下さい。記入欄は、詳しくお答え下さい。 当院は初めてですか はい ・ いいえ ご紹介者があれば 氏名 娘 様 当医院をお知りになったのは ・ 知人の紹介 ・ 家族が来ていた ・ 医院の看板 ・ 駅の看板 ・ タウンページ ・ リーフレット ・ ホームページ ・ 雑誌 ・ 通りがかり ・ その他 ( ) 来院された理由(主訴) ・ 歯の痛み ( 噛んだ時 / 冷痛 / 温痛 / 親知らず ) ・ 詰め物がとれた ・ 歯の色 ・ 物がはさまる ・ 歯肉が腫れた ・ 歯肉の出血 ・ 歯石 ・ 口臭 ・ 検診 ・ インプラント ・ 入れ歯 ・ 歯列矯正 ・ 顎が痛む ・ 他の歯科で治らないので( ヶ月前 ) ・ その他 ( ) (○をお付け下さい) 治療について 今回の治療目的は・・・ ・ 応急処置のみ ・ 問題のある所は全て治療
説明・・・ ・ 詳しく説明が聞きたい ・ 希望する場所のみの説明でよい
費用・・・ ・ 保険の範囲で治療したい ・ 必要があれば多少の費用がかかってもよい 時間・期間・・ ・ いつでも良い ・( )曜日が都合良い 午前中・午後 ・ 年 月 日 までに終わってほしい
麻酔・・・ ・ してほしい ・してほしくない レントゲン写真・ ・ 必要なら撮ってもよい ・ 治療上、必要でも撮られたくない 交通手段について ・ 徒歩 分 ・ 自転車 分 ・ バイク 分 ・ 車 分 ・ 電車 90分 その他、うけたまわっておく事はありますか。 ~あなたが本当に必要とする歯科治療を~ |
|

左上のインプラント希望50歳女性
健康カルテ
あなたの、健康状態を正確に教えて下さい。
✽ 体とお口は親密に関係しており、下記の質問は重要な資料となります。
✽ 健康状態によっては、処置できない治療(抜歯など)もあります。
✽ 歯科で使用する薬品・飲み薬など、他のお薬と併用されますと大変危険な物もあります。
ご家族で何か大きな病気・手術等された方はおられますか ? はい ・ いいえ
( )
ご自身で過去にかかった病気・手術等はありますか ? はい ・ いいえ
( )
現在のお身体の状態はいかがですか?(○をお付け下さい)
健康である ・ 体調が良くない
現在( 内科 / 外科 / その他 ) 治療中
投薬( 無 / 有 服用中のお薬名: )
かかりつけの病院名( ) 連絡先(☎ )
( ) (☎ )
現在、治療中 又は 疑いがある病気はありますか?(○をお付け下さい)
はい ・ いいえ
ウイルス性疾患・・・ 肝炎( A型・B型・C型 ) ・ HIV
心疾患 ・・・ 心筋梗塞 ・ 狭心症
脳疾患 ・・・ 脳梗塞 ・ 脳卒中
アレルギー ・・・ 薬 (飲めない薬: )
食物( )
その他 ・・・ 糖尿病( )・高血圧/上( )~下( )
貧血症・胃腸障害・血友病・紫斑病
血がとまりにくい(歯を抜いたりケガをした時)
ますい注射のアレルギー(じんましんが出る・気分が悪くなる)
~女性の方~ 妊娠中 ヶ月・授乳中( 年 月 日現在)
上記以外で、うけたまわっておく事はありますか?

左上のインプラント希望50歳女性
コミュニケーション
Q1.数ある医院の中で当院をお選びになった理由は何ですか?
HP orリーフレットの場合→ どのような医院だと思われましたか?
紹介の場合→ 当院の事をどのようにおっしゃっていましたか?
とても信頼できる先生
Q2.今まで通院されていた医院での不満や怒り、また決してして欲しくないことは?
説明がない
Q3.今、お口の中について、どのようなことでお悩みですか?
⇒(痛みが主訴の場合)「痛み」以外で困っている、悩んでいる、気になっている
ことはありますか?
噛めない
⇒では、あなたにとって、理想のお口の状態とはどのようなものですか?
入れ歯ではなくインプラント希望
Q4.お口を理想の状態に近づける第一歩として、何を望まれますか?(優先順に)
- よく噛める 2. 見た目がいい
Q5.あなたが当院に望まれることはなんでしょうか?(痛み以外で)
しっかり噛めて見た目もいい仕上がり

左上のインプラント希望50歳女性

左上のインプラント希望50歳女性

左上のインプラント希望50歳女性
- 治療名
- インプラント
- 費用
- 2.100.000円(税込み)
内:オールセラミック1本/120,000円、インプラント1本/350,000円 - 治療期間
- 1年
- 通院頻度
- 1ヵ月 2~3回
- そのほか患者様情報
- 50歳・女性
初診日 2002. 2. 12( 23年経過症例 )

左上のインプラント希望50歳女性

左上のインプラント希望50歳女性

左上のインプラント希望50歳女性
治療内容
-
患者様の症状
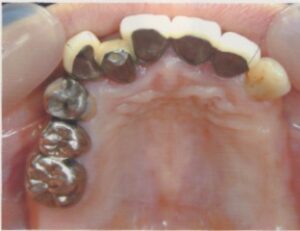
- 10年前から他の歯科医院にて部分的な治療を受けたが、見た目が良くない・噛めないとのことで再治療を希望された。アングルクラスⅠであった。左上奥歯がない。
-
治療法
- 上顎左側にインプラントを3本し、
- オールセラミック4本にて被せ物を行なった。
-
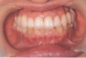
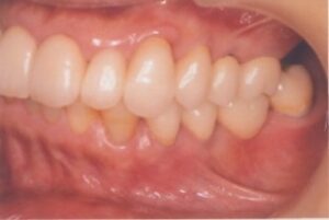
治療結果
- 審美的な仕上がりで、患者自身も満足した。23年経過し良好である。
現在は2〜3ヶ月おきのメインテナンス中である。
※治療結果は患者様によって個人差があります。
治療を行う上での 注意点 (リスク・副作用)
オールセラミックには欠け易いといったリスクがあるためナイトガードは必須である。
インプラントの周囲は特に清掃が重要である。
そのほか
ナイトガードは必須である。
大阪市北区曽根崎新1-4-20桜橋IMビル4F
かわさと歯科・矯正歯科
日本歯周病学会専門医・指導医
院長 川里 邦夫
インプラントと入れ歯について
どちらも失った歯を補うための方法ですが、それぞれ特徴やメリット・デメリットがあります。
詳しくご説明します。
【インプラント】
- 人工の歯根を顎の骨に埋め込み、その上に人工歯を取り付ける方法です。
- 自然な見た目と噛み心地を再現しやすいです。
- 骨と結合するため、安定性が高いです。
- 手術が必要で、治療期間や費用が比較的高めです。
【入れ歯】
- 取り外し可能な義歯で、失った歯の部分に装着します。
- 比較的治療期間が短く、費用も抑えられる場合があります。
- 慣れるまでに時間がかかることや、安定性に課題がある場合もあります。
ご自身の口腔状態やライフスタイル、予算などに応じて最適な選択肢が変わります。
もし詳しい診断やアドバイスをご希望でしたら、歯科医院での相談をおすすめします。
何か他に知りたいことや、具体的な状況について教えていただければ、より詳しくお答えします!
