上の前歯が自然に抜けた40歳男性

「北新地駅」
徒歩1分
「西梅田駅」
徒歩2分
「大阪駅」
徒歩5分

〒530-0002 大阪府大阪市北区曾根崎新地1丁目4−20 桜橋IMビル 4F

06-6344-5535

キービジュアル

上の前歯が自然に抜けた40歳男性

2025年4月20日

上の前歯が自然に抜けた 40歳男性

 

H28.12.

大阪市福島区

40歳男性

 

上の前歯が自然に抜けた 40歳男性

上の前歯が自然に抜けた 40歳男性

 

occlusal reconstruction

occlusal reconstruction

 

Periodontal disease, ceramic, occlusal reconstructio

Periodontal disease, ceramic, occlusal reconstructio

 

Periodontal disease, ceramic, occlusal reconstructi

Periodontal disease, ceramic, occlusal reconstructi

 

 

診療申込書

 

   男    年   月   日生(  40才)     O  ・ AB

ふりがな                                     NO.

住所  〠     ―

 

自宅電話 (   )   ―       携帯電話    ―    ―    E-mail

勤務先                               電話 (    )    ―

● おそれいりますが、次の事に○でかこんで下さい。記入欄は、詳しくお答え下さい。

 

当院は初めてですか   はい ・ いいえ

ご紹介者があれば    氏名             様

当医院をお知りになったのは

・ 知人の紹介    ・ 家族が来ていた   ・ 医院の看板    ・ 駅の看板

・ タウンページ   ・ リーフレット    ・ ホームページ   ・ 雑誌

・ 通りがかり    ・ その他 (      大阪 歯周病 歯医者      )

  来院された理由(主訴)                       

・ 歯の痛み ( 噛んだ時 / 冷痛 / 温痛 / 親知らず )    ・ 詰め物がとれた   ・ 歯の色

 

・ 物がはさまる   ・ 歯肉が腫れた  ・ 歯肉の出血  ・ 歯石  ・ 口臭    ・ 検診

 

 

右上 上前 左上

右下 下前 左下

・ インプラント   ・ 入れ歯        ・ 歯列矯正    ・ 顎が痛む

 

・ 他の歯科で治らないので(      ヶ月前 )

 

・ その他 ( 歯周病 上の前歯が昨日抜けた 2ヶ月前からグラグラしていた 歯を入れてほしい )

 

(○をお付け下さい)

 

治療について

今回の治療目的は・・・    ・ 応急処置のみ  ・ 問題のある所は全て治療

 

説明・・・  ・ 詳しく説明が聞きたい  ・ 希望する場所のみの説明でよい

 

費用・・・  ・ 保険の範囲で治療したい ・ 必要があれば多少の費用がかかってもよい

 

時間・期間・・  ・ いつでも良い     ・(    )曜日が都合良い 午前中・午後

・    年   月   日 までに終わってほしい

 

麻酔・・・      ・ してほしい     ・してほしくない

 

レントゲン写真・    ・ 必要なら撮ってもよい  ・ 治療上、必要でも撮られたくない

交通手段について

・ 徒歩   分      ・ 自転車   10分      ・ バイク   分      ・ 車   分      ・ 電車   分

その他、うけたまわっておく事はありますか。

他の歯の歯周病治療もしてほしい

最後の受診は10年前

 

~あなたが本当に必要とする歯科治療を~

 

上の前歯が自然に抜けた40歳男性

上の前歯が自然に抜けた40歳男性

 

健康カルテ

 

あなたの、健康状態を正確に教えて下さい。

✽ 体とお口は親密に関係しており、下記の質問は重要な資料となります。

✽ 健康状態によっては、処置できない治療(抜歯など)もあります。

✽ 歯科で使用する薬品・飲み薬など、他のお薬と併用されますと大変危険な物もあります。

 

ご家族で何か大きな病気・手術等された方はおられますか ?  はい ・ いいえ

(                                                        )

ご自身で過去にかかった病気・手術等はありますか ?  はい ・ いいえ

(                                                               )

現在のお身体の状態はいかがですか?(○をお付け下さい)

健康である  ・  体調が良くない

現在( 内科 / 外科 / その他 ) 治療中

投薬( 無 / 有  服用中のお薬名:                     )

かかりつけの病院名(             ) 連絡先(☎             )

(          )      (☎           )

現在、治療中 又は 疑いがある病気はありますか?(○をお付け下さい)

はい   ・   いいえ

ウイルス性疾患・・・ 肝炎( A型・B型・C型 ) ・ HIV

心疾患    ・・・ 心筋梗塞 ・ 狭心症

脳疾患    ・・・ 脳梗塞 ・ 脳卒中

アレルギー  ・・・ 薬  (飲めない薬:                                     )

食物(                                         )

その他    ・・・ 糖尿病(      )・高血圧/上(    )~下(    )

貧血症・胃腸障害・血友病・紫斑病

血がとまりにくい(歯を抜いたりケガをした時)

ますい注射のアレルギー(じんましんが出る・気分が悪くなる)

~女性の方~ 妊娠中   ヶ月・授乳中(   年   月   日現在)

 

上記以外で、うけたまわっておく事はありますか?

 

 

上の前歯が自然に抜けた40歳男性

上の前歯が自然に抜けた40歳男性

 

上の前歯が自然に抜けた40歳男性

上の前歯が自然に抜けた40歳男性

 

eramic, occlusal reconstruction

eramic, occlusal reconstruction

 

Periodontal disease

Periodontal disease

 

occlusal reconstruction

occlusal reconstruction

 

 

コミュニケーション

 

Q1.数ある医院の中で当院をお選びになった理由は何ですか?

HP orリーフレットの場合→ どのような医院だと思われましたか?

紹介の場合→ 当院の事をどのようにおっしゃっていましたか?

 

 

 

Q2.今まで通院されていた医院での不満や怒り、また決してして欲しくないことは?

 

歯を極力残してほしい

 

Q3.今、お口の中について、どのようなことでお悩みですか?

⇒(痛みが主訴の場合)「痛み」以外で困っている、悩んでいる、気になっている

ことはありますか?

 

 

 

⇒では、あなたにとって、理想のお口の状態とはどのようなものですか?

 

 

 

Q4.お口を理想の状態に近づける第一歩として、何を望まれますか?(優先順に)

  • 1. 継続的な治療
  • 2.

 

 

Q5.あなたが当院に望まれることはなんでしょうか?(痛み以外で)

 

時間がかかってもいいので歯周病の治療

 

上の前歯が自然に抜けた40歳男性

上の前歯が自然に抜けた40歳男性

 

 

上の前歯が自然に抜けた40歳男性

上の前歯が自然に抜けた40歳男性

 

Periodontal disease, ceramic, occlusal reconstruction

Periodontal disease, ceramic, occlusal reconstruction

 

Periodontal disease, ceramic,

Periodontal disease, ceramic,

 

Periodontal disease, occlusal reconstruction

Periodontal disease, occlusal reconstruction

 

 

大阪市北区曽根崎新1-4-20桜橋IMビル4F

かわさと歯科・矯正歯科

日本歯周病学会専門医・指導医

院長 川里 邦夫

 

治療名
セラミック治療 
費用
4,968,000円(税込み)
内:オールセラミック1本/120,000円、
治療期間
2年
通院頻度
1ヵ月 2~3回
そのほか患者様情報
40歳・男性
初診日 2016. 12.  (5年経過症例)

 

治療内容

患者様の症状
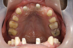
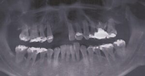
1年前から他の歯科医院にて部分的な治療を受けたが、どんどん歯が悪くなって、見た目が良くない・噛めないとのことで再治療を希望された。昨日、上の前歯が自然に取れた、他の医院に行こうとしたところ知人に当医院を勧められ来院した。アングルクラスⅡであった。
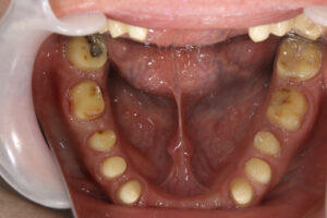
治療法
全顎的に歯周病が進行し、ほとんどの歯に動揺が見られた。アングルクラスⅢで下顎前歯部に叢生が見られ、全顎の再生療法の後に、全顎的にオールセラミッククラウンを装着し、既存の被せのやり直しを行なった。
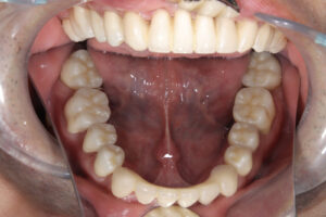
治療結果
審美的な仕上がりで、患者自身も満足した。5年経過し良好である。
現在は2〜3ヶ月おきのメインテナンス中である。

※治療結果は患者様によって個人差があります。

 

治療を行う上での 注意点 (リスク・副作用)

オールセラミックには欠け易いといったリスクがあるためナイトガードは必須である。

特に清掃が重要である。

 

そのほか

ナイトガードは必須である。

 

ご来院ありがとうございます。

 

Q. かわさと歯科を選ばれた理由をお聞かせ下さい。   (複数可)

(場所、診療時間、医院の雰囲気、価格、キャンペーンがある、その他       )

 

Q. かかりつけ歯科医院はございますか?

(はい     いいえ 

 

Q. なぜ歯周病治療をされようと思いましたか?

(  歯がなくなりそうだから  )

 

Q. 歯周病治療の価格についてどう思いましたか?

( 高い    普通    安い )

 

  1. 治療後のメインテナンスが必要である事はご存知ですか?

( はい     いいえ 

 

  1. 歯周病があると全身に影響がある事はご存知ですか?

( はい     いいえ )

 

  1. 歯周病があれば当院での治療を希望されますか?

( はい     いいえ )

 

 

審美セラミック治療

歯周病

 

 

 

 

セカンドオピニオン/個別相談のご案内

当院では、患者さんが抱えていらっしゃるお口のお悩みや疑問・不安などにお応えする機会を設けております。どんなことでも構いませんので、私たちにお話ししていただけたらと思います。
ご興味がある方は下記からお問い合わせください。

保険の制度では、セカンドオピニオンとして保険が適応されていませんので、それぞれの医院によって内容が変わってきます。
※知識を聞くことを無料だと思っている方は、他院の保険制度をご利用ください。
※前医院の恨みつらみ、悪口などを申す機会ではございませんのでご理解ください。

MAIL相談 24時間WEB予約

「北新地駅」徒歩1分
「西梅田駅」徒歩2分
「大阪駅」徒歩5分

06-6344-5535

このページの先頭に戻る